Добро пожаловать в Форум для пациентов
Взрослая ортопедия Детская ортопедия Последствия травмы Травма

Федеральное государственное учреждение "Уральский научно-исследовательский институт травматологии и ортопедии им. В.Д.Чаклина Росмедтехнологий"

дисплазия тбс
 вверх
 отправить
 поиск
 админ
 главная


дисплазия тбс
Детская ортопедия Отправлено Ольга 20 Август 2010, 12:05
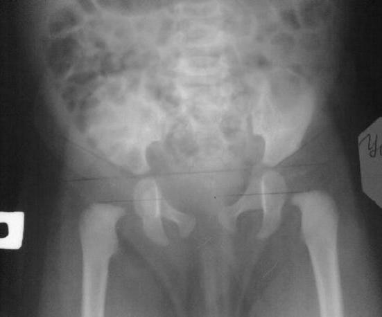
Нам 2 мес 5.09.10 будет 3.девочкаПоставили дисплазию тбс. Специалистов в городе нет и очень бы хотелось услышать ваше мнение.
По рентгену:ядер окостенения головок бедренных костей не определяется.Ацетобулярные углы симметричные 34 градуса, Величина h 11мм.Заключение: признаки дисплазии ТБС.

<  |  >

 

  • Сообщения о Детская ортопедия
  • Также Ольга
  • Связаться с автором
  • Ответить/комментировать

    Re: дисплазия тбс
    Филипчук Виктор 20 Август 2010, 12:11
    В 2 мес. рентген это, как минимум "самобытно"
    filipvvDOGgmail.com оцифрованный рентген. С ув. Филипчук
    [ Ответить/комментировать ]
    Re: дисплазия тбс
    DOK-AV-ORT 20 Август 2010, 12:12
    только хотел сказать какой,рентген в 2 то месяца. Ну что сделано то сделано.Ребенку необходима пудушка Фрейка или стремена Павлика,кроме того ЛФК ,массаж мышц бедер ,ягодиц .УЗИ контроль ежемесячно ,ренгенография чз 3 месяца от начала лечения.
    [ Ответить/комментировать ]

    ( Ответить/комментировать )

    Powered by Zope  Squishdot Powered MedLink
    Посетитель: 00360
      "По форме правильно, а по существу - издевательство" В.И.Ленин
    ©2001-200124Patients Coordinator.
    [ Главная | Отправить сообщение | Поиск | Админ ]