вверх
отправить
поиск
админ
главная
|
остеосинтез бедра.не сращение. |
 |
 |
 |
Отправлено дмитрий 18 Март 2012, 04:44
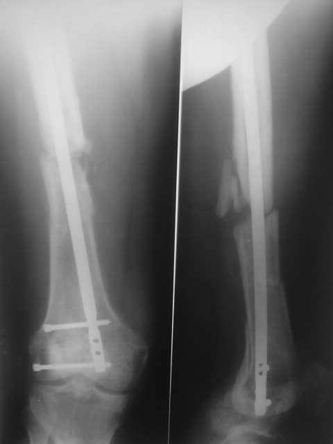
Был меж вертельный и оскольчатый перелом бедра, сделали остеосинтез,прошло 5 месяцев,не сращение.предлагают убрать нижний болт и сделать пластику.на что согласиться?
<
|
>
|
|
Ответить/комментировать
|
Re: остеосинтез бедра.не сращение.
Alexander Chelnokov 18 Март 2012, 10:25
|
Где Вы находитесь?
На мой взгляд, представленный план неоптимален, и может создать больше проблем, чем решить.
Стержень тонкий, на уровне нижнего перелома нестабильность, в этих условихя пластику делать бесперспективно - из-за подвижности не прорастут сосуды, соответственно, не приживет трансплантат.
И при закрытом интрамедуллярном остеосинтезе вообще пластики делать ни к чему. Здесь нужно убрать этот гвоздь, рассверлить канал и ввести гвоздь больше диаметром. И заереть его внизу понадежнее, винтами большего диаметра и не короткими, как сейчас. Вверху - динамически и с компрессией. Тут же можно будет ходить без ограничения нагрузки.
У нас много проодит подобных операций, можно подумать о приезде к нам в клинику.
|
[
Ответить/комментировать ] |
Re: остеосинтез бедра.не сращение.
Отправитель: дмитрий 19 Март 2012, 02:57
|
Я из Брянска 38 лет.Огромное спасибо за ответ!Все таки меня меня беспокоит вопрос после введения более толстого гвоздя кость срастется?, притянется ли осколок? и через сколько,он ведь далеко,надо ли вскрывать место перелома для фиксации осколков при сверлении и вводе гвоздя? изначально вскрывали ,и если не сросся меж вертельный перелом,как вверху динамически и с компрессией закрепить гвоздь?Сколько будет стоить такая операция? можно ли пока обойтись,только удалением нижнего болта или это не создаст нужную компрессию. С уважением Дмитрий.
|
[
Ответить/комментировать ]
|
Re: остеосинтез бедра.не сращение.
Отправитель: Alexander Chelnokov 20 Март 2012, 01:56
|
После реостеосинтез с рассверливанием обычно срастается. Про осколок думать не надо, пусть остается, где есть. Должно срастись хотя бы по передней поверхности. С гвоздем внутри запас времени будет очень большой, риск повторного перелома из-за асимметричного сращения отсуствует.
Про "изначально вскрывали" Вы забыли упомянуть в первом сообщении, тогда понятнее, откуда проблемы. Надо делать остеосинтез закрыто, без обнажения отломков, это позволяет максимально сохранить их кровоснабжение.
Удаление нижнего винта вряд ли тут решит проблему, он и так не сильно что-то держит. Тут еще можно было бы подумать про введение винтов вплотную к гвоздю для искусственного сужения канала. Но надежнее поменять гвоздь, поверьте.
Если не сросся вертельный перелом, это даже хорошо, т.к. можно было бы исправить положение и там. Вы показали только одну проекцию, полноценно оценить сращение не получится.
Насчет стоимости - приезжайте, возьмем бесплатно. Может, удастся квоту оформить.
|
[
Ответить/комментировать ]
|
|
( Ответить/комментировать )
|
|