вверх
отправить
поиск
админ
главная
|
Застарелый вывих ключицы, разрыв АКС |
 |
 |
 |
Отправлено Игорь 23 Ноябрь 2019, 21:46
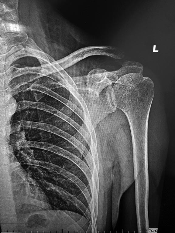
Застарелый вывих ключицы. Какой тип фиксации выбрать и нужна ли пластика? В середине апреля этого года получил травму плечевого сустава, вывих акромиального конца левой ключицы. Около месяца рука беспокоила, были боли. Потом боли прошли и остался дискомфорт в районе ключицы, она выпирала вверх, ограничений в движении не было. В июле была проведена операция, открытое вправление вывиха акромиального конца ключицы, произведена пластика связок капроновым шнуром с фиксацией двумя спицами и повязкой дезо на шесть недель. Недавно был на приёме у травматолога, подвывих сохраняется, наблюдается выпячивание ключицы и эффект клавиши при нажатии на неё, неприятные ощущения и щелчки при движении рукой. Врач рекомендует фиксацию крючковидной пластиной без пластики связок. Нужно ли делать пластику ключично-клювовидной связки? Какой тип фиксации лучше выбрать в моём случае? Снимок после первой операции прилагаю.
<
локтевой сустав не срастается
|
Прокоментируйте пожалуйста снимки на наличие дисплазии тбс
>
|
|