Добро пожаловать в Форум для пациентов
Взрослая ортопедия Детская ортопедия Последствия травмы Травма

Федеральное государственное учреждение "Уральский научно-исследовательский институт травматологии и ортопедии им. В.Д.Чаклина Росмедтехнологий"

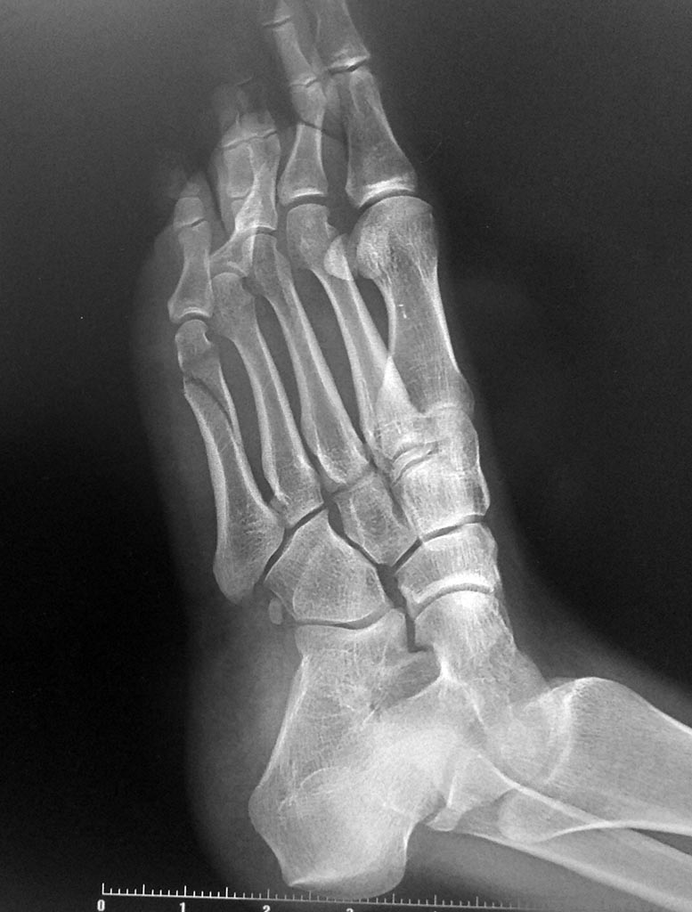
Косой перелом пятой плюсневой кости
 вверх
 отправить
 поиск
 админ
 главная


Косой перелом пятой плюсневой кости
Травма Отправлено andrey 14 Апрель 2020, 16:00
40 дней после перелома

Получил травму ступни при легкой разминке перед бегом - оступился на внешнюю сторону стопы.
Приложил холод и поехал в районный травмпункт. Сделал рентген.
Врач поставил диагноз: "З/перелом 5 плюсневой кости б/с". Снимок мне, увы, не показал. Наложил лангету.Лечение - иммобилизация, без нагрузки, кальций+д3.

Сегодня 40 день (почти 6 недель) с момента перелома, сделали повторный снимок. И неожиданно врач говорит что "смещение стало меньше" и "сращение недостаточно". И прописал еще две недели в лангете. Однако при этом советует отказаться от костылей и ходить опираясь ПОЛНЫМ весом на всю ступню (а не только пятку, например). При этом у меня до сих пор сильные боли в районе мизинца (сбоку и снизу стопы) и гематома в половину ступни в районе трех центральных пальцев.

Подскажите, пожалуйста:
нормально ли такое медленное заживление?
можно ли в действительности наступать на эту ногу?
смогу ли я продолжить занятия бегом на марафонские дистанции?

Прикладываю снимки рентгена на 40 день перелома.
Мне 29 лет, вес 75, рост 185.

ФАИ ТБС, киста вертулужной впадины | перелом бедренной кости  >

 

  • Сообщения о Травма
  • Также andrey
  • Связаться с автором
  • Ответить/комментировать

    Re: Косой перелом пятой плюсневой кости
    Alexander Chelnokov 28 Апрель 2020, 17:53
    Перелом срастается в приемлемом положении.
    Можно увеличивать нагрузку на ногу в пределах переносимого. Смысла в гипсовой шине при полной нагрузке не видно - гипс немедленно сломается.
    По мере того, как уйдут болезненные проявления, можно будет возвращаться к спортивным нагрузкам.
    [ Ответить/комментировать ]

    ( Ответить/комментировать )

    Powered by Zope  Squishdot Powered MedLink
    Посетитель: 10465
      "По форме правильно, а по существу - издевательство" В.И.Ленин
    ©2001-200124Patients Coordinator.
    [ Главная | Отправить сообщение | Поиск | Админ ]