AOTRAUMA.ORG Центр Илизарова  

Ортопедия и травматология Общие вопросы/General questions Help Информационные технологии в медицине
 вверх
 отправить
 поиск
 админ
 главная


Ложный сустав лодыжки
Ортопедия и травматология Отправлено Sergey Zyryanov 07 Февраль 2002, 18:22 ЦРБ Новосибирская область г Куйбышев
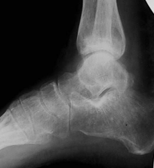
У больного травма в августе 2001 г. Лечился консервативно, Проводилась иммобилизация гипсовой лонгетой 3 мес. В последующем местное лечение. Остается контрактура боли в области наружной лодыжки. Направлен в наше отделение в конце января 2002 г Планируется костная аутопластика, остеосинтез пластиной, винтами перелома наружной лодыжки. Решается вопрос о коррекции неправильно сросшегося перелома внутренней лодыжки. Рентгенограммы: фас; профиль; план Сергей Зырянов


<  |  >

 

  • Сообщения о Ортопедия и травматология
  • Также Sergey Zyryanov
  • Связаться с автором
  • Ответить

    Re: Ложный сустав лодыжки
    Anton V. Vladzimirskiy 07 Февраль 2002, 19:00
    >Планируется костная аутопластика, остеосинтез пластиной, винтами перелома
    >наружной лодыжки.

    В схожих случаях мы придерживаемся подобной же тактики.
    Внутренняя лодыжка - открытая адаптация+фиксация винтом.


    С уважением,
    А.В.Владзимирский
    [ Ответить ]

    Re: Ложный сустав лодыжки
    Александр Артемьев 08 Февраль 2002, 12:30
    Здравствуйте.

    Кто сказал, что это ложный сустав (какой?) лодыжки?
    Перелом сросся, другое дело что с небольшим смещением - с варизацией - это естественно при смещении внутренней лодыжки кверху.
    Однако в чем проблема и что даст операция?
    Думаю, что ничего не даст и оперировать не надо.
    Тенденции к подвывиху нет. Контрактура скорее всего останется, артроз (и боль соответственно) после повторной операции скорее
    всего только усилятся. Другое дело, если операция уже оплачена - что делать, надо обозначиться:))
    Поезд здесь уже ушел. Поэтому консервативное лечение - и долгих лет жизни.
    Удачи.
    Александр Артемьев.
    [ Ответить ]

    Re: Ложный сустав лодыжки
    Alexander Chelnokov 08 Февраль 2002, 13:07
    Глубокоуважаемый Sergey,

    Wednesday, February 06, 2002, 5:13:03 PM, you wrote:

    SZ> Решается вопрос о коррекции неправильно сросшегося перелома внутренней
    SZ> лодыжки.

    Насчет наружной лодыжки - не уверен, что вообще надо что-то делать.
    на снимке, кстати, срезан ее дистальный отдел, и правильность взаимоотношений с таранной костью не оценить. Если они правильные - я бы присоединился к мнению об оставлении ее покое.
    А вот укорочение внутренней, похоже, привело к натяжению дельтовидной связки и гиперпрессии в медиальном отделе сустава, и уже сейчас там
    видно сужение щели. Так что есть смысл обратить внимание на ортопедическую профилактику деформирующего артроза.
    Не указан возраст, амплитуда движений, выраженность болевого синдрома.
    А вообще - отдаленный исход хорошо сделанного артродеза голеностопного сустава по крайней мере не хуже исходов хорошо сделаных восстановительных операций. Так что если амплитуда движений сейчас меньше 40 градусов, и боли сильные - IMHO есть смысл расширить список
    обсуждаемых вмешательств...

    --
    Best regards,
    Alexander N. Chelnokov
    Ural Scientific Institute of Traumatology and Orthopaedics
    [ Ответить ]

    Re: Ложный сустав лодыжки
    Акшин Б. Багиров 08 Февраль 2002, 20:22
    Надо сделать компьютерную томография и объектизировать истинное состояние переломов лодыжек. Пока не видно подвывиха таранной кости, а ложный сустав внутренней лодыжки (я его не вижу)в основном не вызывает функциональных растройств в голеностопном суставе.
    [ Ответить ]

    Re: Ложный сустав лодыжки
    Алексей Захаров 09 Февраль 2002, 01:45
    Коллеги! Я думаю надо плясать от возраста, профессии, объёма движений и интенсивности болевого синдрома. Ничего подобного не прозвучало... Имеет место подвывих стопы кнутри, никем не отмеченный! Оно конечно варус лучше, чем вальгус, но в данном случае принципиально его устранение (если оперировать конечно). Если оперировать, то предлагаю:
    1. Остеотомию и низведение внутренней лодыжки. Фиксация винтом или пучком спиц.
    2. Остеотомию наружной лодыжки и фиксация компрессирующим винтом (при необходимости дополнить аутокостью). Винт должен быть достаточно длинным дабы соблюдать ось!
    Данными манипуляциями устраняем подвывих стопы, гиперпрессию дельтовидной связки и пытаемся устранить ложный сустав наружной лодыжки (существование которого весьма сомнительно). Но судя по снимкам щель сустава уже возможно заполнена рубцом, либо капсула сильно рубцово изменена и нормализация движений в п/о периоде сомнительна. Так, что попробовать конечно можно, но нужно ли.
    [ Ответить ]

    Re: Ложный сустав лодыжки
    Sergey Zyryanov 14 Февраль 2002, 23:51
    Провели костную аутопластику дефекта, металлоостеосинтез наружной лодыжки Г-образной пластиной и 4 винтами. Снимок 1, Снимок 2.
    При проведении винтов выше перелома выявлен остеопороз. Есть опасность, что винты не удержат пластину при ранних нагрузках, поэтому провели винты через межберцовый синдесмоз.
    Большинством мнений врачей в нашем отделении решено не проводить вмешательства на внутренней лодыжке.
    Решено проводить иммобилизацию гипсовой лонгетной повязкой только в ближайшем послеоперационном периоде, разрешить ограниченную нагрузку весом тела (2 нед.). В последующем будем рекомендовать увеличивать нагрузку, проводить разработку в суставе.

    Сергей Зырянов
    ЦРБ Новосибирская область г Куйбышев
    [ Ответить ]


    ( Ответить )

    Powered by Zope  Squishdot Powered MedLink
    Посетитель: 0058021
      "По форме правильно, а по существу - издевательство" В.И.Ленин
    ©2001-2019Orthoforum Coordinator.
    [ Главная | Отправить сообщение | Поиск | Админ ]