AOTRAUMA.ORG Центр Илизарова  

Ортопедия и травматология Общие вопросы/General questions Help Информационные технологии в медицине
 ВХОД ДЛЯ ПАЦИЕНТОВ
 вверх
 поиск
 админ
 главная


Перелом стержня
Ортопедия и травматология Прислано Alexander Chelnokov 20 Июнь 2002, 20:20
из
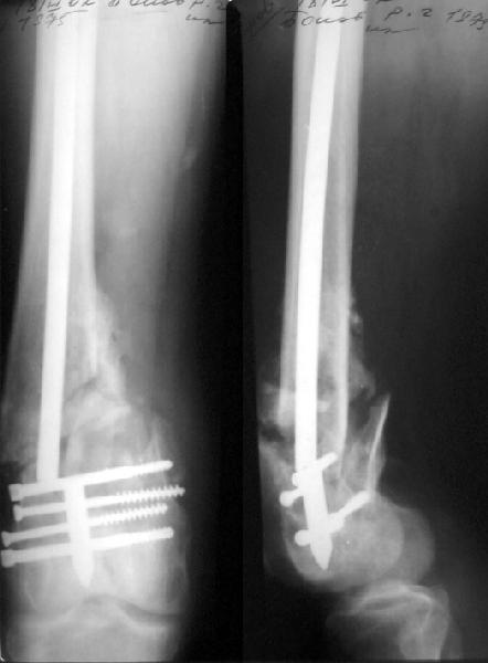
Пациент 27 лет оперирован 2.04.02 через 2 недели после открытого перелома дистального отдела бедренной кости (1 снимок).
Сделан антеградный закрытый интрамедуллярный остеосинтез UFN 11 мм (2 снимок). Вторая нога была ампутирована по месту первичного поступления. Для возможности ранней нагрузки использованы блокирующие винты 6 мм, для чего дистальные отверстия были рассверлены. К двум месяцам начал вставать на костыли, до того занимался разработкой движений в колене. Эти циклические движения в сочетании с тем, что зона концентрации нагрузок приходилась как раз на уровень отверстия, и что перелом открытый и тяжелый и не успел прочно схватиться, привели к перелому стержня 8 июня (3 снимок). Вчера госпитализировали. Такое осложнение у нас впервые. Пока думаем про реостесинтез - вытолкнуть дистальный отломок через дистально, да и через то же отверстие заштифтовать ретроградно. Или наложить аппарат после удаления центрального отломка стержня, если что-то не будет получаться. Или подумать про пластинку? Заранее спасибо.

Послать ответ

Имя
Email
Уведомление Сообщить мне по e-mail об ответах на это сообщение
Название
Комментарий
(Проверьте URL! Не забудьте написать http://!)
Кодировка
Если не знаете, что выбрать, выберите "Просто текст"!
Приложение
Можно приложить к сообщению файл c изображением, который затем будет доступен увидевшим сообщение.
Подготовка иллюстраций:
  • Рентгенограммы: черно-белые полутоновые изображения в формате JPEG (8 bit, greyscale) с разрешением от 300х200 до 1024х768 пикселов;
  • Клинические фотографии: полноцветные изображения в формате JPEG (24 bit, truecolor) с разрешением от 300х200 до 1024х768 пикселов;
  • Схемы и рисунки: черно-белые (2 bit) штриховые (line-art) изображения в формате GIF или compressed TIFF
  • Подберите степень сжатия файла JPEG и размер изображения таким образом, чтобы необходимые детали были различимы, но размер файла не превышал 75 кб.
  • Учтите, что текущая версия программного обеспечения Форума позволяет приложить к одному сообщению лишь один файл-вложение. Поэтому, если необходимо отправить несколько изображений, можно либо послать каждое как отдельное сообщение, либо в графическом редакторе объединить изображения в одно (сделать коллаж).
  • Если при подготовке изображений встречаются трудности, не стесняйтесь обратиться к координатору Форума.

  • Введите видимые символы в обратном порядке. Enter the above characters in reverse order (*Обязательно)
    В тексте сообщения можно использовать теги HTML <B> <I> <P> <A> <LI> <OL> <UL> <EM> <BR> <TT> <HR> <STRONG> <BLOCKQUOTE> <DIV .*> <DIV> <P .*>
  • Обратите внимание: Поля с жирными названиями обязательны.
  • Старайтесь отвечать в рамках обсуждаемой темы, а не начинать новые обсуждения.
  • Указывайте адекватную тему сообщения, чтобы было ясно, о чем оно.
  • Не послайте сообщений не по теме (оффтопик), раздраженных, грубых или обидных комментариев. Здесь это неуместно.
  • Powered by Zope  Squishdot Powered MedLink
    Посетитель: 0000665
      "По форме правильно, а по существу - издевательство" В.И.Ленин
    ©2001-2019Orthoforum Coordinator.
    [ Главная | Отправить сообщение | Поиск | Админ ]