ВХОД ДЛЯ ПАЦИЕНТОВ
вверх
поиск
админ
главная
|
Задний край впадины - оперировать ли? |
 |
 |
 |
Прислано Alexey V. Rounkov 17 Февраль 2003, 11:24
из
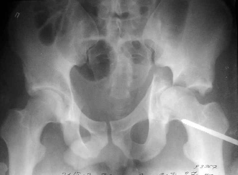
Пациент переведен в нашу клинику на 5 день после множественной травмы 25.01.2003 - двустороннее повреждение вертлужных впадин, разрыв левого
крестцово-подвздошного сочленения. Вывихи обоих бедер. В месте первичного поступления подвздошный вывих правого бедра вправлен
26.01.2003, наложено вытяжение за левую вертельную область.
Остеосинтез левой вертлужной впадины выполнен у нас 6.02.2003.
Вопрос: надо ли синтезировать задне-верхний край правой вертлужной впадины?
Обратите внимание: Поля с жирными названиями обязательны.
Старайтесь отвечать в рамках обсуждаемой темы, а не начинать новые обсуждения.
Указывайте адекватную тему сообщения, чтобы было ясно, о чем оно.
Не послайте сообщений не по теме (оффтопик), раздраженных, грубых или обидных комментариев. Здесь это неуместно.
|