вверх
отправить
поиск
админ
главная
|
Патологический перелом/хондрома |
 |
 |
 |
Отправлено Anton V. Vladzimirskiy 16 Май 2003, 15:09
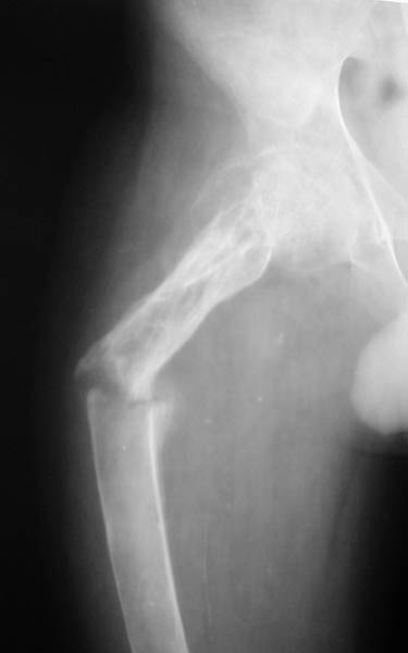
Мальчик, 14 летЖалобы на боли в правом бедре, резкое ограничение активных и пассивных движений в тазобедренном и коленном суставах справа, вынужденное положение правой ноги. Диагноз: Хондрома проксимального отдела правого бедра, состояние после внутриполостной резекции и аллопластики, закрытый патологический перелом проксимального отдела правого бедра со смещением В 2001 г. - хондрома проксимального отдела правого бедра. Операция - внутриполостная резекция, аллопластика. В течение 2 лет - 2 патологических перелома (СВ, гипс). 23.04. - закрытый патологический перелом проксимального отдела правого бедра.Патогистологическое исследование от 06.05.: остеобластома, диагноз в пользу агрессивного варианта.Тактика лечения?С уважением,А.В.ВладзимирскийДонецкий НИИ травматологии и ортопедииДонецк, Украина
<
|
>
|
|
Ответить
|
Re: Патологический перелом/хондрома
Alexander Chelnokov 16 Май 2003, 17:01
|
Нельзя ли показать другую проекцию, а то в приложении две фотографии одной и той же рентгенограммы.
А откуда брали материал для биопсии?
В качестве информации к размышлению - прилагаю материалы американского симпозиума по оперативному лечению переломов у детей, там есть про патологические переломы.
pedfracs.pdf
139KB (142336 bytes)
|
[
Ответить ]
|
Re: Патологический перелом/хондрома
Отправитель: Казбек У. Кудзаев 16 Май 2003, 19:34
|
Уважаемый А.В. Владзимирский! Я думаю, что в данном случае можно поставить онкологический эндопротез фирмы "Безноска" производства Чехии.
С уважением Кудзаев К.У.
|
[
Ответить ]
|
|
Re: Патологический перелом/хондрома
Ильдар Ф. Ахтямов 26 Май 2003, 09:15
|
Возможно у мальчика имела место фиброзная дисплазия проксимального отдела бедренной кости, но это в прошлом. В настоящее время необходима замена проксимального отдела бедра на ревизионный или онкологический эндопротез ТБС. Значительный опыт лечения детей методом
эндопротезирования имеет Хрыпов Сергей г. Пушкин.
АИФ.
|
[
Ответить ]
|
( Ответить )
|
|