вверх
отправить
поиск
админ
главная
|
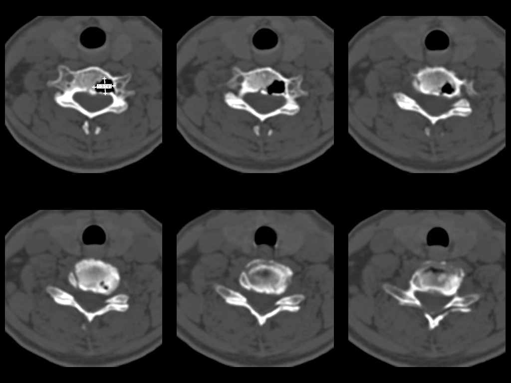
Участок деструкции в теле позвонка. |
 |
 |
 |
Отправлено Алексей Величко 03 Июнь 2003, 21:25 ЦРБ Оренбургского района
У женщины 49 лет, при рентгенографии шейного отдела в теле С6 выявлен участок деструкции.Часть N1 Больная находилась в неврологическом отделении с диагнозом энцефалопатия. Была проведена КТ тела С6, 26.12.2002 выявлен участок деструкции 0,9х1,2 см, плотность участка составляет -1022 ед.Н. аналогичная плотности воздуха в трахее.Возникает вопрос что это? Метастаз, киста,или какой то вредный анаэроб грызет тело позвонка?Через пол года 03.06.2003 произведено повторное исследование. Отмечается отрицательная динамика. Участок деструкции увеличился в размерах, увеличелась площадь разрушения задней поверхности тела С6.
<
|
>
|
|
Ответить
|
Re: Участок деструкции в теле позвонка.
А.Э.Цориев 04 Июнь 2003, 18:10
|
Наличие выраженных дистрофических изменений, а также сообщение полости в теле позвонка С6 с полостью межпозвонкового диска в сегменте С5-С6, а также наличие газа в полости межпозвонкового диска С5-С6 спереди, на границе фиброзного кольца и пульпозного ядра (3-й слева срез в нижнем ряду на второй из представленных КТ) делает диагноз остеохондроза, осложненного вакуум-феноменом и прорывом газа в полость тела позвонка с формированием воздушной кисты (пневмкисты) несомненным.
Список литературы:
1. Multisegmental pneumatocysts of the lumbar spine mimic osteolytic lesions
I. E. Steingruber, C. M. Bach, C. Wimmer,et al (European Radiology Volume 11 Issue 5 (2001) pp 845-848)
2. The intravertebral gas phenomenon. Kupman W., et al. (Skeletal Radiology, 1986, vol.15, 444-447)
3. Case report: Gas within a cervical vertebral body. Grunshaw ND, Carey BM, Clin. Radiol vol.49:653-654
Спасибо, коллега, за интересный случай !
|
[
Ответить ]
|
Re: Участок деструкции в теле позвонка.
А.В.Владзимирский 05 Июнь 2003, 12:32
|
Я перенаправил запрос в НИИ нейрохирургии им.Бурденко в Киеве. Когда придет ответ - помещу его сюда.
|
[
Ответить ]
|
Re: Участок деструкции в теле позвонка.
Отправитель: А.В.Владзимирский 05 Июнь 2003, 16:57
|
Желательны дополнительные уточнения по запросу:
1) За какую дату, 26.12.2002 или 03.06.2003 или за обе, представленные
в запросе снимки? Если за обе даты, то какие за какую дату? Для пояснений
к снимкам (дата, режим и т.д.) удобно использовать поле "комментарий".
2) Если в запросе снимки только за одну дату, то желательны также
другие снимки (которых нет в запросе) для сравнения в динамике.
3) Каков размер участка деструкции на снимках за 3.06?
|
[
Ответить ]
|
Re: Участок деструкции в теле позвонка.
Отправитель: Алексей Величко 06 Июнь 2003, 15:21
|
Дайте e-mael куда можно отправить снимки в dicom формате, я их туда залью. Одно исследование в архивном виде стандартный zip занимает приблизительно 3,5 мб.
Первые 2 серии снимков это от 2002г, вторые 2 серии от 2003 г. Относительно размеров, сообщю дополнительно все перермерю на томографе.
|
[
Ответить ]
|
Re: Участок деструкции в теле позвонка.
Отправитель: Алексей Величко 06 Июнь 2003, 15:31
|
Размеры за 2002 год 1,2х0,9х1,2 мм
за 2003 1,3х0,9х1,2 мм. Но контур деструкции стал более неровный и внедрение в дужку С6 увеличелось.
Измерения сделаны на КТ поэтому они несколько могут отличаться от тех что на снимках. На снимках использовалась программа e-Film.
|
[
Ответить ]
|
|
Re: Участок деструкции в теле позвонка.
А.В.Владзимирский 11 Июнь 2003, 14:38
|
Случай консультировали заведующий отделом нейрорентгенологии НИИ
Нейрохирургии Робак О.П. и гл.врач НВП "Интермаг" Привалова Е.С.
Характер процесса не вполне ясен. Учитывая скопление газа на фоне тела
позвонка, с наибольшей вероятностью - "вакуум-феномен" в следствии
дегенерации межпозвонкового диска. Наложение газа на образование в теле
позвонка (гемангиома?) создает затруднение в диагностике (по-видимому
сочетание двух процессов). Желательно МРТ исследование. Если возможно,
перешлите исходное изображение КТ (не сканированное, а полученное с
аппарата в цифровом виде) желательно в формате DICOM.
|
[
Ответить ]
|
( Ответить )
|
|