AOTRAUMA.ORG Центр Илизарова  

Ортопедия и травматология Общие вопросы/General questions Help Информационные технологии в медицине
 вверх
 отправить
 поиск
 админ
 главная


Асептический некроз?
Ортопедия и травматология Отправлено Anatoliy Borzunov 14 Июнь 2003, 19:56
26.07.200207.05.03
Уважаемые коллеги, поздравляю с днем медицинского работника, желаю всего самого наилучшего.Недавно вышел из отпуска и вновь готов к общению с виртуальными друзьями.
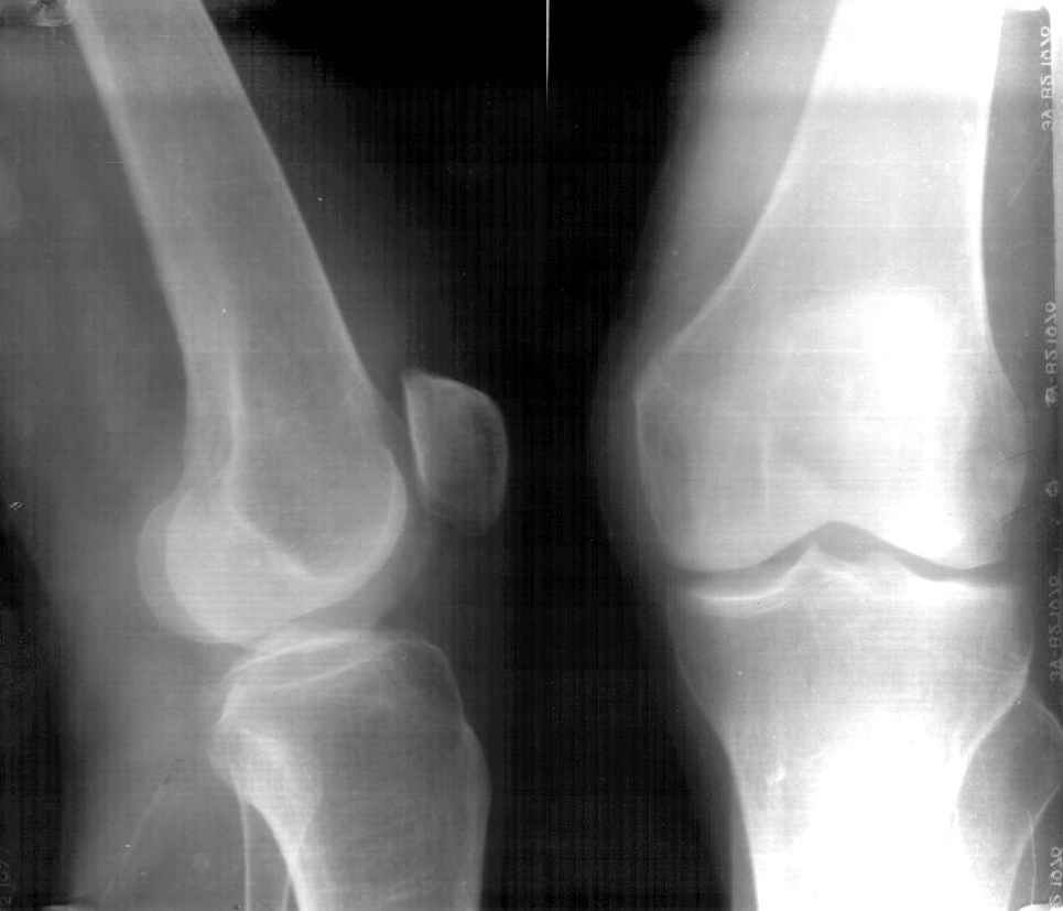
Больная К.85 лет, получила незначительную травму в конце июля 2002 года (рентгенограммы от 26.07.2002). Ушиб коленного сустава, отека не было, гемартроза не было. Лечилась местными средствами, троксевазиновая мазь, водочные компрессы. В дальнейшем развился посттравматический периартрит правого коленного сустава, синовиит правого коленного сустава. Больная на дом приглашала много различных врачей, из санаторной сети, частных хирургов, из скудных полученных данных возможно было выяснить, что получала диклофенак-натрий внутримышечно, примерно 10 раз. Несколько внутрисуставных инъекций, сколько и с каким промежутком выяснить не удалось, но более менее достоверно, что один раз вводили гидрокортизон и один раз кеналог-40. Записи практически никто не оставлял.На данный момент больная категорически отказывается от госпитализации в любое из предложенных отделений ни только для лечения, но и для обследования. Ищет врача, который назначит "правильную" мазь.Моя версия, асептический некроз наружного мыщелка правого бедра, после многократного введения гормональных противовоспалительных препаратов (рентгенограммы от 07.05.03).

<  |  >

 

  • Сообщения о Ортопедия и травматология
  • Также Anatoliy Borzunov
  • Связаться с автором
  • Ответить

    Re: Асептический некроз?
    Андрей 14 Июнь 2003, 22:07
    А зачем в стационар? Назначьте "правильную" мазь -
    подороже и подефицитнее и порядок. Судя по анамнезу
    там проблемы не только с коленом.
    С уважением Андрей.
    [ Ответить ]

    • Re: Асептический некроз?
      Отправитель: Alexander Chelnokov 15 Июнь 2003, 00:02
      Вообще, задача уважающего себя специалиста - обеспечить пациенту не то, что он (пациент) хочет, а то, что ему нужно.

      [ Ответить ]
    Re: Асептический некроз?
    Alexander Chelnokov 15 Июнь 2003, 00:05
    AB> предложенных отделений ни только для лечения, но и для обследования.
    AB> Ищет врача, который назначит "правильную" мазь.

    М-да. Тут уж скорее обсуждать не как помочь пациентке, а как избежать дальнейших с ней контактов... :-(

    AB> Моя версия, ассептический некроз наружного мыщелка правого бедра,
    AB> после многократного введения гормональных противовоспалительных

    Многократного введения вроде и не было? Вообще, хрящевые язвы после десятков инъекций кеналога вполне ожидаемы, но тут такой остеолиз... На онкологию тоже не очень похоже... И на артрит не очень...

    Пока суд да дело, посоветовать ей шарнирый брэйс для разгрузки наружного отдел сустава, что ли... Костыли... А радикального лечения, кроме эндопротезирования, на ум что-то не приходит.
    [ Ответить ]

    Re: Асептический некроз?
    Святенко Владимир 16 Июнь 2003, 02:26
    В возрасте 84 лет незначительная травма на фоне остеопороза могла послужить причиной перелома ( что возиожно и присутствует на предоставленных RTG
    особо похоже на боковых), на этом фоне в результате блокад, пусть и не многочисленных, развился асептический некроз мыщелка бедра.
    D-z:Старый несросшийся перелом наружного мыщелка правого бедра.Посттравматический ( ятрогенный?)
    асептический некроз наружного мыщелка бедра.

    [ Ответить ]

    Re: Асептический некроз?
    Евгений 03 Декабрь 2012, 16:41
    Если верить клинике (отсутствие гемартроза) говорить о первичном переломе наружного мыщелка бедра нельзя. Да и не ходила бы больная с таким переломом. Плюс ко всему, практически, не бывает при данной локализации переломов без смещения.
    Моё мнение: Асептический некроз наружного мыщелка бедра с патологическим переломом и рассасыванием приферического фрагмента.
    Картина близкая к асептическому некрозу головки бедра при медиальном перломе шейки бедра - но в этом случае перелом первичен, а некроз вторичен.
    Лечение симптоматичекое, хождение с палочкой или костылём.
    Еслии верить многократному применению гормональных препаротов, то первичный (без травмы) асептичесий некроз имеет право быть. Даже не столько асептический некроз, сколько остеопоротическая резорбция костной ткани медикаментозного происхождения.

    В начале 60-х, когда ещё "не боялись" гормональных препаратов, моего знакомого год лесили "от почек" преднизолоном. Результат - распространённый остеопороз костей скелета, деформация головок и шеек обеих бёдер. Лет через пять (не помню точно) костная ткань восстановилась, но инвалидность осталась пожизненно.
    [ Ответить ]


    ( Ответить )

    Powered by Zope  Squishdot Powered MedLink
    Посетитель: 0138017
      "По форме правильно, а по существу - издевательство" В.И.Ленин
    ©2001-2019Orthoforum Coordinator.
    [ Главная | Отправить сообщение | Поиск | Админ ]