AOTRAUMA.ORG Центр Илизарова  

Ортопедия и травматология Общие вопросы/General questions Help Информационные технологии в медицине
 вверх
 отправить
 поиск
 админ
 главная


Туберкулез КПС
Ортопедия и травматология Отправлено А.В.Владзимирский 13 Ноябрь 2003, 15:38
1234
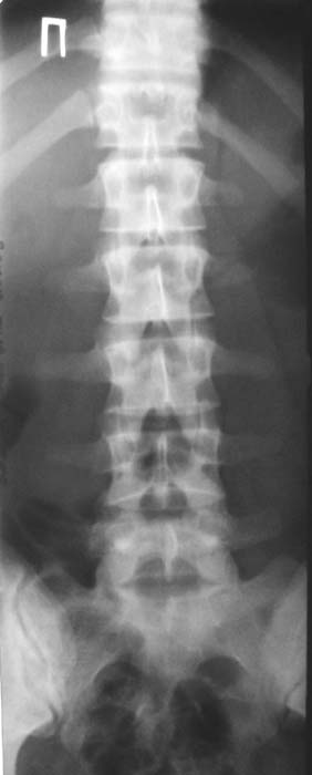
Уважаемые коллеги!Окажите, пожалуйста, консультативную помощь.Мужчина, 24 года. Туберкулез крестцово-подвздошного сочленения справа,
активная фаза. Болен в течение 6 месяцев. Проходил курсы НПВС - без эффекта.Жалобы на постоянные боли в поясничной области. Местно: крестцовая область припухшая, кожа не изменена, при пальпации боль, осевая нагрузка - боль, хромота на правую ногу.Общие анализы - без особенностей.МРТ 09.11.03. - патологических изменений в поясничном отделе не выявлено.Описание рентгенолога: остеосклероз, нечеткость контуров, участки деструкции в правом крестцово-подвздошном сочленении.Положительный анализ на антитела к микобактериям (IgM+E) от 16.10.03.Вопросы: уточнение диагноза, определение тактики лечения.С уважением,А.В.ВладзимирскийДонецкий НИИ травматологии и ортопедииДонецк, Украина

<  |  >

 

  • Сообщения о Ортопедия и травматология
  • Также А.В.Владзимирский
  • Связаться с автором
  • Ответить

    Re: Туберкулез КПС
    Виталий Евгеньевич Казеннов 13 Ноябрь 2003, 19:34
    Уважаемый Антон Владимирович!

    Вашу заявку и рентгенограммы я показал доценту кафедры лучевой диагностики нашего университета Лупаенко Игорю Яковлевичу. Ниже привожу его заключение:

    "Представленные рентгенограмы не убедительны с точки зрения наличия деструктивного процесса в крестцово-подвздошном сочленении. Необходимо выполнить компьютерную томографию таза с обязательным захватом крестцово-подвздошных сочленений. Желательно также знать рентгенологическую картину легких."

    Казеннов В.Е.
    [ Ответить ]

    Re: Туберкулез КПС
    Владимир Святенко 13 Ноябрь 2003, 22:20
    Уважаемаый коллега!
    На чем основывается диагноз - "Туберкулез кресцово-подвздошного сочленения " ?
    Владимир.
    [ Ответить ]


    ( Ответить )

    Powered by Zope  Squishdot Powered MedLink
    Посетитель: 0000050
      "По форме правильно, а по существу - издевательство" В.И.Ленин
    ©2001-2019Orthoforum Coordinator.
    [ Главная | Отправить сообщение | Поиск | Админ ]