ВХОД ДЛЯ ПАЦИЕНТОВ
вверх
поиск
админ
главная
|
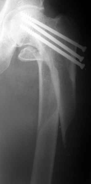
Еще один перелом "около фиксатора" |
 |
 |
 |
Прислано Alexander Chelnokov 14 Январь 2004, 14:54
из
Женшина 69 лет оперирована у нас 2 года назад по поводу перелома шейки. Ходила дома без дополнительной опоры, на улице - с тростью.
Сегодня утром села мимо табуретки. Поскольку наша бывшая пациентка, сегодня же из области родственники привезли к нам. Картинка в приложении. Какие будут предложения по тактике?
Обратите внимание: Поля с жирными названиями обязательны.
Старайтесь отвечать в рамках обсуждаемой темы, а не начинать новые обсуждения.
Указывайте адекватную тему сообщения, чтобы было ясно, о чем оно.
Не послайте сообщений не по теме (оффтопик), раздраженных, грубых или обидных комментариев. Здесь это неуместно.
|