AOTRAUMA.ORG Центр Илизарова  

Ортопедия и травматология Общие вопросы/General questions Help Информационные технологии в медицине
 вверх
 отправить
 поиск
 админ
 главная


ресинтез
Ортопедия и травматология Отправлено Сергей Зырянов 28 Январь 2004, 09:47
1234
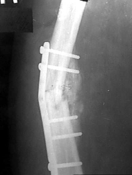
К нам обратились 24 01 04 родственники больного, с просьбой помочь больному. Мужчина 30 лет, 3 месяцаназад получил травму.
Диагноз: двойной оскольчатый перелом правого бедра в с/3 и н/3 со смещением, открытый оскольчатый перелом правой большеберцовой кости в с/3 со смещением двойной перелом малоберцовой кости. Оперирован проведена открытая репозиция, остеосинтез двумя пластинами бедренной кости, иммобилизация кокситной повязкой. На контрольных рентгенограммах от 21 01 04 имеется: несостоятельность остеосинтеза бедренной кости в в/3 выраженная угловая деформация; консолидирующийся перелом большеберцовой кости со смещением по длинне и выраженной вальгусной деформацией. Родственникам рекомендовали оперативное лечение. Больного доставят на осмотр 28.01.04, обдумываем способы лечения. Оперативное лечение планируем в два этапа, вначале на бедре, затем на голени. На бедре- удаляем верхнюю пластину, проводим остеотомию по линии верхнего перелома, проводим репозицию, остеосинтез пластиной с фиксацией верхнего, среднего и нижнего фрагментов.На голени-мнения разделились:- можно наложить аппарат внешней фиксации на голень, провести остеотомию б/берцовой кости в зоне перелома между проксимальным отломком и осколком, остеотомию малоберцовой кости, провести постепенную репозицию, тибиализацию (рисунок 3).-или провести остеотомию по линии перелома большеберцовой кости, репонировать и фиксировать пластиной. Новосибирская областьг Куйбышев ЦРБСергей Зырянов

<  |  >

 

  • Сообщения о Ортопедия и травматология
  • Также Сергей Зырянов
  • Связаться с автором
  • Ответить

    Re: ресинтез
    Alexander Artemiev 28 Январь 2004, 09:57
    Здравствуйте, Сергей и коллеги.
    Не вижу смысла разделять на этапы.
    Идеальным было бы выполнить внешний остеосинтез и на
    бедре и на голени в один этап.
    Каков смысл разделять на этапы?
    Детали операции могу расписать и со схемами,если это
    как-то поможет...

    Последние снимки голени Вы не прислали.
    Но заведомо можно сказать, что
    1.Перелом вряд ли сросся, поэтому смысла делать
    какую-либо остеотомию нет.
    2. Выполнять тракцию малоберцовки спустя три месяца не
    рационально. Можно рассчитывать на эффект
    синостозирования в свежих случаях - когда одна общая
    гематома.

    Александр Челноков дня через два вернется из Москвы.
    Наверняка предложит гвозди с блокировко.
    Хорошая методика,если кто владеет.
    С уважением Александр Артемьев
    [ Ответить ]

    • Re: ресинтез
      Отправитель: Anton V. Vladzimirskiy 28 Январь 2004, 10:17
      Полностью согласен. Одним этапом и именно ВЧКО на обоих сегментах.

      С уважением,

      А.В.Владзимирский


      [ Ответить ]
    Re: ресинтез
    Александр Г. Рыков 28 Январь 2004, 10:20
    Привет Сергей! Разделять вмешательства на этапы рационально, если соматический статус больного нестабильный или Ваши анестезиологи не смогут по той или иной причине обеспечить вмешательство в один этап. Я бы предложил вмешательство в один этап: на бедре ресинтез "нормальной пластиной" на 18-20 винтах с дистальным клинком, выбросив "негодный металлолом"- все равно придется металл убирать, даже если планировать внутрикостный синтез стержнем с блокированием, на голени аппарат по классической схеме без перемещения фрагмента м\б кости. Периоперационное обеспечение крайне важно: спинально-эпидуральная анестезия с пролонгированием обезболивания, кровосбережение, профилактика ТЭЛА и инфекции классические. Судя по
    рентгенограммам -проблем с остеорепарацией у больного нет - проблемы с некачественным остеосинтезом привели к данной ситуации. Желаю успеха и удачи.

    А.Рыков.
    [ Ответить ]

    Re: ресинтез
    Alexander Chelnokov 28 Январь 2004, 13:20
    S> Оперативное лечение планируем в два этапа, вначале на бедре, затем на голени.

    Можно в один, согласен с коллегами. Вернее, в два или больше, но начать сразу с обоих сегментов.

    S> На бедре- удаляем верхнюю пластину, проводим остеотомию по
    S> линии верхнего перелома, проводим репозицию, остеосинтез пластиной
    S> с фиксацией верхнего, среднего и нижнего фрагментов.

    В общем, план жизнеспособный, но ключевым бы представлялось при любом варианте сохранить околокостные ткани, имеющийся периостальный регенерат на уровне верхнего перелома бедра.
    Одномоментная мобилизация и осстановление длины могут привести к полному склетированию концов отломков. Похоже, они вполне живые, несмотря на предшествующую операцию, но, как говорят наши заокеанские коллеги, "нет такого состояния, которое нельзя было бы ухудшить операцией".
    Так что удалять пластинки лучше минимально инвазивно, винты можно убирать через проколы, пластинку через небольшой разрез, потом аппаратом выполнить "бескровную трансформацию".


    S> На голени-мнения разделились:

    S> - можно наложить аппарат внешней фиксации на голень, провести
    S> остеотомию б/берцовой кости в зоне перелома между проксимальным
    S> отломком и осколком,

    Скорее всего, достаточно будет закрытой остеоклазии.

    S> остеотомию малоберцовой кости,

    Да.

    S> провести постепенную репозицию, тибиализацию (рисунок 3).

    Тибиализация тут избыточна, поскольку нет значительного сегментарного дефекта.

    S> -или провести остеотомию по линии перелома большеберцовой
    S> кости, репонировать и фиксировать пластиной.

    Возможно, не "или", а "и" - возможна внутреняя фиксация после постепенной репозиции аппаратами. В том числе пластинами, можно их вводить после сопоставления аппаратом, сняв его после остеосинтеза.
    Это позволит применить либо "рациональный", либо "биологический остеосинтез", то есть соответственно хотя бы циркулярно не скелетировать отломки, либо вообще ввести пластинку через подкожный туннель.
    [ Ответить ]

    Re: ресинтез
    Дрягин Виталий 28 Январь 2004, 16:47
    Я бы удалил все металлоконструкции с бедра.Затем произвел разделение фрагментов верхнего перелома и произвел металлосинтез гвоздём UFN с рассверливанием костномозгового канала,с дистальным и проксимальным блокированием.На голени произвел остеотомию малоберцовой кости аппаратом вывел бы оси и устранил деформацию, а затем Гвоздь UTN c дистальным и проксимальным блокированием.На бедре возможно костная пластика.
    Но если Вы выбирете гвоздь, то с рассверливанием.
    Удивительно, что А.Челноков не поддерживает это мнение с его колоссальным опытом по гвоздям.
    С уважением.

    [ Ответить ]

    • Re: ресинтез
      Отправитель: Alexander Chelnokov 28 Январь 2004, 19:47
      ВД> Удивительно, что А.Челноков не поддерживает это мнение

      Да упаси Боже, я уже здесь в ответе А.Артемьеву написал, что мы бы закончили гвоздями в оба сегмента. Хотя о деталях и тут можно спорить (одноэтапно удалить, мобилизовать отломки и забить гвозди, или пойти двухэтапно - с предварительной аппаратной коррекцией). Но, насколько я знаю ситуацию у С.Зырянова по предыдущим обсуждениям с его участием, закрытый интрамедуллярный остеосинтез в его больнице пока недоступен. Так что ответил, исходя из этого.

      ВД> с его колоссальным опытом по гвоздям.

      Ну, колоссальным наш опыт можно будет назвать лет через 20 ;-)


      [ Ответить ]
    Re: ресинтез
    Краснодар 30 Январь 2004, 21:39
    На мой взгляд растягивать на 2 этапа нет накакого смысла. Возможно произвести оперативное вмешательство двумя бригадами.
    А почему вы не хотите прозвести на бедре синтез спице-стержневым аппаратом внешней фиксаци с предидущим удалением пластины.

    [ Ответить ]

    Re: ресинтез
    Alexander Chelnokov 06 Февраль 2004, 13:35
    Наша клиника готова взять этого больного на оперативное лечение, оплачивать фиксаторы и лечение не нужно. Платить придется только за дорогу. Обсудите, пожалуйста, этот вариант с больным и родственниками.
    [ Ответить ]

    Re: ресинтез
    Castro 07 Февраль 2004, 03:03
    Na moi vzglad, ni sleduet razdelit' operasio na 2 itapa, luche ito sdelat' srazu: Udolit' vse zelezo iz bedra, vipolnit zakrity osteosyntez bedrennoi kosty s pomoshio "interloching nail", i nalozit' aparat Ilizarova na goleny zakritim sposobom posle vipolnenjia osteotomio malobersevoi kosty.
    MOZNO ispolzovat' apparat Ilizarova i na bedre toze, no bole predpochitelno ito zakrty osteosythyntes s pomoshio zamekaioshego "blokyrueshego" shifta typa UFN k premeru, vvedenny is vertelnoi fossa!
    Kastro
    Zarqa
    [ Ответить ]

    Re: ресинтез
    Alexander Chelnokov 20 Февраль 2004, 16:44
    Докладываю, что сегодня этот пациент поступил к нам в отделение. Как раз подгадал под выходные, так что события будут позже...
    [ Ответить ]

    Re: ресинтез
    Alexander Chelnokov 26 Февраль 2004, 02:03






    1

    2

    3


    Как я уже сообщал, пациент поступил к нам в пятницу на прошлой неделе.
    Ко всему прочему у него еще и разгибательная контрактура коленного сустава - амплитуда градусов 15.
    Сегодня сделана операция. Из бедра минимально инвазивно удалены пластинки. Один винт на верхней пластинке оказался сломан, так что пришлось там сделать разрезик побольше, см 5.
    Хотя и с трудом, но на бедре удалось сразу выполнить закрытый интрамедуллярный остеосинтез с минимальным рассверливанием.
    Редрессацию колена даже пытаться делать не стали.
    На голени - чрескожная остеотомия малоберцовой кости, закрытая остеоклазия большеберцовой, дистракционный остеосинтез аппаратом.

    В плане - востановление длины и оси голени, разработка движеий в колене. Не уверен, что удастся синтезировать голень стержнем при таком маленьком сгибании в коленном суставе.
    [ Ответить ]

    • Re: ресинтез
      Отправитель: Sergey Zyryanov 28 Февраль 2004, 11:41
      Доложил данный случай коллегам в нашем небольшом коллективе, в основном состоящим из хирургов общего профиля (не очень интересующимися телемедицинскими технологиями). Продемонстрировал возможности проведения телеконсультаций, и возможностью лечения больных. Удивил, слушали
      внимательно, было много вопросов.

      Вальгусную деформацию голени уменшили , но все же есть. На бедре в области нижнего перелома остается умеренная варусная деформация. По данным снимкам точно сказать на солько остается общая деформация конечности представляется трудным.

      Когда мы планировали операцию, обсуждался нами вопрос о необязательном выправлении угловой деформации голени, при условии, что не будем изменять угловую деформацию в нижнем переломе на бедре. Были ли какие то расчеты проведены вами, и насколько может повлиятьэто на функцию конечности?
      Как планируете провести послоперационное лечение? Мы готовы помочь в проведении послеоперационной реабилитации.

      Сергей Зырянов
      Новосибирская Область
      г. Куйбышев. ЦРБ
      27.02.04

      [ Ответить ]
      • Re: ресинтез
        Отправитель: Alexander Chelnokov 28 Февраль 2004, 16:45
        S> телеконсультаций, и возможностью лечения больных. Удивил, слушали
        S> внимательно, было много вопросов.

        Как будем развивать успех? ;-)

        S> Вальгусную деформацию голени уменшили , но все же есть.

        Это же не окончательное положение. Сегодня начали тянуть темпом 2 мм/сут.

        S> На бедре в области нижнего перелома остается умеренная варусная
        S> деформация.

        Мне кажется - скорее, вальгусная... На следующей неделе сделаем еще снимки с захватом коленного сустава, уточним.

        S> По данным снимкам точно сказать насколько остается общяя
        S> деформация конечности представляется трудным.

        А главное, преждевременным ;-) Еще с голенью не закончили.

        S> Когда мы планировали операцию, обсуждался нами вопрос о необязательном
        S> выправлении угловой деформации голени, при условии, что не будем изменять
        S> угловую деформацию в нижнем переломе на бедре.

        Там уж больно заметный на глаз вальгус был.

        S> Были ли какие то расчеты проведены вами,

        Просто постараемся сделать максимум возможного для достижения правильной оси и длины.

        S> и насколько может повлиять это на функцию конечности?

        О приемлемых осевых деформациях написано много, есть многое за то, что сами по себе посттравматические деформации диафиза до 10 и даже больше градусов не вызывают проблем в отдаленные сроки, есть и сторонники идеального восстановления осей. Мне очень понравилась вот эта фраза из руководства Rockwood & Green:
        =======================
        The key determinant of the acceptability of reduction is that the patient's fractured limb looks normal clinically.
        Ключевым моментом премлемости репозиции является то, что сломанная конечность пациента выглядит нормальной клинически.
        =======================

        S> Как планируете провести послоперационное лечение?

        Основная проблема - разгибательная контрактура коленного сустава.
        Сейчас больному поставлена задача сгибать колено "до первой крови из ушей" - см. фото.







        План сейчас - восстановить длину и ось голени. Если колено градусов еще хоть на 20 согнется - заштифтуем, если нет - перемонтируем аппарат для окончательной фиксации. Потом отправим ближе к дому.

        S> Мы готовы помочь в проведении реабилитации послеоперационной.

        Это будет лучший вариант.
        С голеностопным суставом у него проблем нет, основной бедой так и останется колено. Кроме активной и агрессивной разработки движений в колене, практически ничего ему будет не надо - ни аппаратной физиотерапии, ни массажа, ни медикаментов.

        Очень попрошу делать этапные рентгенограммы и клинические фото в срок 2,3,6,12 мес., с последующей переправкой к нам. И еще пусть
        заполняет в эти же сроки опросник SF-36 (http://weborto.net/SF-36).
        Проверим возможности телемониторинга ;-)

        [ Ответить ]
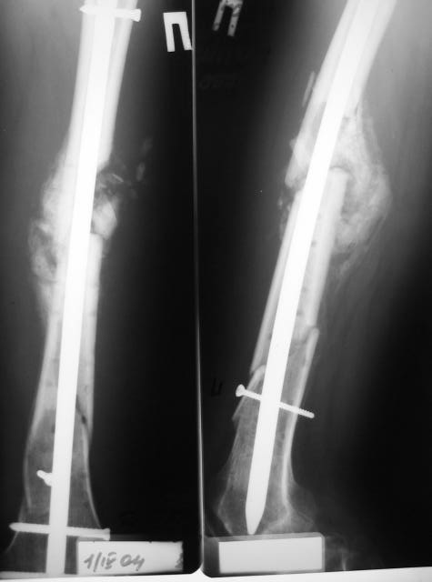
    Re: ресинтез
    Alexander Chelnokov 10 Апрель 2004, 19:37





    1

    2


    Наконец, 23 марта сделали и голень.
    [ Ответить ]

    Re: ресинтез
    Сергей Зырянов 10 Апрель 2004, 19:43





    1

    2


    Пациент вернулся. Результаты лечения удовлетворяют его.

    Буду продолжать наблюдать, лечить.
    Раны зажили хорошо, швы снял. Сделали контрольный рентгеновский снимок бедра. Движения в коленном суставе востанавливаются, угол 94 гр.
    Больной ходит пока с костылями, с неполной нагрузкой весом тела, он боится больше нагружать.
    Спасибо за диски присланные, просмотрел, материала много, изучать их хватит надолго мне.
    [ Ответить ]


    ( Ответить )

    Powered by Zope  Squishdot Powered MedLink
    Посетитель: 0400242
      "По форме правильно, а по существу - издевательство" В.И.Ленин
    ©2001-2019Orthoforum Coordinator.
    [ Главная | Отправить сообщение | Поиск | Админ ]