AOTRAUMA.ORG Центр Илизарова  

Ортопедия и травматология Общие вопросы/General questions Help Информационные технологии в медицине
 вверх
 отправить
 поиск
 админ
 главная


Деформация стопы
Ортопедия и травматология Отправлено Константин И. Пиастопуло 30 Январь 2004, 12:25
12344
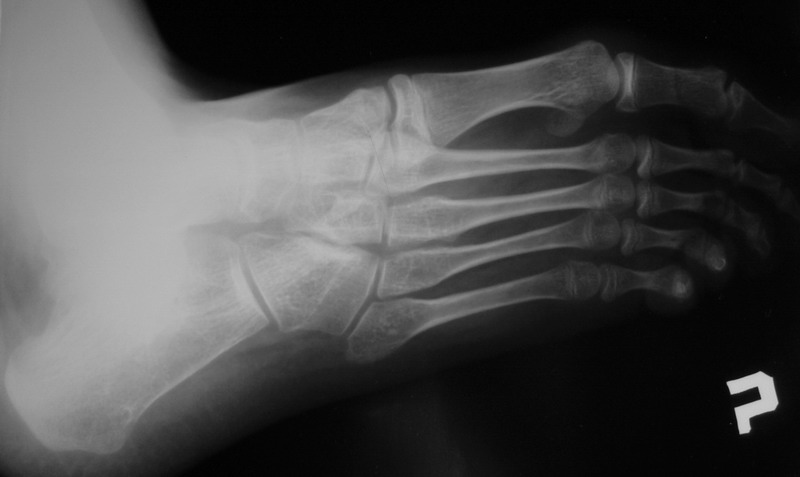
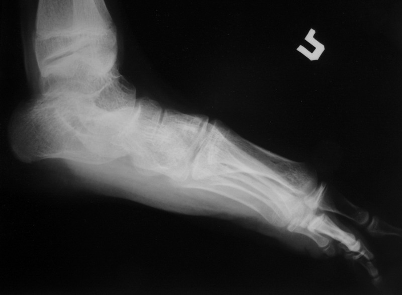
Пациент 15 л., болезнь Литтля, спастический нижний парапарез, интеллект высокий. Ребенок настроен на активный образ жизни. С недавнего времени начал ходить без дополнительной опоры. Появилась проблема с левой стопой - во время ходьбы опора приходится на смещенную кнутри таранную кость.
Может образоваться болезненный натоптыш или язва.Общепринятой операцией является трехсуставной артроде с мобилизацией таранной кости. Выполнять такую операцию у спастика и в раннем возрасте проблематично. Родстьвенники тем более готовы материально и морально осуществить хирургическое лечение за рубежом, если оно показано и возможно.Предпочтительно в Австрии и Германии. Если кто-то посоветует координаты таких клиник - были бы признательны.

<  |  >

 

  • Сообщения о Ортопедия и травматология
  • Также Константин И. Пиастопуло
  • Связаться с автором
  • Ответить

    Re: Деформация стопы
    Андрей Владимирович Пчеляков 31 Январь 2004, 19:32
    Уважаемый Константин,

    Это типичная проблема со стопами у больных спастическим церебральным параличом. У Вашего пациента ситуация несколько запущена. Но решать её надо.
    Стандартным хирургическим вмешательством в таком случае действительно является костнопластический корригирующий трёхсуставной артродез, вероятно с мягкотканным компонентом (эквинус). Такие операции без риска нарушения роста стопы можно выполнять с 12-летнего возраста. Так, что у Вашего пациента никакой опасности нет. Делать это можно где угодно по желанию родителей. Но, может быть не кидаться сразу за границу. У нас специалисты не хуже (а, может быть и лучше). Это и институт Турнера под С-Пб, и 18-я неврологическая больница в Москве (А.М.Журавлёв). Делаем такие операции и мы. Важный момент: после операции необходим полноценный специальный курс реабилитационного лечения, ортопедические пособия и наблюдение.

    С уважением,
    Пчеляков Андрей Владимирович,
    Кафедра ортопедии и травматологии Одесского госмедуниверситета, Одесский центр реабилитации детей-инвалидов, Одесса, Украина
    [ Ответить ]

    Re: Деформация стопы
    Пулатов А.Р. 03 Февраль 2004, 10:23
    В приводимом случае, 15 летнему больному показан 3-суставной артродез. Однако считаю нецелесообразным существенно менять конфигурацию стопы, поскольку плоско-вальгусные деформации стоп это компенсаторный ответ на сгибательно-приводящие установки нижних конечностей. Изменение положения стоп(коррекция пронации) может нарушить сложившийся стереотип ходьбы, и ухудшить ситуацию.

    С уважением Пулатов А.
    [ Ответить ]

    Re: Деформация стопы
    Михаил Клейнер 14 Февраль 2004, 09:22
    Завтра направлю проф. Майеру.

    Совершенно согласен с коллегой Пчеляковым в том стысле, что после операции необходима высокопрофессиональная реабилитация.
    Этот вопрос уже решен. После операции направим в специализированный реабилитационный ортопедический центр, как минимум на три недели, а лучше на шесть.

    На неделе обсчитаем, сколько может стоить.

    Совершенно не согласен с Пчеляковым "... не кидаться сразу за границу. У нас специалисты не хуже." Специалисты-то не хуже с этим никто не спорит, а выхаживать кто будет и в каких условиях?

    Так что, если есть возможность, пусть приезжают. Если надо, можем провести видеоконференцию, показать ребенка профессору заранее. Только это в том случае, если они твердо решать приехать.

    Михаил
    [ Ответить ]

    Re: Деформация стопы
    Михаил Клейнер 20 Февраль 2004, 16:34
    Только что получил по телефону ответиз клиники:

    Мальчика можно и нужно оперировать. В настоящее время в клинике находятся 2 подобный случая из Румынии. Один из них тяжелее, другой почти такой же.

    Тоный план операции моджет быть составлен только после дообследования в клинике.
    На сегодня (поприсланным материалам) возможны два варианта: одномоментная операция или две операции с небольшим разрывом.
    Общая длительность пребывания в клинике 2-3 недели.
    При необходимости проведения двух операций, разрыв между ними 3-4 дня.
    Возможная общая стоимость лечения (пребывание в стационаре, обследование, наркоз, операции, послеоперационное лечение в стационаре) может стоставить 12000 ЕВРО.
    Обязательным после хирургического лечения является высококвалифицированная реабилитация.
    Мы имеем договоренность со специализированным реабилитационным центром Asklepios Klinik о приеме данного пациента.
    Длительность реабилитации минимум 4 недели.
    Стоимость 3500 Евро.
    Стоимость пребывания сопровождающего родственика в намере совместно с пациентом на полном пансеоне 1500 ЕВРО.
    (Можно конечно проводить реабилитацию и дома, но это уже на страх и риск родственников. Могу только сказать, что в таких случаях реабилитация имеет значение не меньшее чем операция. При неправильной реабилитации все усилия врачей, родственников и пациента пойдут насмарку).
    Трансфер и работу переводчика обговорим в рабочем порядке.

    По существующим правилам, обследование и лечение возможны только после 100% предоплаты (16000 ЕВРО).
    В данном случае (нет опасности для жизни пациента) предоплата возможна как в виде 100% перечисления, так и в виде перечисления 25% (4000 ЕВРО) с последующей доплатой наличными по прибытии.
    После лечения неистраченные средства возвращаются плательщику. В случае согласия родственников на наше предложение, мы готовы обсудить все детали и выслать догор и счет для предоплаты.
    Прошу Вас обязательно подтвердить получение этого письма и сообщить нам о принятом родственниками решении.

    С уважением и наилучшими пожеланиями

    Michael R. Kleiner
    it.medic AG, Regensburg,
    Germany
    [ Ответить ]

    Re: Деформация стопы
    Пулатов А.Р. 22 Февраль 2004, 19:19
    Не все больные, с такими проблемами лечатся за рубежом, интересно было бы узнать мнения коллег по тактике ведения таких больных.
    С уважением Пулатов А.Р.
    Уральский НИИТО, детское ортопедическое отделение
    [ Ответить ]

    Re: Деформация стопы
    Gregor Schönecker 24 Февраль 2004, 09:10
    sorry for the late answer.

    there are two different options:
    1. in spastic flat foot deformity which is not fixed but passively stretchable in a normal position it´s possible to perform the calcaneal lengthening (Evans)
    2. in fixed spastic flat foot in adolescent and adults you have to perform the correctice triple arthrodesis.

    these are in short terms the two surgical procedures which i perform very often because cerebral palsy and the developing problems in cp are one of my favourites.

    best regards

    Dr.med.Gregor Schönecker
    Spezielle Orthopädische Chirurgie
    Kinderorthopädie/Kindertraumatologie
    Orthopädische Universitätsklinik Regensburg
    Kaiser-Karl-V.-Allee 3
    D - 93077 Bad Abbach
    Deutschland

    [ Ответить ]

    • Re: Деформация стопы
      Отправитель: Mark Eidelman 28 Февраль 2004, 23:37
      This is typical deformity for spastic diplegia in CP .In 15 years old boy the best option is tripple arthrodesis .
      Best regards.
      Mark Eidelman M.D.
      Rambam Medical Center.
      Haifa.
      Israel.

      [ Ответить ]

     

    ( Ответить )

    Powered by Zope  Squishdot Powered MedLink
    Посетитель: 0000072
      "По форме правильно, а по существу - издевательство" В.И.Ленин
    ©2001-2019Orthoforum Coordinator.
    [ Главная | Отправить сообщение | Поиск | Админ ]