ВХОД ДЛЯ ПАЦИЕНТОВ
вверх
поиск
админ
главная
|
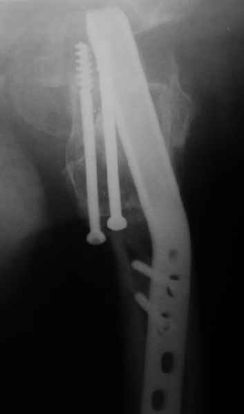
Клинковая пластина вырезалась |
 |
 |
 |
Прислано Alexander Chelnokov 18 Февраль 2004, 19:43
из
Мужчину 56 лет оперировали у нас в августе 2003 г. - вальгизируюшая остеотомия из-за позднего (через 2 мес. после травмы) поступления с переломом шейки бедра (картинки 1,2). Курильщик, соматической патологии не было. Сейчас поступил с жалобами на проблемы в области тазобедренного сустава, на снимках 3,4 видно вырезывание клинка.
Чтоб можно посоветовать в этой ситуации? Заранее спасибо.
A male 56 years old was operated in Aug 2003 - valgus osteotomy performed because of delayed admission with neck fracture (2 months) images 1,2. Smoker, no other major medical problem.
Now he re-admitted with the images 3,4.
What would you do in the situation?
THX in advance.
Обратите внимание: Поля с жирными названиями обязательны.
Старайтесь отвечать в рамках обсуждаемой темы, а не начинать новые обсуждения.
Указывайте адекватную тему сообщения, чтобы было ясно, о чем оно.
Не послайте сообщений не по теме (оффтопик), раздраженных, грубых или обидных комментариев. Здесь это неуместно.
|