AOTRAUMA.ORG Центр Илизарова  

Ортопедия и травматология Общие вопросы/General questions Help Информационные технологии в медицине
 вверх
 отправить
 поиск
 админ
 главная


АНГБ
Ортопедия и травматология Отправлено Алишер Хамраев 13 Март 2004, 23:01
12
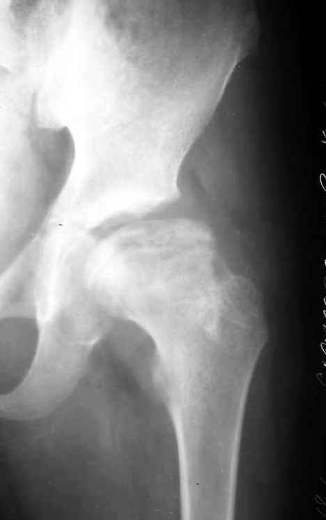
Мальчик 12 лет. Год назад по поводу асептического некроза, в субкапитальную область пересадил аутокостный трансплантат, взятый из Spina iliaca an.sup., на мышечной ножке m.sartorius.
На данный момент движения в суставе в полном объеме и без болезненны, ходит с помощью одного костыля, хотя, может спокойно передвигаться и без дополнительной опоры. Учитывая дисплазию, рекомендовал один костыль пока не бросать. Конечно, чем дольше он будет ходить на костылях, тем лучше для сустава, но ему всего 12, и он как все нормальные дети хочет бегать, прыгать, играть в футбол.Посоветуйте, пожалуйста, как быть?Заранее благодарю, Алишер.

<  |  >

 

  • Сообщения о Ортопедия и травматология
  • Также Алишер Хамраев
  • Связаться с автором
  • Ответить

    Re: АНГБ
    В.С.Яковлев 13 Март 2004, 23:10
    Уважаемый Алишер!

    Учитывая годичный срок с момента выполнения костной пластики на мышечной ножке, считаю возможным разрешить ходьбу без костыля.
    Исключить большие физические нагрузки.
    Показан клинико-рентгенологический контроль в динамике.

    Заведующий кафедрой травматологии, ортопедии и ВПХ ДВГМУ (Хабаровск)

    доцент В.С.Яковлев
    [ Ответить ]

    Re: АНГБ
    Ильдар Фуатович Ахтямов 17 Март 2004, 08:18
    Уважаемый Алишер!
    На представленной рентгенограмме (лев. сустав) типичная картина последствия болезни Пертеса с уменьшенной высотой эпифиза. Процесс завершился и нет необходимости в дальнейшем использовании доп. средств опоры. Выраженных дспластических явлений нет. Позвольте пациенту жить без особых ограничений, но ежегодно проводите контрольный осмотр. АИФ.
    [ Ответить ]


    ( Ответить )

    Powered by Zope  Squishdot Powered MedLink
    Посетитель: 0000015
      "По форме правильно, а по существу - издевательство" В.И.Ленин
    ©2001-2019Orthoforum Coordinator.
    [ Главная | Отправить сообщение | Поиск | Админ ]