AOTRAUMA.ORG Центр Илизарова  

Ортопедия и травматология Общие вопросы/General questions Help Информационные технологии в медицине
 вверх
 отправить
 поиск
 админ
 главная


ОСТЕОЛИЗ ?
Ортопедия и травматология Отправлено Владимир Святенко 16 Апрель 2004, 17:17
123456
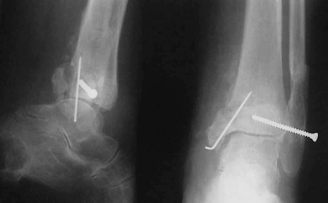
Больная 1936 г.,травма 15 ноября 2003,закрытый трехлодыжечный перелом г/стопного сустава, сахарный диабет.
При поступлении - закрытая репозиция, повторная в связи с большим отеком через неделю, подготовлена к остеосинтезу в первых числах декабря. Заживление без осложнений. Циркулярный гипс - 7 недель, снят,часть спиц удалено 20 февраля т.к.пальпировались под кожей, постепенная нагрузка, проблем нет до середины апреля когда появильсь боли с мед. стороны сустава и локалная гиперемия ( трактовалась как флеботромбоз). Повторное поступление 15 апреля - усиление болей,пов. температура, локально выраженная гиперемия.Локально выделений нет. На RTG - деструкция в области мед лодыжки и заднего края. Сахар крови умеренно повышен. Как трактовать проблему, какой диагноз и тактика лечения? Заранее спасибо, Владимир.

<  |  >

 

  • Сообщения о Ортопедия и травматология
  • Также Владимир Святенко
  • Связаться с автором
  • Файл-вложение
  • Кликните для загрузки файла image.ldf
    103KB (106362 bytes)

  • Ответить

    Re: ОСТЕОЛИЗ ?
    Alexander Chelnokov 16 Апрель 2004, 18:14
    Не обнаружил программы для просмотра изображений в формате ldf.
    [ Ответить ]

    ОСТЕОЛИЗ ?
    Владимир Святенко 16 Апрель 2004, 18:30
    Не знал как создать коллаж, а программа - IrfanView.
    Попробую еще раз.
    Кликните для загрузки файла 1.jpg
    26KB (26831 bytes)

    [ Ответить ]

    Re: ОСТЕОЛИЗ ?
    Андрей 16 Апрель 2004, 23:39
    Вложенные файлы можно просмотреть в ACDsee.
    А касательно больной - мне кажется, нужно провести
    курс антибиотико- и противовоспалительной терапии, а
    по стихании локального воспаления - артродез аппаратом внешней фиксации.
    С уважением - Андрей.
    [ Ответить ]

    Re: ОСТЕОЛИЗ ?
    Kasperovich Mikhail 19 Апрель 2004, 19:16
    Случай на мой взгляд очень интересный.
    Я бы проблему трактовал как изначально нестабильный и нефункциональный остеосинтез с длительной иммобилизацией у больной с сахарным диабетом, ангиопатией и остеопорозом.
    Диагноз я бы поставил: неправильно срастающийся перелом обеих лодыжек и заднего края ББК. Ложный сустав мед. лодыжки? Хронический вялотекущий остеоимиелит голеностопа. Сопутствующий - СД, диабетическая ангиопатия 2.
    Лечение: цефалоспорины, коррекция СД, коррекция сахаров, сосудистые. Артродез в перспективе. Если залезть в сустав сейчас, то будет яркий и хороший остеомиелит со всеми вытекающими последствиями.

    Вопрос. Что с формулой крови?
    А почему изначально не сделали хоть по Веберу? В чём смысл 6-ти скусанных спиц? И для чего ввинтили несоответствующий методике шуруп в нижнюю треть остеопорозной, практически отсутствующей лодыжки?
    [ Ответить ]

    • Re: ОСТЕОЛИЗ ?
      Отправитель: Владимир Святенко 20 Апрель 2004, 13:00
      Формула - небольшой лейкоцитоз и РОЭ 32.
      Ретроспективно, на Ваш взгляд, что изменилось бы при остеосинтезе более массивными имплантами?(выбор в пользу спиц как раз и был из-за минимального объема оставляемых имплантов) Иммобилизация 7 недель это очень длительно? Результат на 4 RTG - в чем нефункциональность? - согласен, что репозиция заднего края не была достигнута. Какие признаки ложного сустава мед. лодыжки ?
      Спасибо, Владимир.

      [ Ответить ]
      • Re: ОСТЕОЛИЗ ?
        Отправитель: Kasperovich Michail 20 Апрель 2004, 22:31
        Уважаемый Владимир. Нестабильность и нефункциональность, как мне видится по снимочкам, была изначально,об этом ниже В чём вы видите массивность третьтрубчатой, например титановой 1.5 мм пластины? Ими оперируют во всём мире и получают хорошие результаты, а почему у нас это массивно мне непонятно.Спицевая "тюрьма" хороший способ, но только для временной интраоперационной фиксации, хотя лично я редко пользуюсь, на то есть костодержатели для малых фрагментов и репонирующие винты. Кстати в данном случае, при её остеопорозе лучше было бы поставить LCP (опуская финансовую сторону вопроса, в теории). А вот функциональность - при правильном подборе и установке металлоконструкций пациент нуждается в иммобилизации на срок заживления швов, а уж потом ходьба без нагрузки на оперированную конечность 6 недель - (базовый курс АО). Ретроспективно, как мне видится, при хорошей репозиции и фиксации всё бы консолидировалось, хотя на всё воля божья, но по крайней мере не нужно было бы удалять железки. Иногда ставишь всё как мама родила, а потом очень плохие последствия. Признаки ложного (?) я вижу на снимках,хотя это может быть и банальное отсутствие консолидации за столь длительный срок, что само по себе я бы расценил как ложный сустав. А что Вы сами думаете по этому поводу? И как планируете артродезировать? (если планируете). Мне кажется, самое обидное то, что и эндопротез голеностопного поставить там просто некуда. Я бы думал об очень сомнительном прогнозе.

        С Уважением, Касперович Михаил

        [ Ответить ]
    Re: ОСТЕОЛИЗ ?
    Kasperovich Michail 19 Апрель 2004, 23:46
    Кстати в Питере при таких переломах накладывают скелетку на 5-6 дней, проводят коррегирующую терапию, а уж потом, после снятия отёка и снижения сахаров оперируют. ЗРР не делают, т.к. отрепонировать такой перелом хорошо почти нереально.

    Теперь в суставе делать уже нечего...и артродез, а точнее его эффективность сомнителен, всё может развалиться и нагноится. У меня был подобный случай в 2003 году. Прогноз изначально был плохой т.к. больной асоциальный, а от скелетного он отказался категорически..

    С Уважением, Касперович Михаил
    [ Ответить ]

    Re: ОСТЕОЛИЗ ?
    Alexander Chelnokov 21 Апрель 2004, 16:51
    На остеомиелит/гнойный артрит не очень похоже, больше на трофические расстройства. Попробовать бы что-то из нестероидных противовоспалительных. Конечно, еще и на фоне коррекции гликемии.
    По стихании обострения - артродез голеностопного сустава был бы окончательной операций, обеспечивающей опорную и безболезненную конечность. Мы бы сделали L-образным доступом параллельно переднему контуру наружной лодыжки с уходом кзади, с пересечением малоберцовой кости вверху раны и отворотом единого кожно-костного лоскута, с последующей продольной остеотомией малоберцовой кости для обнажения губчатой кости; такой доступ дает очень хороший обзор суставных поверхностей таранной и большеберцовой костей для сятия хрящевого покрова. Фиксация аппаратом из двух опор - по паре спиц в таранной и
    большеберцовой костях, наружную лодыжку прижать спицей с упором (лучше в виде петли) к продольному пазу, сформированному по латеральной поверхности сочленяющихся костей.
    [ Ответить ]


    ( Ответить )

    Powered by Zope  Squishdot Powered MedLink
    Посетитель: 0000047
      "По форме правильно, а по существу - издевательство" В.И.Ленин
    ©2001-2019Orthoforum Coordinator.
    [ Главная | Отправить сообщение | Поиск | Админ ]