AOTRAUMA.ORG Центр Илизарова  

Ортопедия и травматология Общие вопросы/General questions Help Информационные технологии в медицине
 ВХОД ДЛЯ ПАЦИЕНТОВ
 вверх
 поиск
 админ
 главная


Перелом около протеза
Ортопедия и травматология Прислано Alexander Chelnokov 27 Май 2004, 17:08
из
1 2
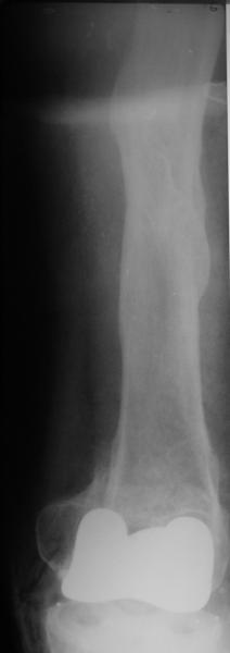
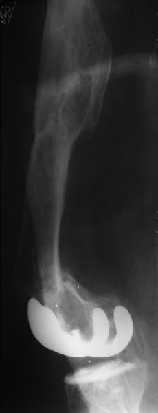
Глубокоуважаемые коллеги, Мужчина 41 года поступил с повторным (предыдущий в 2001 г.) переломом (3-недельной давности) над протезом коленного сустава.
В 1994 множественная травма, в том числе открытый перелом надколенника, осложнившийся гнойным артритом, и на этой же стороне перелом диафиза бедра (лечили в аппарате). В 1998 г. выполнено эндопротезирование коленного сустава. Предыдущий перелом (3 года назад) лечили консервативно, сросся при неустраненном смещении дистального блока бедра кзади ~ на 1 см. Амплитуда движений в коленном суставе перед последним переломом была ~90 градусов. Ходил без дополнительной опоры. Снимки в приложении. Какие будут предложения по поводу оперативного лечения в нынешней ситуации? У нас споры между ретро- и антеградным закрытым интрамедуллярным остеосинтезом.
A male 41 years old transferred to our unit with 3 week old femoral fracture near the knee prosthesis after a mimimal fall. In 1994 he sustained multiple injury with open patella fracture (complicated with septic arthritis), and ipsilateral femoral shaft fracture treated by ex-fix. TKA performed in 1998. In 2001 he got a periprosthetic fracture which was treated nonoperatively and healed with ~1 cm dorsal displacement of the distal femoral block. Knee ROM prior the recent injury was about 90-95 degrees. He didn't use walking aid. Images attached. I request your suggestions regarding surgical options in the situation? We mostly discuss ante- vs retrograde closed nailing.

Послать ответ

Имя
Email
Уведомление Сообщить мне по e-mail об ответах на это сообщение
Название
Комментарий
(Проверьте URL! Не забудьте написать http://!)
Кодировка
Если не знаете, что выбрать, выберите "Просто текст"!
Приложение
Можно приложить к сообщению файл c изображением, который затем будет доступен увидевшим сообщение.
Подготовка иллюстраций:
  • Рентгенограммы: черно-белые полутоновые изображения в формате JPEG (8 bit, greyscale) с разрешением от 300х200 до 1024х768 пикселов;
  • Клинические фотографии: полноцветные изображения в формате JPEG (24 bit, truecolor) с разрешением от 300х200 до 1024х768 пикселов;
  • Схемы и рисунки: черно-белые (2 bit) штриховые (line-art) изображения в формате GIF или compressed TIFF
  • Подберите степень сжатия файла JPEG и размер изображения таким образом, чтобы необходимые детали были различимы, но размер файла не превышал 75 кб.
  • Учтите, что текущая версия программного обеспечения Форума позволяет приложить к одному сообщению лишь один файл-вложение. Поэтому, если необходимо отправить несколько изображений, можно либо послать каждое как отдельное сообщение, либо в графическом редакторе объединить изображения в одно (сделать коллаж).
  • Если при подготовке изображений встречаются трудности, не стесняйтесь обратиться к координатору Форума.

  • Введите видимые символы в обратном порядке. Enter the above characters in reverse order (*Обязательно)
    В тексте сообщения можно использовать теги HTML <B> <I> <P> <A> <LI> <OL> <UL> <EM> <BR> <TT> <HR> <STRONG> <BLOCKQUOTE> <DIV .*> <DIV> <P .*>
  • Обратите внимание: Поля с жирными названиями обязательны.
  • Старайтесь отвечать в рамках обсуждаемой темы, а не начинать новые обсуждения.
  • Указывайте адекватную тему сообщения, чтобы было ясно, о чем оно.
  • Не послайте сообщений не по теме (оффтопик), раздраженных, грубых или обидных комментариев. Здесь это неуместно.
  • Powered by Zope  Squishdot Powered MedLink
    Посетитель: 0010362
      "По форме правильно, а по существу - издевательство" В.И.Ленин
    ©2001-2019Orthoforum Coordinator.
    [ Главная | Отправить сообщение | Поиск | Админ ]