AOTRAUMA.ORG Центр Илизарова  

Ортопедия и травматология Общие вопросы/General questions Help Информационные технологии в медицине
 ВХОД ДЛЯ ПАЦИЕНТОВ
 вверх
 поиск
 админ
 главная


Hip
Ортопедия и травматология Прислано Виталий Е. Казеннов 10 Июнь 2004, 17:43
из
1 2
Уважаемые коллеги! Какие варианты лечения, реабилитации данного больного возможны? Где возможно провести оперативное лечение?
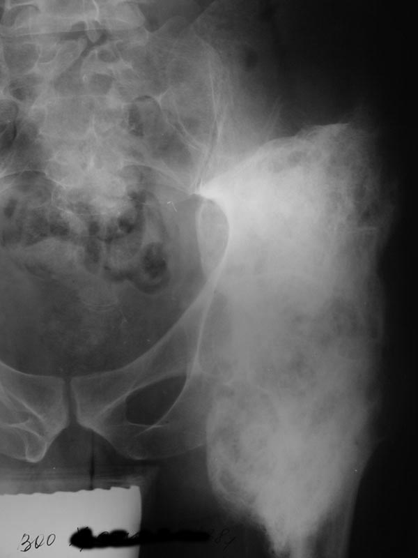
Мужчина 38 лет, Х.В.Н., диагноз: Закрытый травматический компрессионно-оскольчатый перелом L1 позвонка, вывих Тh 12, ушиб, сдавление спинного мозга, нижняя параплегия, нарушение функции тазовых органов. Операция 01.07.03: ламинэктомия Th 12-L1, задний спондилодез проволокой с протакрилом. 06.11.03 -- удаление протакрила, ламинэктомия Th 12-L1, декомпрессия спинного мозга, менингомиелолиз. У больного, как проявление нейродистрофического синдрома, сформировались грубые оссификаты вокруг обоих тазобедренных суставов с резким ограничением движений. 14.01.04 – операция иссечения переднебоковых оссификатов правого тазобедренного сустава. На операции достигнуто сгибание около 85 град. В послеоперационном периоде потеря коррекции значительна (более 50%). На сегодняшний день: Больной лежит, движения в тазобедренных суставах отсутствуют. По передней поверхности обоих суставов пальпируются плотные опухолевидные образования 6 х 8 см. На R-граммах: обширные оссификаты по передней и боковой поверхности т/бедренных суставов (см. приложенные файлы). Планируется оперативное лечение: иссечение оссификатов. Больного необходимо посадить в кресло-каталку для дальнейшей реабилитации. У кого есть предложения? Направление пациента на лечение согласовано с Министерством здравоохранения Хабаровского края, финансирование обещано. Лечащий врач Е.В.Квитченко

Послать ответ

Имя
Email
Уведомление Сообщить мне по e-mail об ответах на это сообщение
Название
Комментарий
(Проверьте URL! Не забудьте написать http://!)
Кодировка
Если не знаете, что выбрать, выберите "Просто текст"!
Приложение
Можно приложить к сообщению файл c изображением, который затем будет доступен увидевшим сообщение.
Подготовка иллюстраций:
  • Рентгенограммы: черно-белые полутоновые изображения в формате JPEG (8 bit, greyscale) с разрешением от 300х200 до 1024х768 пикселов;
  • Клинические фотографии: полноцветные изображения в формате JPEG (24 bit, truecolor) с разрешением от 300х200 до 1024х768 пикселов;
  • Схемы и рисунки: черно-белые (2 bit) штриховые (line-art) изображения в формате GIF или compressed TIFF
  • Подберите степень сжатия файла JPEG и размер изображения таким образом, чтобы необходимые детали были различимы, но размер файла не превышал 75 кб.
  • Учтите, что текущая версия программного обеспечения Форума позволяет приложить к одному сообщению лишь один файл-вложение. Поэтому, если необходимо отправить несколько изображений, можно либо послать каждое как отдельное сообщение, либо в графическом редакторе объединить изображения в одно (сделать коллаж).
  • Если при подготовке изображений встречаются трудности, не стесняйтесь обратиться к координатору Форума.

  • Введите видимые символы в обратном порядке. Enter the above characters in reverse order (*Обязательно)
    В тексте сообщения можно использовать теги HTML <B> <I> <P> <A> <LI> <OL> <UL> <EM> <BR> <TT> <HR> <STRONG> <BLOCKQUOTE> <DIV .*> <DIV> <P .*>
  • Обратите внимание: Поля с жирными названиями обязательны.
  • Старайтесь отвечать в рамках обсуждаемой темы, а не начинать новые обсуждения.
  • Указывайте адекватную тему сообщения, чтобы было ясно, о чем оно.
  • Не послайте сообщений не по теме (оффтопик), раздраженных, грубых или обидных комментариев. Здесь это неуместно.
  • Powered by Zope  Squishdot Powered MedLink
    Посетитель: 0000100
      "По форме правильно, а по существу - издевательство" В.И.Ленин
    ©2001-2019Orthoforum Coordinator.
    [ Главная | Отправить сообщение | Поиск | Админ ]