AOTRAUMA.ORG Центр Илизарова  

Ортопедия и травматология Общие вопросы/General questions Help Информационные технологии в медицине
 ВХОД ДЛЯ ПАЦИЕНТОВ
 вверх
 поиск
 админ
 главная


Прошло полгода - Re: Что делать? Гвоздь в tibia
Ортопедия и травматология Прислано Alexander Chelnokov 23 Июнь 2004, 21:26
из
Декабрь 2003 22 июня 2004
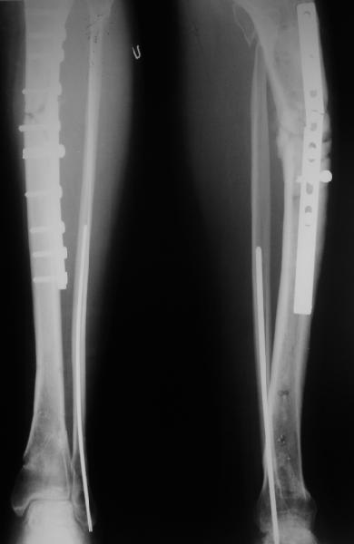
В декабре прошлого года обсуждался случай бамперного перелома голени, когда молодой женщине в одной из больниц Москвы неудачно был выполнен остеосинтез гвоздем - это обсуждение можно просмотреть здесь, снимок тогдашний прилагаю.
Предлагались разные варианты (коррекция на имеющемся фиксаторе, удаление гвоздя и остеосинтез пластиной, чрескостный остеосинтез...)
Выбран был вариант с удалением гвоздя и накостным остеосинтезом.
Прошло полгода, больная начала частично нагружать оперированную конечность, будучи в пластиковом ортезе и пользуясь 2 костылями.
Две недели назад появилась патологическая подвижность :-(
Вчера поступила к нам в отделение. Клинически определяется приличная подвижность, градусов 35 в переднезаднем направлении. На снимках еще видны фиксированная тоникм стержнем уже сросшаяся малоберцовая кость, и тоже сросшийя перелом дистального метадиафиза большеберцовой кости без признаков хирургической фиксации (?). Сегодняшний снимок также в приложении.
Планируем удаление пластинки и закрытый интрамедуллярный остеосинтез с рассверливанием.
Что скажете, коллеги? Что можно/нужно было сделать, чтобы избежать сегодняшней проблемы? Есть ли другие предложения по нынешнему плану?

Послать ответ

Имя
Email
Уведомление Сообщить мне по e-mail об ответах на это сообщение
Название
Комментарий
(Проверьте URL! Не забудьте написать http://!)
Кодировка
Если не знаете, что выбрать, выберите "Просто текст"!
Приложение
Можно приложить к сообщению файл c изображением, который затем будет доступен увидевшим сообщение.
Подготовка иллюстраций:
  • Рентгенограммы: черно-белые полутоновые изображения в формате JPEG (8 bit, greyscale) с разрешением от 300х200 до 1024х768 пикселов;
  • Клинические фотографии: полноцветные изображения в формате JPEG (24 bit, truecolor) с разрешением от 300х200 до 1024х768 пикселов;
  • Схемы и рисунки: черно-белые (2 bit) штриховые (line-art) изображения в формате GIF или compressed TIFF
  • Подберите степень сжатия файла JPEG и размер изображения таким образом, чтобы необходимые детали были различимы, но размер файла не превышал 75 кб.
  • Учтите, что текущая версия программного обеспечения Форума позволяет приложить к одному сообщению лишь один файл-вложение. Поэтому, если необходимо отправить несколько изображений, можно либо послать каждое как отдельное сообщение, либо в графическом редакторе объединить изображения в одно (сделать коллаж).
  • Если при подготовке изображений встречаются трудности, не стесняйтесь обратиться к координатору Форума.

  • Введите видимые символы в обратном порядке. Enter the above characters in reverse order (*Обязательно)
    В тексте сообщения можно использовать теги HTML <B> <I> <P> <A> <LI> <OL> <UL> <EM> <BR> <TT> <HR> <STRONG> <BLOCKQUOTE> <DIV .*> <DIV> <P .*>
  • Обратите внимание: Поля с жирными названиями обязательны.
  • Старайтесь отвечать в рамках обсуждаемой темы, а не начинать новые обсуждения.
  • Указывайте адекватную тему сообщения, чтобы было ясно, о чем оно.
  • Не послайте сообщений не по теме (оффтопик), раздраженных, грубых или обидных комментариев. Здесь это неуместно.
  • Powered by Zope  Squishdot Powered MedLink
    Посетитель: 0176588
      "По форме правильно, а по существу - издевательство" В.И.Ленин
    ©2001-2019Orthoforum Coordinator.
    [ Главная | Отправить сообщение | Поиск | Админ ]