AOTRAUMA.ORG Центр Илизарова  

Ортопедия и травматология Общие вопросы/General questions Help Информационные технологии в медицине
 ВХОД ДЛЯ ПАЦИЕНТОВ
 вверх
 поиск
 админ
 главная
 исходное
 последующие


Re: Acetabular fracture
послал Evgueny Tschekashkin 05 Сентябрь 2004, 21:58












Уважаемый Djoldas,

Спасибо за комментарии


> Ваш окончательный диагноз?

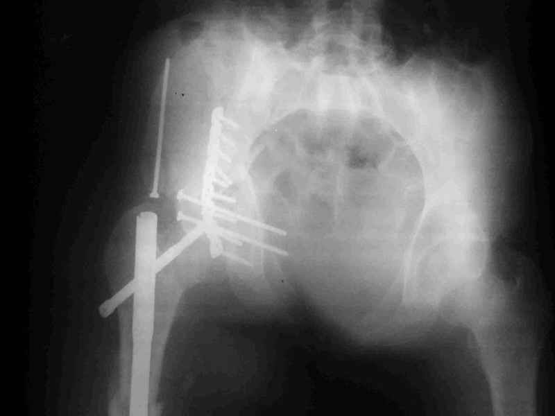
перелом крыла правой подвздошной кости, перелом обеих колонн вертлужной впадины, двусторонний перелом лонных костей (С2.2) повреждение передних связок правого крестцово-подвздошного сочленения,
ипсилатеральный перелом шейки и диафиза бедра.

> Ургентная тактика- Компьютер Томографические исследование таза и
> проксимального отдела бедра.

Инлет проекция и Кт таза были выполнены. Вот в отношении Judet views в остром периоде как то не очень лежит душа поворачивать больного

>
> Ургентно: фиксация перелома шейки и перелома бедра.

К сожалению, набора для ретроградного или антеградного реконструктивного штифтования в операционной нет, поэтому доставка заняла н-ное время. Вопрос, который возник у меня- по поводу оптимальной тактики хирургии: вся фиксация в один этап из расширенного доступа или последовательно сначала бедро и позже реконструкция впадины, комбинированный доступ к впадине отдельно к передней и задней колоннам или из расширенного илеофеморального одного доступа. Все-таки решил остановиться на одноэтапном подходе и спустя 5 дней (как раз и наборы привезли) из расширенного илеофеморального доступа сначала фиксировал реконструктивным штифтом Smith&Nephews бедро и
шейку (благо перелом шейки 2 типа -относительно стабильный) затем фрагмент крыла подвздошной кости Lag screw, далее пластина на заднюю колонну и винты в переднюю колонну.(с размерами и направлением винтов ошибка вышла:-((, но интраоперационно у меня была полная уверенность , что винты *ушли* в лонную кость).


>
> Что фиксировать первым в Ipsilateral Femoral and Neck fractures, это
> часто задаваемый вопрос на экзамене в American Board of Orthopedic
> Surgery и правильный ответ: фиксация шейки затем бедро.

Вопрос интересный, но практически закрытая репозиция нестабильного перелома шейки бедра при нефиксированном диафизарном переломе представляется мне сложным делом, ведь необходимая дистракция и ротационный маневр, прежде всего прикладываются к диафизарному перелому. С открытой техникой это проще, но каков принципиальный момент в подходе, требуемом американским бордом?
Ведь очевидно, что фиксация ипсилатеральных переломов осуществляется в один этап и второй момент в том, что все разнообразие реконструктивных штифтов предназначенных для фиксации ипсилатеральных переломов основано на фиксации диафиза и потом через направитель проводится винт в шейку и не наоборот?
Хотя если рассматривать поэтапный подход, то безусловно шейка фиксируется в первую очередь(если состяние больного не позволяет выполнить все одномоментно.)
>
> Сакро-илиак разрыв рекомендуется фиксация cannulated screws, или если
> разрыв небольшой

Учитывая, что только передний связочный комплекс был поврежден( по данным КТ),поэтому от фиксации винтами я воздержался.

>
> В зависимости от оснащения и опыта,

И первое и второе, пока в стадии равзития (свой тазовый набор госпиталь не покупает, предпочитая каждый раз заказывать из Joburga), опыт тоже постепенно появляется.

> Конечно без сомнения случай очень тяжелый и желаю успеха, если туго с
> имплантами сообщи.
>
>
Еще раз спасибо за комментарии и готовность помочь с имплантами. Постоп картинки в приложении,

С наилучшими пожеланиями,
Евгений Чекашкин
Послать ответ

Имя
Email
Уведомление Сообщить мне по e-mail об ответах на это сообщение
Название
Комментарий
(Проверьте URL! Не забудьте написать http://!)
Кодировка
Если не знаете, что выбрать, выберите "Просто текст"!
Приложение
Можно приложить к сообщению файл c изображением, который затем будет доступен увидевшим сообщение.
Подготовка иллюстраций:
  • Рентгенограммы: черно-белые полутоновые изображения в формате JPEG (8 bit, greyscale) с разрешением от 300х200 до 1024х768 пикселов;
  • Клинические фотографии: полноцветные изображения в формате JPEG (24 bit, truecolor) с разрешением от 300х200 до 1024х768 пикселов;
  • Схемы и рисунки: черно-белые (2 bit) штриховые (line-art) изображения в формате GIF или compressed TIFF
  • Подберите степень сжатия файла JPEG и размер изображения таким образом, чтобы необходимые детали были различимы, но размер файла не превышал 75 кб.
  • Учтите, что текущая версия программного обеспечения Форума позволяет приложить к одному сообщению лишь один файл-вложение. Поэтому, если необходимо отправить несколько изображений, можно либо послать каждое как отдельное сообщение, либо в графическом редакторе объединить изображения в одно (сделать коллаж).
  • Если при подготовке изображений встречаются трудности, не стесняйтесь обратиться к координатору Форума.

  • Введите видимые символы в обратном порядке. Enter the above characters in reverse order (*Обязательно)
    В тексте сообщения можно использовать теги HTML <B> <I> <P> <A> <LI> <OL> <UL> <EM> <BR> <TT> <HR> <STRONG> <BLOCKQUOTE> <DIV .*> <DIV> <P .*>
  • Обратите внимание: Поля с жирными названиями обязательны.
  • Старайтесь отвечать в рамках обсуждаемой темы, а не начинать новые обсуждения.
  • Указывайте адекватную тему сообщения, чтобы было ясно, о чем оно.
  • Не послайте сообщений не по теме (оффтопик), раздраженных, грубых или обидных комментариев. Здесь это неуместно.
  • Powered by Zope  Squishdot Powered MedLink
    Посетитель: 0050276
      "По форме правильно, а по существу - издевательство" В.И.Ленин
    ©2001-2019Orthoforum Coordinator.
    [ Главная | Отправить сообщение | Поиск | Админ ]