AOTRAUMA.ORG Центр Илизарова  

Ортопедия и травматология Общие вопросы/General questions Help Информационные технологии в медицине
 вверх
 отправить
 поиск
 админ
 главная
 Предыдущее


Re: Open supracondylar femur fx
Alexander Chelnokov 31 Октябрь 2004, 11:58
Antegrade closed locked nailing works very fine for such a fracture pattern in our settings. Same must be about retrograde. Maybe after a period of ex-fix and soft tissue healing - depends on the wound condition and local protocols.
Dear colleagues who prefer LISS or other plate for the case - why?
  • Сообщения о Ортопедия и травматология
  • Также Alexander Chelnokov
  • Связаться с автором
  • Ответить

    Re: Open supracondylar femur fx
    Frederic B. Wilson, M.D. 31 Октябрь 2004, 12:01
    Alex,

    Re LISS: Easier. Less difficulty with controlling the intercondylar segment.
    No further damage to the knee joint (retrograde). No involvement of the hip area (antegrade). Better options for controlling Varus/valgus, procurvatum/recurvatum at the fracture with this segmental defect.

    FredFrederic B. Wilson, M.D.
    Trauma & Adult Reconstruction
    ETMC First Physicians - Orthopaedic Trauma
    700 Olympic Plaza Circle, Suite 510
    Tyler, TX, 75701
    [ Ответить ]

    • Re: Open supracondylar femur fx
      Отправитель: Alexander Chelnokov 31 Октябрь 2004, 12:05
      FBWMD> Re LISS: Easier.

      AFAIR there are specific pitfalls of the technique.

      FBWMD> Less difficulty with controlling the intercondylar segment.

      Temporary wires solve the problem.

      FBWMD> No further damage to the knee joint (retrograde).

      Do you really mean tissue dissection needed for the plate placement provides no further damage of the joint and periarticular structures?

      FBWMD> No involvement of the hip area (antegrade).

      This hardly ever is of great importance for a case like this. BTW modern nail design for lateral insertion minimizes the involvement.

      FBWMD> Better options for controlling Varus/valgus,
      FBWMD> procurvatum/recurvatum at the fracture with this segmental defect.

      Using of some wires secured to the Ilizarov ring or arc provides any needed control.

      Dynamization can also be a useful option.

      [ Ответить ]
      • Re: Open supracondylar femur fx
        Отправитель: Terry Finlayson 02 Ноябрь 2004, 01:11
        I would make a strong argument that lateral soft tissue dissection for plate placement (especially since debridement of open fracture is necessary anyway) is much less damaging to the articular surface than a retrograde nail.

        Also, even though antegrade nailing is possible, all the discussion about using Ilizarov wires, rings and/or arcs takes this method from the realm of straightforward to the complex IMHO.

        I think retrograde IM nail is a good option, but one needs to be sure that the fracture is out to length with this comminuted metaphysis.
        I have used 95 degree blade plates, condylar screws w/ side plate, supracondylar nails, long retrograde IM nails and now, more recently the locking anatomic plates. The locking plate technology is a big step forward in my hands to achieve better reduction and more stable fixation
        while preserving blood supply in these fractures.

        Terry I. Finlayson, M.D.
        Logan, UT USA

        [ Ответить ]
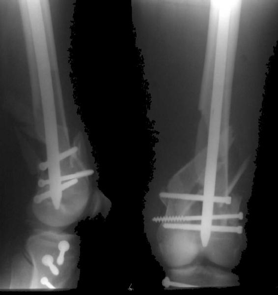
    Re: Open supracondylar femur fx
    Zsolt Balogh 31 Октябрь 2004, 12:13
    Dear Alex,
    This is what we have done... As generally true for LISS look at the bone not the hardware.
    There are two more srews above. The one not completely in got damaged head.

    Zsolt














    [ Ответить ]

    • Re: Open supracondylar femur fx
      Отправитель: Alexander Chelnokov 31 Октябрь 2004, 20:44

















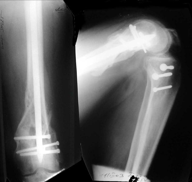
      And why LISS is superior here than nail?
      Look what we would have done.


      [ Ответить ]
      • Re: Open supracondylar femur fx
        Отправитель: Zsolt Balogh 31 Октябрь 2004, 20:46
        I would not say that the LISS is superior to the nail. If I would, I had not post original mail. I wanted to generate discussion. Your option is a very viable one. I feel a little bit shaky the distal femur, but it is just gut feeling no science behind it. Any way nice fixation, congarts!

        Best regards,

        Zsolt

        [ Ответить ]
        • Re: Open supracondylar femur fx
          Отправитель: Alexander Chelnokov 31 Октябрь 2004, 20:55
          ZB> would, I had not post mail original mail. I wanted to generate
          ZB> discussion.

          Hope it will be.

          ZB> Your option is a very viable one. I feel a little bit shaky
          ZB> the distal femur, but it is just gut feeling no science behind it.

          What do you mean?

          ZB> Any way nice fixation, congarts!

          Same to you ;-))
          I presented the series at EuroTrauma in May. The "Distal Femur" section of the meeting was very interesting.

          [ Ответить ]

     

    ( Ответить )

    Powered by Zope  Squishdot Powered MedLink
    Посетитель: 0313602
      "По форме правильно, а по существу - издевательство" В.И.Ленин
    ©2001-2019Orthoforum Coordinator.
    [ Главная | Отправить сообщение | Поиск | Админ ]