AOTRAUMA.ORG Центр Илизарова  

Ортопедия и травматология Общие вопросы/General questions Help Информационные технологии в медицине
 ВХОД ДЛЯ ПАЦИЕНТОВ
 вверх
 поиск
 админ
 главная
 исходное


Re: Hip joint
послал Djoldas Kuldjanov 18 Ноябрь 2004, 00:16












































Со всеми рекомендациями согласен, и по этой схеме хотели продолжить наше обследование, но учитывая то, что вывих не смогли вправить, решение приняли - ургентно оперерировать.

Утро:
5:10 Поступил больной в приемное отделение, врачами приемного назначается рентгенограмма.

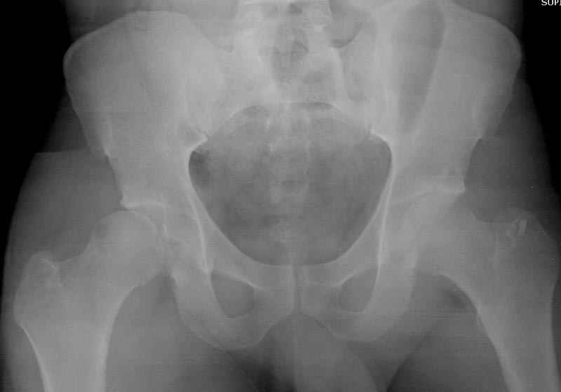
5:24 Рентгенограмма таза, вызывают врача ортопеда (снимок N1), его диагноз: закрытый переломо-вывих правого тазабедренного сустава, получает добро на закрытую репозицию в приемном отделении

5:38 Дважды неудачная попытка закрытой репозиции в приемном отделении
N 2

6:20 ответстенный врач принимает решение о репозиции в условиях операционной, предупреждаются родственники и больной, что при неудачной закрытой репозиции, о возможности открытой репозиции и фиксации задней стенки вертлужной впадины.

7:30 начало операции, больной на спине, попытка репозиции после анестезии N3, укладка больного на боку, доступ Kocher- Langenbeck, состояние седалищнего нерва около 2.5см кровоподтек, через joistick головка бедра приподнята, освобовождение сустава, фрагмент заднего края более 3х4 см репонирован на свое место. После промывания
сустава, репозиция вывиха (N4), фиксация фрагмента 2.7(4) мм шурупами и допольнительно реконструктивной пластиной на 8 дырок, фиксация 3.5мм шурупами проксимально и дистально.
Интраоперционные N5 косая запирательная и N6 подвздошный снимок

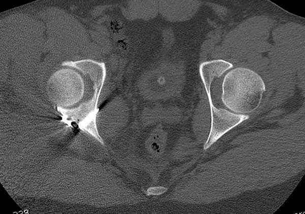
11:50 больной в послеоперационной, рентгенограмма N7, компьютерная томограмма в тот же день N8-10

Через 48 часов первая перевязка, пареза седалищного нерва нет, удаление дренажных трубок Начало физиотерапии, движение в суставе до 30 градусов сгибания и до полного разгибания, вставание на костыли без нагрузки, назначение Indocin по 25 мг три раза в день для профилактики гетеротопической оссификации.

Третий день Послеоперационная рана сухая, назначена профилактическая доза (тромбоз) Lovenox 30 mg. Перед выпиской доплер сосудов нижных конечностей. Выписан, продолжение физиотерапии и явка на осмотр через две недели.

Джолдас Кульджанов
Послать ответ

Имя
Email
Уведомление Сообщить мне по e-mail об ответах на это сообщение
Название
Комментарий
(Проверьте URL! Не забудьте написать http://!)
Кодировка
Если не знаете, что выбрать, выберите "Просто текст"!
Приложение
Можно приложить к сообщению файл c изображением, который затем будет доступен увидевшим сообщение.
Подготовка иллюстраций:
  • Рентгенограммы: черно-белые полутоновые изображения в формате JPEG (8 bit, greyscale) с разрешением от 300х200 до 1024х768 пикселов;
  • Клинические фотографии: полноцветные изображения в формате JPEG (24 bit, truecolor) с разрешением от 300х200 до 1024х768 пикселов;
  • Схемы и рисунки: черно-белые (2 bit) штриховые (line-art) изображения в формате GIF или compressed TIFF
  • Подберите степень сжатия файла JPEG и размер изображения таким образом, чтобы необходимые детали были различимы, но размер файла не превышал 75 кб.
  • Учтите, что текущая версия программного обеспечения Форума позволяет приложить к одному сообщению лишь один файл-вложение. Поэтому, если необходимо отправить несколько изображений, можно либо послать каждое как отдельное сообщение, либо в графическом редакторе объединить изображения в одно (сделать коллаж).
  • Если при подготовке изображений встречаются трудности, не стесняйтесь обратиться к координатору Форума.

  • Введите видимые символы в обратном порядке. Enter the above characters in reverse order (*Обязательно)
    В тексте сообщения можно использовать теги HTML <B> <I> <P> <A> <LI> <OL> <UL> <EM> <BR> <TT> <HR> <STRONG> <BLOCKQUOTE> <DIV .*> <DIV> <P .*>
  • Обратите внимание: Поля с жирными названиями обязательны.
  • Старайтесь отвечать в рамках обсуждаемой темы, а не начинать новые обсуждения.
  • Указывайте адекватную тему сообщения, чтобы было ясно, о чем оно.
  • Не послайте сообщений не по теме (оффтопик), раздраженных, грубых или обидных комментариев. Здесь это неуместно.
  • Powered by Zope  Squishdot Powered MedLink
    Посетитель: 0051613
      "По форме правильно, а по существу - издевательство" В.И.Ленин
    ©2001-2019Orthoforum Coordinator.
    [ Главная | Отправить сообщение | Поиск | Админ ]