AOTRAUMA.ORG Центр Илизарова  

Ортопедия и травматология Общие вопросы/General questions Help Информационные технологии в медицине
 вверх
 отправить
 поиск
 админ
 главная


Any thoughts?
Ортопедия и травматология Отправлено William Craig 27 Ноябрь 2004, 11:49
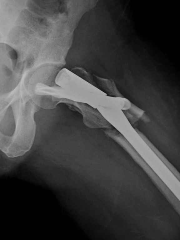
I was wondering if you could give me your thoughts on a case. 50 yo female with breast cancer who had pathologic fracture of proximal femur. Originally fixed with PFN which has broken.
Patient is a Jehovah's witness and will not take transfusions. Hgb is 8. She needs chemo for mets which are in her bladder/pelvis. How would you fix it and what would you use for bone graft? Trey

<  |  >

 

  • Сообщения о Ортопедия и травматология
  • Также William Craig
  • Связаться с автором
  • Ответить

    Re: Any thoughts?
    Bill Obremskey 27 Ноябрь 2004, 12:11
    Anyone else (not in a tryptophanic stupor) have words of wisdom for my friend?


    Tough case. It should have healed, I think it was the right implant.
    Was it in varus to start? Too much stripping w/ the reduction?; or poor protoplasm and cancer. On the lateral it looks like the piriformis starting point was reamed w/ starting point too posterior and aiming too ant. and med. This is a common problem w/ this fx and the proximal piece ends up
    flexed, ER and in varus. This may have contributed to failure, but this deformity will be the same challenge on the revision. Do you have
    initial post op xrays.

    Questions are:
    Does she and family know that she can die due to blood loss w/ this operation.
    Will she use Erythro.?

    If she wants to procede (I think it is necessary) options are:

    1) Minimalistic - leave IMN or remove proximal implant and provide some stability with 4.5 mm locked submuscular plate and bone graft w/PICBG or INFUSE (rhBMP) to decrease EBL. This may give enough stability to allow her to mobilize some with minimal blood loss and risk of loss of life. I think would have significant risk to fail, but could be done to temporize while Hct improves and then procede to #2

    2) Remove implant and replace w/ blade plate (greater blood loss) or TFN.
    With either I think it is critical to correct the deformity. In this case due to blood loss I would lean to using an IMN. I would have originally preferred a standard IMN w/ proximal locking w/ a spiral blade, but w/ GT starting point already reamed I would replace TFN and correct deformity and bone graft. I think main advantage of IMN is to decreased EBL. A blade plate will improve control of proximal fragment, but requires taking down the vastus, which can significantly increase
    EBL.
    Technique- I would do this in the lateral position with the leg draped free on a bean bag. I think it helps with the reduction of proximal piece and allows you to get PICBG if necessary. You need a good assistant on the leg.
    Remove proximal pieces, use hook or through fx site remove distal implant.
    I think you will need to improve reduction to get distal implant out.
    Put 5 mm schanz pin in proximal piece in same orientation you would place a blade plate, but start more posterior in GT so IMN will pass.
    Place deep into head to maintain control. Take down the nonunion. Use the schanz pin and clamps acrosss the nonunion to maintain reduction.
    Replace IMN and keep reduced until locked.

    If you use a blade plate, I would do w/ distal femoral traction on fx table.
    Remove implant as above, place BP in proximal fragment and use the implant to reduce to shaft. Then bone graft.

    Good luck and call me if you have any Q's

    Bill
    [ Ответить ]

    • Re: Any thoughts?
      Отправитель: Cliff Jones, M.D. 27 Ноябрь 2004, 12:17
      Bill, do you have any injury and initial fixation xr?

      [ Ответить ]
      • Re: Any thoughts?
        Отправитель: Bill Obremskey 27 Ноябрь 2004, 12:18
        I do not. Xrays just sent to me tonight.
        I think it would be helpful to understand why this failed.

        Bill

        [ Ответить ]
    Re: Any thoughts?
    Bruce Ziran 27 Ноябрь 2004, 12:16
    It would seem that she has a limited life span. She has failed ORIF once. I beleive giving her one operation that will give her quality of remaining life would be quicker, easier and even safer. Prosthetic proximal femoral replacement with monopolar. No need to do the acetabulum. I have been doing immediate arthroplasty in the very elderly and it seems to work well. I think that there will be a bridging of the gap between the traumatologist and the recon surgeon in the near future.
    Bruce Ziran
    [ Ответить ]

    • Re: Any thoughts?
      Отправитель: Andrew H. Schmidt 27 Ноябрь 2004, 12:19
      I agree with Bruce.

      A long cemented stem (with antibiotics) and a unipolar head is probably the quickest operation and would allow fairly early weight-bearing. I always offer the Cell-Saver and Epo; some Jehova's Witnesses will accept these measures and some won't.

      Of course, for pure palliation one could just do a resection arthroplasty.

      Andy Schmidt

      [ Ответить ]
    Re: Any thoughts?
    Alexander Chelnokov 27 Ноябрь 2004, 12:20
    I would replace the nail with another similar one - most powerful Gamma or TFN- the next one must have enough fatigue strength for the rest of her life span. Technically we do proximal nailing using a distractor with one wire inserted through the iliac crest and another in the distal femur. It provides reduction in valgus even with femoral adduction. To prevent extra blood loss I would push the distal part of the nail through the stab wound on the knee (maybe under tourniquet). With the distractor there is a good chance of reduction of the parts of the broken nail, so both pieces could be extracted via the proximal wound.
    [ Ответить ]

    Re: Any thoughts?
    Dr. Castro 28 Ноябрь 2004, 03:17
    Technically I'm completely Agree with Andy & Bruce, but we have to think about, may be it's better to let the patient die in peace!
    Dr. Castro


    [ Ответить ]

    • Re: Any thoughts?
      Отправитель: Andrey Kapustin 28 Ноябрь 2004, 22:29
      May be it's better, but quality of life is bad.
      Andrew Kapustin

      [ Ответить ]
    Re: Any thoughts?
    John Ruth 28 Ноябрь 2004, 10:06
    I have had a similar case in patient with breast ca. She had a broken Gamma nail. She had had radiation to the proximal femur. Did your patient have radiation? I think it is very difficult to get these to heal if they have had radiation. I treated my patient with revision to a similar implant(Zimmer ITST) and used OP-1 at the fracture site. She died about 1.5 years later from her cancer and the fracture never healed. She did not have significant pain and was ambulatory with a walker. I would advise against plate fixation as you need to protect the entire length of the bone to prevent fracture at the end of your fixation (due to another met). A revision to a hip prosthesis is a big blood loss procedure compared with revision to a new trochanteric type nail.

    John Ruth
    [ Ответить ]

    Re: Any thoughts?
    Evgueny Tschekashkin 28 Ноябрь 2004, 23:01
    I would agree with Alex - nail exchange procedure with reconstruction nail might be an option. After removal of proximal nail fragment I would separate the fragments exposing distal part of the nail and pull it out ( distal locking screw should be removed beforehand :-)
    To decrease intraop blood loss -controlled hypotension, "Cell Saver". In case if the fragment's stability won't be good enough due to bone loss in
    trochanteric area consider bone cementing instead of bone grafting.

    Regards,
    Evgueny I. Tchekashkine MD
    [ Ответить ]

    Re: Any thoughts?
    James Carr 30 Ноябрь 2004, 00:50
    I think some excellent comments have been made. I would agree with the arthroplasty, except it won't discard the proximal piece, and therefore won't solve the problem any better than a nail. I would go with an original gamma nail, and do her lateral decubitus as Bill suggested. I think that can be done in a relatively minimally invasive manner. The one thing I would do differently is add cement to the proximal femur which will provide some stability and immediate pain relief. Given she has breast cancer, her life span may be longer than predicted.

    Jim Carr

    James B. Carr, MD
    [ Ответить ]


    ( Ответить )

    Powered by Zope  Squishdot Powered MedLink
    Посетитель: 0000081
      "По форме правильно, а по существу - издевательство" В.И.Ленин
    ©2001-2019Orthoforum Coordinator.
    [ Главная | Отправить сообщение | Поиск | Админ ]