вверх
отправить
поиск
админ
главная
|
Вторичное смещение вертлужной впадины |
 |
 |
 |
Отправлено Гринь Алексей 21 Февраль 2005, 20:20 Тюмень
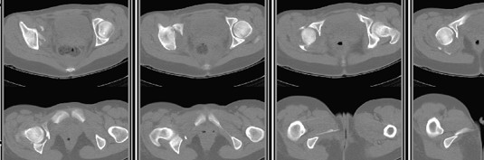
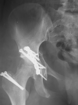
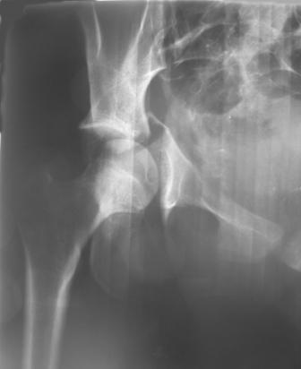
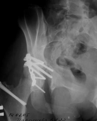
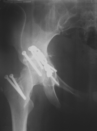
 30/11/04 |  30/11/04 |  30/11/04 |  14/12/04 |  14/12/04 |  14/02/05 |  14/02/05 |  21/02/05 | Уважаемые коллеги! Случилось вторичное смещение вертлужной впадины после операции. Посоветуйте, что делать. Пациентка 18 лет. Травма 19.11.04. D.s.: Закрытыый Т-образный высокий перелом правой вертлужной впадины. Закрытый перелом м\мыщелкового возвышения левой б\берцовой кости. 9.12.04 операция - открытая репозиция, остеосинтез переломам вертлужной впадины. 30.12.05 выписаны на амбулаторное лечение с рекомендациями не вставать на правую ногу. 14.02.05 при контрольном осмотре на Р-граммах выявлено вторичное смещение передней колонны. Клинически подвывиха нет, имеется умеренная приводящая контрактура правого тазобедренного сустава, гипотрофия мышц н\конечностей. Госпитализирована в травмотделение. Выполнено КТ. Имеется смещение передней колонны кнутриЮ диастаз 8 мм. Посоветуйте пожалуйста, что предпринять в данной ситуации.
<
|
>
|
|
Ответить
|
Re: Вторичное смещение вертлужной впадины
Alexey Rounkov 22 Февраль 2005, 09:20
|
У больной имеется диастаз лонных и седалищных костей, то есть "разорвано" тазовое кольцо. В перспективе возможно образование ложного сустава на уровне основания лонной кости с болевым синдромом, поскольку седалищная кость не срастется.
Объяснить больной ситуацию и предложить на выбор варианты:
1.сейчас провести пластику через подвздошный доступ для сращения лонной кости.
2. ограничить двигательную активность до 6 мес. (не нагружать ногу, носить тазовый корсет-пояс и т.д.) с контролем сращения. Вроде бы на Р-граммах угадывается слабая тень формирующегося костного мостика по l. iliopectinea, это место в представленные срезы КТ не попало. Если к 6 мес. ничего не нарастет, то см. пункт 1.
В любом случае начинать нагрузку на эту ногу до уверенности в сращении - большая вероятность исхода в псевдартроз с болевым синдромом.
|
[
Ответить ]
|
Re: Вторичное смещение вертлужной впадины
Alexey Smirnov 22 Февраль 2005, 23:34
|
Да не надо ничего предпринимать! В данном случае погоня за анатомией может только навредить пациентке. Вторичное смещение не такая уж и редкость при этих повреждениях. Разгрузка сустава до 5 мес. А деформирующий артроз в любом случае будет, вопрос только на сколько выраженный. Вы сделали все, что возможно, а повторно вмешиваться не стоит.
С уважением, Алексей.
|
[
Ответить ]
|
Re: Вторичное смещение вертлужной впадины
Отправитель: Alexander Chelnokov 23 Февраль 2005, 00:18
|
АС> этих повреждениях. Разгрузка сустава до 5 мес. А деформирующий артроз в
АС> любом случае будет, вопрос только на сколько выраженный.
Сустав-то как раз неплох, поскольку впадина почти вся конгруэнтна, по крайней мере вся нагружаемая часть, и подвывиха бедра нет. Артроз в перспективе тут, конечно, не исключить, но на первом плане проблема целости тазового кольца, т.е. нестабильное несращение, о чем А. Рунков писал. На седалищной дефект, и если и разошедшееся основание лонной не срастется, то болезненные проявления могут быть сразу после начала нагрузки, как ее не отсрочивай.
АС> Вы сделали все что возможно, а повторно вмешиваться не стоит.
Если лонный сегмент таки срастется, либо если несращение будет бессимптомным. Что сомнительно.
|
[
Ответить ]
|
|
( Ответить )
|
|