AOTRAUMA.ORG Центр Илизарова  

Ортопедия и травматология Общие вопросы/General questions Help Информационные технологии в медицине
 вверх
 отправить
 поиск
 админ
 главная


X-ray meeting
Ортопедия и травматология Отправлено Vyacheslav Ryndine 27 Февраль 2005, 00:26
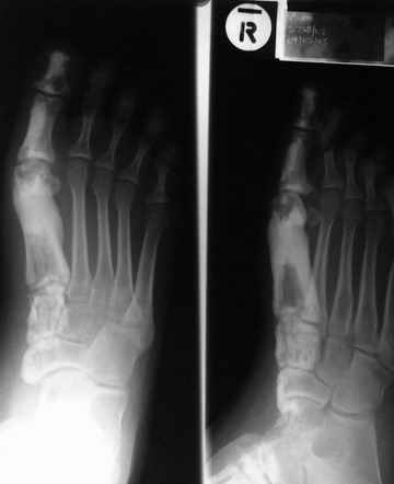
Уажаемые коллеги,представленные рентгенограмммы я показывал на нашем х-рей митинге - они были встречены с большим интересом.. Ну, ещё бы - я сам эту патологии встречал раза три за всю свою долгую жизнь:
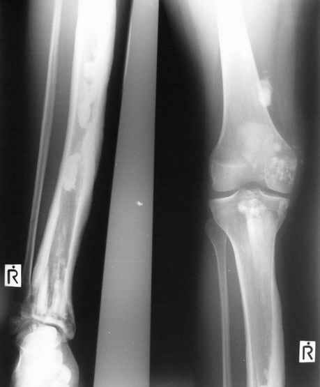
После меня выступал с новыми находками для своей коллекции Эмануэл Лакью Тесема, хирург-ортопед из Эфиопии: Мне понравились его находки:
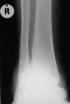
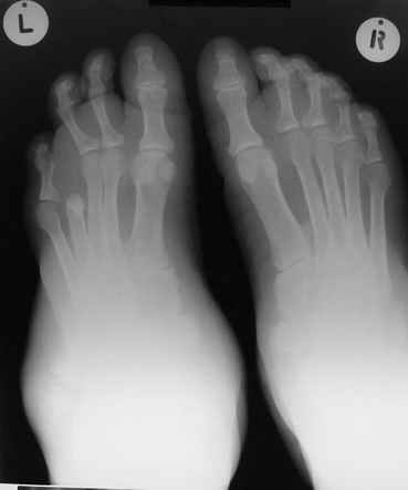
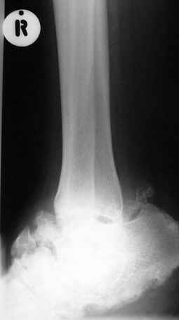
Кто шустрый - при какой патологии встречается так называемые "суставы Шарко"?Второе приобретение доктора Эмануэла мне понравилось своим романтическим названием: Candle bone - <кость-в-виде-оплывающей-свечи> : Просто редкая патология:
Счастливого уик-энда В. Рындин

<  |  >

 

  • Сообщения о Ортопедия и травматология
  • Также Vyacheslav Ryndine
  • Связаться с автором
  • Ответить

    Re: X-ray meeting
    Lenar Rashitov 27 Февраль 2005, 11:45
    VR> Кто шустрый - при какой патологии встречается так называемые <суставы Шарко>?

    Сирингомиелия,
    Травма спинного мозга
    Опухоль

    Ленар Рашитов
    [ Ответить ]

    Re: X-ray meeting
    Alexander Chelnokov 27 Февраль 2005, 12:17
    Т.н. нейрогенная артропатия бвает при диабете, периферических нейропатиях, заболеваниях спинного мозга... Как-то довелось вести больного с таким поражением тазобедренных суставов при третичном сифилисе.
    [ Ответить ]

    Re: X-ray meeting
    Alexander Chelnokov 27 Февраль 2005, 16:15
    VR>Второе приобретение доктора Эмануэла мне понравилось своим романтическим названием: Candle bone - <кость-в-виде-оплывающей-свечи> : Просто редкая патология:
    Цитата из книжки С.А.Рейнберга "Рентгенодиагностика заболеваний костей и
    суставов":

    ===================================
    Мелореостоз

    Под названием "мелореостоз" описано около 50 случаев врожденного заболевания скелета, выражающегося в совершенно
    своеобразном одностороннем остеосклерозе костей одной только конечности. Можно не сомневаться в том, что
    мелореостоз встречается далеко не редко; мы наблюдали свыше 20 случаев. Вполне естественно, что отдельные новые
    казуистические наблюдения, не вносящие в науку никаких новых фактов и не возбуждающие новых мыслей и обобщений,
    остаются неопубликованными.

    Остеосклероз при этом заболевании захватывает не всю кость по окружности, а простирается слегка волнистой
    полосой вдоль длинной оси конечности (рис. 223, К), переходя через линию суставов на другие кости. Таким образом,
    может оказаться пораженной целая верхняя или нижняя конечность или больший или меньший ее периферический участок,
    например, часть лопатки, полуцилиндр плечевой кости, часть цилиндра лучевой кости и скелет II пальца вместе с
    лежащими по этой оси участками запястных костей или же часть - медиальная или латеральная - бедренной,
    болынеберцовой кости с продолжением и расширением процесса на предплюсневые и плюсневые кости и соответствующие
    по длиннику фаланги одного или нескольких, но никогда не всех пальцев. Описавшие эту болезнь в 1922 г. Жоани
    (Joanny) и Лери (Leri) сравнивают остеосклеротические полосы с картиной, напоминающей стекающий со свечи и
    застывающий стеарин или воск, отсюда и название "мелореостоз" - "стекающая вдоль конечности кость".

    Отдельные случаи мелореостоза отличаются друг от друга по степени и форме склеротических участков; каждый случай
    представляет свои неповторяемые особенности. В более тяжелых случаях поражения нижней конечности захвачена и
    соответствующая половина таза, при локализации в верхней конечности - часть лопатки. Из парных костей поражается,
    как правило, только одна: это большеберцовая или малоберцовая кость, лучевая или локтевая кость, но никогда не
    обе кости одновременно. Мы наблюдали изолированные поражения не только периферических, но и ближе к туловищу
    расположенных костей, например, бедра без вовлечения в процесс голени, или половины таза с соответствующей
    половиной нижних поясничных позвонков и проксимальной части бедренной кости. Другими словами, в редких случаях
    объем изменений совсем не возрастает по направлению к.периферии. В самых редких случаях в какой-то ничтожной
    степени в процесс может быть вовлечен череп (часть нижней челюсти). Поражения ребер мы ни разу не наблюдали.

    Измененный корковый слой, а также уплотненные эпифизы и мелкие губчатые кости приобретают плотность слоновой
    кости. Корковый слой утолщается как в сторону костномозгового канала (эндостальная форма), в большей или меньшей
    степени суживая его, так и наружу (периосталь-ная форма), возвышаясь над нормальным уровнем кости и увеличивая
    этим ее наружный диаметр. Поверхность "наплывов" слегка волниста, с гребневидными возвышениями и углублениями, но
    всегда резко конту-рируется. Склеротические полосы и ленты бывают чаще всего сплошными, но нередко они
    прерывисты, расслоены. Иногда наблюдается некоторое удлинение костей и их небольшая дугообразная деформация, а
    подчас и наоборот - очень незначительное укорочение. Это зависит, надо думать, от участия энхондрального хряща,
    раздражения или торможения его функции. Костная ткань в соседстве со склеротическими полосами и островками
    сохраняет нормальный рисунок или часто слегка поротична, так что граница между затемненными склеротическими
    лентами и костным фоном очень резка. Иногда в мягких тканях таза или области плечевого пояса развиваются
    неправильные шаровидные плотные костные массы, а при прогрессировании болезни подобные островки появляются и в
    окружности суставов, которые сами по себе особых изменений не представляют. Патологические переломы при
    мелореостозе не описаны. Мы также по собственному опыту и по литературным данным не знаем озлокачествления при
    мелореостозе. Течение болезни вообще вполне доброкачественное и общее предсказание благоприятное.

    Гистологическое исследование при мелореостозе ничего характерного, кроме- склероза пораженных участков, не
    показывает. Никаких воспалительных изменений в костной ткани не бывает. Уплотненная кость имеет, как и при
    мраморной болезни, неправильную архитектонику. Надкостница либо совсем не изменена, либо фиброзно- уплотнена.
    Имеется много незрелого костного вещества, костный мозг атрофичен и также замещен волокнистой соединительной
    тканью, сосуды находятся в состоянии запустения.

    Мелореостоз наблюдается в любом, но чаще всего в детском и юношеском возрасте. В последние годы мы чаще выявляем
    эту болезнь в среднем и даже в зрелом и старческом возрасте.

    Клиническая картина, по сравнению с рентгенологической, относительно очень бедна, но все же состоит из некоторых
    симптомов, которые становятся легко понятными в свете рентгенологических данных. В общем, чем старше больной
    мелореосто-зом, тем больше вступает в свои права клиническая картина, и чем он моложе, тем более над ней
    преобладает рентгенологическая картина. Больные чаще всего жалуются на болевые ощущения, характер и интенсивность
    которых в отдельных случаях колеблются в весьма широких пределах. Боли только очень редко бывают сильными,
    мучительными. Обычно же это умеренные тупые, глухие боли, усиливающиеся по ночам, подчас зависящие от
    функциональной активности, даже от времени года. Боли не только связаны по местоположению со склеротическими
    костными участками, это не только диафизарные боли в больших трубчатых костях, но и боли в области суставов, а
    также вторичные сосудистые и нервные явления, обусловленные давлением со стороны пышных костных гребней и
    напластований. Нередко уже после определения болезни в результате рентгенологического исследования удается задним
    числом уточнить, что болевые ощущения так или иначе тревожат пациента годами, пяти- и десятилетиями.

    Иногда жалобы больных сводятся лишь к чувству усталости в измененной конечности, ряд наших больных нам указывал,
    что пораженная конечность им кажется более тяжелой, чем противоположная здоровая. Предъявляются и жалобы на
    одностороннюю мышечную слабость; сами мышцы в застарелых случаях оказываются атрофированными и фиброзно
    уплотненными. Интересно, что в этих же далеко зашедших случаях мелореостоза, соответственно подлежащим костным
    поражениям, можно отметить также большую или меньшую степень склеродермии.

    В ряде случаев мелореостоза взрослые больные указывают на тугоподвижность суставов на пораженной стороне. У
    детей мы этого не видели. С возрастом может развиваться прогрессирующее ограничение подвижности одного или
    нескольких крупных суставов - все на одной конечности. Объясняются эти мономелические суставные изменения не
    столько склерозом эпифизарных костных элементов суставов, сколько все нарастающими отложениями и глыбами
    гетеротопического костного вещества в мягких тканях в окружности суставов, которые мы наблюдали в области
    тазобедренного и коленного суставов у больных в уже зрелом возрасте, но не у детей.

    Наконец, важным внешним клиническим выражением мелореостоза могут служить деформативные явления, из которых
    раньше всего бросаются в глаза осевые уклонения в сторону одного из пальцев кисти.

    Кровь по своим морфологическим и химическим свойствам при мелореостозе уклонений от нормы не представляет, обмен
    веществ остается нормальным.

    При этих условиях мелореостоз, как правило, длительно протекает скрыто, и точное начало болезни определить
    обычно невозможно, так как она подкрадывается исподволь. Вполне вероятно, что многие больные и совсем не
    распознаются, они привыкают к своим болям и мирятся со своим "хроническим ревматизмом", не обращаются к врачам, а
    врачи не обращаются за консультативной помощью к рентгенологам. Точное распознавание мелореостоза возможно
    исключительно и на основании рентгенограмм при условии знакомства с причудливой рентгенологической картиной
    мелореостоза. Здесь обязательно требование подвергать ренттенологическому исследованию скелет и во всяком случае
    конечность в целом, а не только ограниченный участок костно-суставной системы, на котором сосредоточено внимание
    больного и лечащего врача.

    Таким образом, в типичных случаях мелореостоза вряд ли может возникнуть трудность
    диференциально-диагностического порядка. В высшей степени характерная рентгенологическая картина имеет решающее
    не только устанавливающее, но и дифе- ренциально-диагностическое значение. Ошибки происходят лишь в результате
    неполноценного клинико-рентгенологического исследования. Опыт жизни учит, что по тем или иным клиническим и
    рентгенологическим соображениям могут потребовать отличительного распознавания гуммозный сифилитический
    остеопериостит, хронический склерозирующий остеомиэлит, травматический периостит, мраморная болезнь,
    остео-пойкилия, деформирующая остеодистрофия Педжета, фиброзная дисплазия костей, остеобластическая
    склерозирующая остеогенная саркома, неврогенная остеэартропатия, хондроматоз сустава, капсульная остеома,
    остеосаркома и т. п.

    Этиология мелореостоза неизвестна. Это эмбриональное метамерное нарушение процесса развития преимущественно
    костного остова конечности. Это единственная известная нам болезнь, метамерно поражающая кости одной только
    конечности в виде продольных патологических остеосклеротических полос, к тому же не связанных ни с определенными
    сосудистыми, ни с нервными источниками. Последнее требует объяснений. Казалось бы, проще всего связать
    удивительную локализацию костных изменений именно и только с иннервационным нарушением. Однако строгий анализ
    костных поражений верхней, а также нижней конечности не дает определенной связи с тем или иным известным в
    нормальной анатомии нервным стволом, "наплывы" не соответствуют в отдельных случаях ходу разветвлений
    определенных нервов. Функционально нервы конечности при мелореоетозе в случае исследования обычными клиническими
    методами тоже оказываются нормальными. Тем не менее можно не сомневаться в том, что разгадку механизма развития
    принесет только даль-лейшее углубление изучения этой болезни в свете учения о нервизме.

    Лечение мелореостоза сводится к симптоматическим мероприятиям.
    ===================================
    [ Ответить ]


    ( Ответить )

    Powered by Zope  Squishdot Powered MedLink
    Посетитель: 0311084
      "По форме правильно, а по существу - издевательство" В.И.Ленин
    ©2001-2019Orthoforum Coordinator.
    [ Главная | Отправить сообщение | Поиск | Админ ]