вверх
отправить
поиск
админ
главная
|
Отправлено Андрей Башлачев 31 Март 2005, 00:04
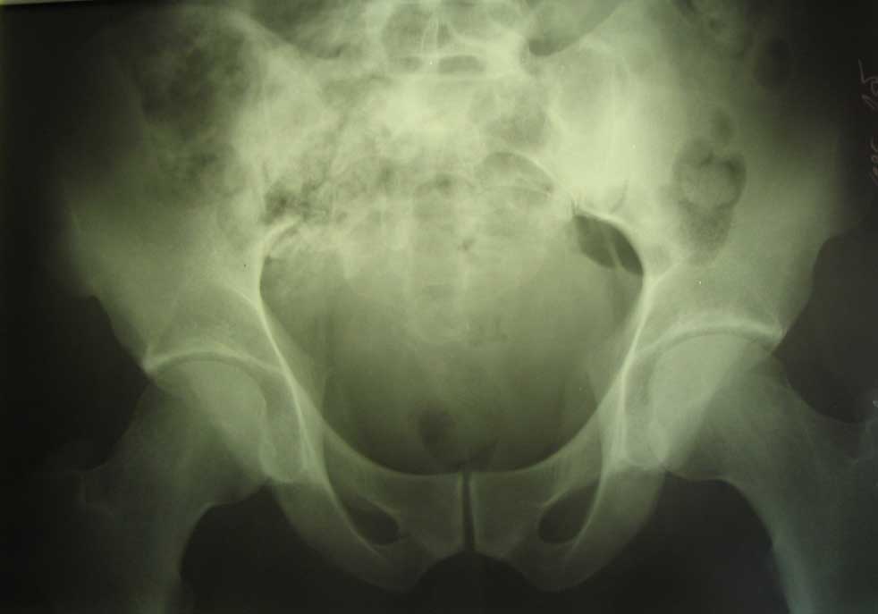
Приветствую, коллеги.К вопросу о т.н. "буш-хирургии"...Коллега и друг съездил в Сомали поработать.
 живот |  крестец |  плечо |  спина |  снимок |  снимок-схема | Поработал, блин... Шмальнули в него из"калаша" почти в упор: сквозное ранение живота с повреждением подвздошной кишки (вход -правая подвздошная область, выход на крестце), касательное левого плеча (пуля прошла подкожей) и практически царапина на правом плече.Ранение - 6.03, в этот же день прооперирован - ушивание ран подвздошной кишки и т.н."обработка" раны левого плеча (зачем-то удалили отслоенный мостик кожи... :-/ ). Черездень - релапаротомия, резекция участка подвздошной кишки. До России он добрался только25.03 (КАК он добрался - отдельная история...), с хорошо гноящимися и разошедшимися ранамина передней брюшной стенке, крестце и левом плече (см. фото в аттаче). В принципе с ранамивсе понятно, санация-заживление-пластика... И это не самое страшное... Сегодня выполнена рентгенография - оскольчатый перелом крестцово-подвздошного сочленениясправа. Плюс к этому - выраженный парез правой н/конечности с выпадением чувствительностии парестезиями (хотя частично чувствительность сохранена, и какое-то подобие произвольныхдвижений тоже есть). Поэтому хотелось бы спросить - какова должна быть тактика в отношенииперелома (режим, лекарства и т.п.) и в отношении неврологии? Также интересуют возможныеисходы... Приветствуются все мысли, замечания и предложения... -- С уважением, Андрей Башлачев mailto:bashlachev@yandex.ru Ивановская государственная медицинская академия, кафедра хир. болезней пед. ф-та
<
|
>
|
|
Ответить
|
Re: ситуация help...
Alexander Chelnokov 31 Март 2005, 01:29
|
АБ> Сегодня выполнена рентгенография - оскольчатый перелом
АБ> подвздошно-бедренного сочленения
опечатался, крестцово-подвздошного...
АБ> справа. Плюс к этому - выраженный парез правой н/конечности с
АБ> выпадением чувствительности и парестезиями (хотя частично
АБ> чувствительность сохранена, и какое-то подобие произвольных
Учитывая, что основная часть сустава цела, хирургическая стабилизация не требуется. Там, видимо, перестрелены корешки. Медикаменты тут никакие не помогут, разве что если будут каузалгии, тогда добавить финлепсин или амитриптилин. А все-таки какие поточнее неврологические выпадения? Стопа висит? Надо посоветоваться с нейрохирургами по поводу целесообразности ревизии.
|
[
Ответить ]
|
Re: ситуация help...
Отправитель: Андрей Башлачев 01 Апрель 2005, 00:52
|
Здравствуйте, Александр.
АБ>> Сегодня выполнена рентгенография - оскольчатый перелом
АБ>> подвздошно-бедренного сочленения
AC> опечатался, крестцово-подвздошного...
Именно так...
АБ>> справа. Плюс к этому - выраженный парез правой н/конечности с выпадением
АБ>> чувствительности и парестезиями (хотя частично чувствительность сохранена, и какое-то
АБ>> подобие произвольных
AC> Форварднул ситуацию в ортофорум. Учитывая, что основная часть сустава цела,
AC> хирургическая стабилизация не требуется. Там, видимо, перестрелены корешки.
AC> Медикаменты тут никакие не помогут, разве что если будут каузалгии, тогда добавить
AC> финлепсин или амитриптилин. А все-таки какие поточнее неврологические выпадения? Стопа
AC> висит? Надо посоветоваться с нейрохирургами по поводу целесообразности ревизии.
Сегодня консультирован зав. отд. гнойной травматологии и зав. отд. спинальной нейрохирургии. Пришли к выводу, что в первую очередь необходимо заниматься крестцом (профилактировать остеомиелит, дообследовать, возможно - фиксировать тазовое кольцо), для чего больного нужно переводить в травму. Что касается неврологических проявлений - это все вторично (из-за контузии - отека - и т.п.).
Конкретно по неврологии - в бОльшей степени страдает зона малоберцового нерва (гиперестезии по наружной поверхности голени, невозможность тыльного сгибания стопы...); сохранены, хотя и ослаблены подошвенное сгибание стопы, сгибание в коленном суставе, сгибание и приведение в тазобедренном...
|
[
Ответить ]
|
|
Re: ситуация help...
Максим Агалаков 01 Апрель 2005, 21:36
|
в отношении перелома. Интересно посмотреть проекции "inlet","out let" возможно они помогут определиться в отношении тактики лечения повреждения таза.
|
[
Ответить ]
|
Re: ситуация help...
Денис Елкин 05 Апрель 2005, 02:24
|
По-моему целесообразно КТ и МРТ таза. Это позволит внести некоторую ясность о генезе неврологических нарушений (есть ли нарушение целости корешков или же имеет место их сдавление костными осколками) и, соответственно, определиться с тактикой.
|
[
Ответить ]
|
( Ответить )
|
|