ВХОД ДЛЯ ПАЦИЕНТОВ
вверх
поиск
админ
главная
|
О "допустимых" деформациях |
 |
 |
 |
Прислано Юрий Алексеевич Булахтин 03 Апрель 2005, 14:15
из Камчатский Военно - морской госпиталь
Уважаемые коллеги!
Хотел-бы продолжить разговор о "допустимых" деформациях при переломах нижней конечности.
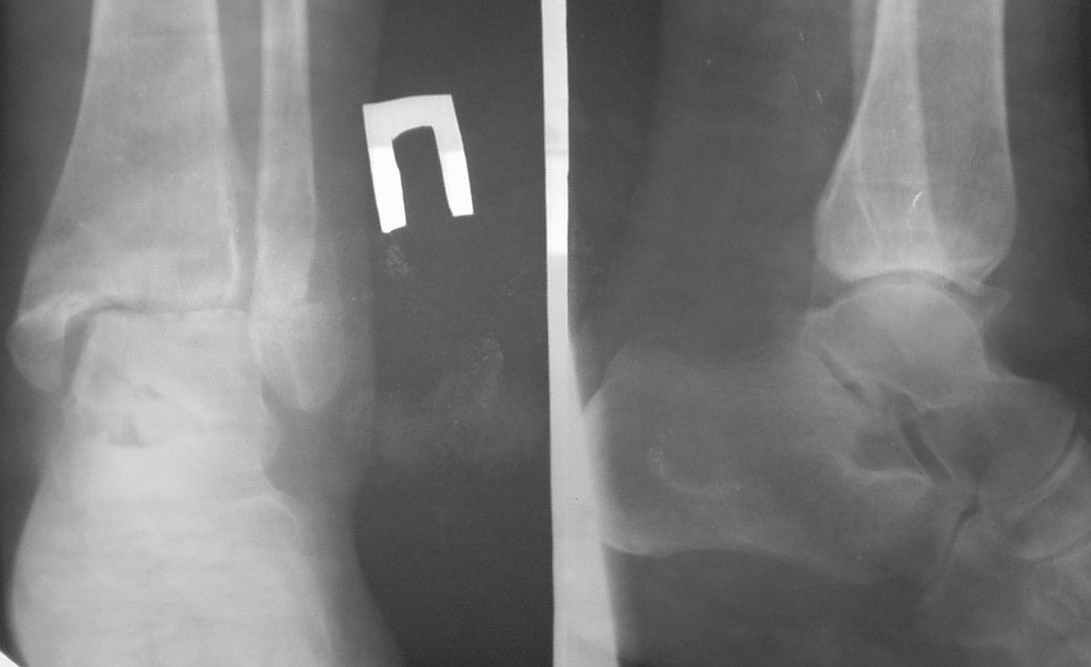
На консультацию пришла больная 39 лет, перелом лодыжек 8 месяцев назад. Лечилась консервативно в одном из стационаров области.
Сейчас беспокоят постоянный болевой синдром и отек, затрудняющий ношение стандартной обуви. На КТ - межберцовый синдесмоз 4,5 мм (на здоровой ноге - 2,0 мм). Деформирующие краевые костные разрастания по внутренней замыкательной пластине мало-, большеберцовой и таранной костей.
Какие будут соображения по дальнейшей тактике:
1. надо-ли оперировать?
2. если "да", то что делать?
Обратите внимание: Поля с жирными названиями обязательны.
Старайтесь отвечать в рамках обсуждаемой темы, а не начинать новые обсуждения.
Указывайте адекватную тему сообщения, чтобы было ясно, о чем оно.
Не послайте сообщений не по теме (оффтопик), раздраженных, грубых или обидных комментариев. Здесь это неуместно.
|