AOTRAUMA.ORG Центр Илизарова  

Ортопедия и травматология Общие вопросы/General questions Help Информационные технологии в медицине
 вверх
 отправить
 поиск
 админ
 главная
 Предыдущее
 Весь тред


Re: Никелиды титана с памятью формы
А.Миронов 11 Апрель 2005, 15:34
АЧ>Степень относительности этой стабильности все-таки довольно сильно может варьировать. Locked plate в сравнении с эластичным интрамедуллярным фиксатором - две большие разницы
Да и нет! Зависит от перелома и способа остеосинтеза. А результат? (01)

А.Миронов



  • Сообщения о Ортопедия и травматология
  • Также А.Миронов
  • Связаться с автором
  • Файл-вложение
  • Кликните для загрузки файла 01.jpg
    65KB (66785 bytes)

  • Ответить

    Re: Никелиды титана с памятью формы
    Alexander Chelnokov 11 Апрель 2005, 23:42
    Мы же говорили о проксимальном плече. При переломе tibia, конечно, речи о двух Y-спицах нет. Еще раз о них - пружинящая подвижность без "срезающих" перемещений фрагментов - дополнительный стимул к образованию периостальной мозоли.
    А в данном случае - у нас был бы применен locked nail с еще меньшими дырочками на коже и с возможностью полной нагрузки немедленно после операции. Какие тут аргументы в пользу выбора пластины, а не интрамедуллярного гвоздя?
    [ Ответить ]

    • Re: Никелиды титана с памятью формы
      Отправитель: А.Миронов 12 Апрель 2005, 11:21
      А степень стабильности будет влиять на сроки реабилитации? Плечевой сустав очень капризный.
      При выборе импланта наверное много зависит от предподчтений хирурга, личного опыта. Я не видел больных после остеосинтеза Y-спицами, поэтому мне трудно судить объективно.

      АЧ>Какие тут аргументы в пользу выбора пластины, а не интрамедуллярного гвоздя?
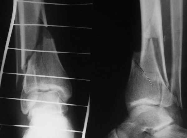
      Классически показанием для locked nail яв-ся зоны BC CD, до появления LCP показания к locked nail несколько расширялись в зоны AB и DE
      Аргументы: перелом достаточно низкий, трудно будет ввести 3-и блок. винта, а учитывая характер перелома на 2-х дистальных винтах я бы не рекомендовал немедленную полную нагрузку.
      С Уважением А.Миронов

      Кликните для загрузки файла DSC00841.JPG
      42KB (43152 bytes)

      [ Ответить ]
      • Re: Никелиды титана с памятью формы
        Отправитель: Alexander Chelnokov 12 Апрель 2005, 22:45
        АМ> А степень стабильности будет влиять на сроки реабилитации? Плечевой
        АМ> сустав очень капризный.

        Вряд ли степень стабильности тут ведущий фактор. Если она достигает "порога достаточности", то ее дальнейшее увеличение избыточно. Тем более ценой обширного доступа, вообще обнажения отломков, это может бОльшую роль сыграть.

        АМ> личного опыта. Я не видел больных после остеосинтеза Y-спицами,
        АМ> поэтому мне трудно судить объективно.

        Кое-что было здесь представлено. См.
        http://weborto.net/forum/1101309779/.
        Наверно, лучше посмотреть в ЦИТО при случае. Или более подробное сообщение авторов.

        АМ> Классическим показанием для locked nail яв-ся зоны BC CD, до появления
        АМ> LCP показания к locked nail несколько расширялись в зоны AB и DE

        Ну, эти "классические" показания были актуальны в соответствующий период, на сегодня их можно пересмотреть. Безотносительно к появлению других фиксаторов, гвоздиками можно фиксировать переломы если не дистальнее линии E или проксимальнее A, то уж практически на их уровне.
















        Если недоступны гвозди, специально разработанные для очень дистальных переломов, то всегда под рукой возможность спилить лишнее, чтобы отверстие оказалось на самом кончике.

        АМ> Аргументы: перелом достаточно низкий, трудно будет ввести 3-и блок.
        АМ> винта, а учитывая характер перелома на 2-х дистальных винтах я бы не
        АМ> рекомендовал немедленную полную нагрузку.

        Положим, и с 2 винтами она к 2 месяцам была бы тут вполне реальна. Кроме того, есть возможность ввести винты мимо гвоздя (Poller), и таки разрешить раннюю полную нагрузку (что еще зависит от массы тела пациента и диаметра винтов). А уж если сопоставить стоимость отечественного гвоздика и пластины Synthes... Если бы на порядок более дорогая железка давала на тот же порядок лучший результат... ;-)

        [ Ответить ]
        • Re: Никелиды титана с памятью формы
          Отправитель: А.Миронов 13 Апрель 2005, 16:53
          АЧ>если сопоставить стоимость отечественного гвоздика и пластины Synthes
          Для значительной категории наших больных операции с применением имплантов SYNTHES и MATHYS - бесплатны, при производсвенной травме оплачивает ФСС, быт. травма,автодорожка при наличии полиса ДМС, разным льготникам часть ФОМС, а часть ад. города, причём для этих категорий АО - стандарт.

          При штифтовании ортопедическим столом не пользуйтесь?

          А. Миронов


          Кликните для загрузки файла 1.JPG
          11KB (11310 bytes)

          [ Ответить ]

     

    ( Ответить )

    Powered by Zope  Squishdot Powered MedLink
    Посетитель: 0146716
      "По форме правильно, а по существу - издевательство" В.И.Ленин
    ©2001-2019Orthoforum Coordinator.
    [ Главная | Отправить сообщение | Поиск | Админ ]