ВХОД ДЛЯ ПАЦИЕНТОВ
вверх
поиск
админ
главная
|
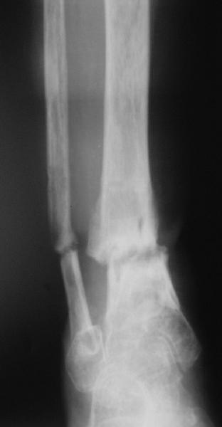
Еще несращение distal tibia |
 |
 |
 |
Прислано Alexander Chelnokov 13 Апрель 2005, 22:56
из
Глубокоуважаемые коллеги,
Поступила женщина 72 лет. Полтора года назад - укушенная рана, перелом голени. Лечили аппаратом, не срослось. Долго не заживала рана.
Но вроде уже с полгода мягкие ткани закрыты. Спереди подпаянные рубцы. Есть приличная подвижность на уровне несращения. Картинки в приложении. Что предложите? Спсибо заранее.
Обратите внимание: Поля с жирными названиями обязательны.
Старайтесь отвечать в рамках обсуждаемой темы, а не начинать новые обсуждения.
Указывайте адекватную тему сообщения, чтобы было ясно, о чем оно.
Не послайте сообщений не по теме (оффтопик), раздраженных, грубых или обидных комментариев. Здесь это неуместно.
|