AOTRAUMA.ORG Центр Илизарова  

Ортопедия и травматология Общие вопросы/General questions Help Информационные технологии в медицине
 вверх
 отправить
 поиск
 админ
 главная
 Предыдущее


Re: Интерлокинг костей предплечья
Дрягин Виталий 10 Май 2005, 11:31
Считаю нецелесообразным применение штифтов при переломах костей предплечья при острой травме, а тем более при несращениях.Правильный остеосинтез при ложных суставах пластинами LC-DCP или LCP с костной аутопластикой даёт прекрасные результаты и возможность ранних активных движений.Кроме того,гвоздь нарушает анатомическую конфигурацию костей что ведет к несращению другой.
  • Сообщения о Ортопедия и травматология
  • Также Дрягин Виталий
  • Связаться с автором
  • Ответить

    Re: Интерлокинг костей предплечья
    Alexander Chelnokov 10 Май 2005, 15:48
    Глубокоуважаемый Виталий,

    ДВ> Считаю нецелесообразным применение штифтов при переломах костей
    ДВ> предплечья при острой травме, а тем более при несращениях.

    В развитых странах накостный остеосинтез при переломах предплечья являтся стандартом. Но к закрытому интрамедуллярному сейчас интерес возрастает.

    ДВ> Правильный остеосинтез при ложных суставах пластинами LC-DCP или
    ДВ> LCP с костной аутопластикой даёт прекрасные результаты и
    ДВ> возможность ранних активных движений.

    Положим, *правильный* интрамедуллярный дает то же самое, причем закрыто, и разрезы по 0,5 см. А если еще вспомнить про рефрактуры после удаления пластин, чего не бывает при удалении стержней?

    ДВ> Кроме того,гвоздь нарушает анатомическую конфигурацию костей
    ДВ> что ведет к несращению другой.

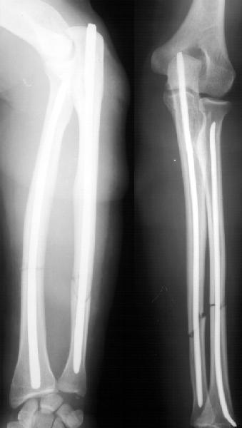
    А зачем же неправильный гвоздь использовать, который нарушает? Наоборот, с помощью гводя нарушенная форма костей очень даже эффективно восстанавливается (см. пример). А неправильный
    остеосинтез можно сделать чем угодно.








    [ Ответить ]

    • Re: Интерлокинг костей предплечья
      Отправитель: А. Миронов 10 Май 2005, 18:16
      >Наоборот, с помощью гводя нарушенная форма костей очень даже эффективно восстанавливается (см. пример).
      форма восстанавливается, но достаточной стабильности при таком остеосинтезе (пример) достигнуть трудно, ранние движения невозможны, а несращения встречаются как и при любом виде остеосинтеза.
      А.Миронов


      [ Ответить ]
      • Re: Интерлокинг костей предплечья
        Отправитель: Alexander Chelnokov 10 Май 2005, 20:26
        АМ> форма восстанавливается, но достаточной стабильности при таком
        АМ> остеосинтезе (пример) достигнуть трудно, ранние движения невозможны,

        Эта конкретная больная на пятый день после операции мыла дома пол (муж - хирург, не мог же он этим заниматься :-)
        А движения как раз начинаются максимально рано, на следующий день, включая ротацию - больших ран ведь нет, сильно не болит - в приложении картина в день снятия швов.















        К месяцу после операции практически у всех больных - клиническая картина здорового человека.
        Так что стабильность достаточная. А то, что она не абсолютная, как с пластинкой - это как раз способствует периостальному сращению. Конечно, при многооскольчатых переломах для осевой устойчивости лучше запирать винтами.

        АМ> а несращения встречаются как и при любом виде остеосинтеза.

        При *закрытом* интрамедуллярном остеосинтезе - это редкость. Где-то на 60 больных есть одно несращение лучевой кости (рентгенологическая находка, клинических проявлений нет) - синтез получился с удлинением.
        Ну и мы сейчас как раз несращения после других видов остеосинтеза интрамедуллярными стержнями фиксируем...



        [ Ответить ]
        • Re: Интерлокинг костей предплечья
          Отправитель: А.Миронов 10 Май 2005, 22:04
          >К месяцу после операции практически у всех больных - клиническая картина здорового человека.
          Если так, то у Вас отличные результаты!

          А репонируете как? Аппарат? Руками? Если закрытая репозиция неудаётся, то фиксируете перелом пластиной или всё же гвоздём?
          А.Миронов

          [ Ответить ]
    • Re: Интерлокинг костей предплечья
      Отправитель: Дрягин Виталий 10 Май 2005, 20:28
      Уважаемый Александр!Постоянно слежу за статьями только отвечать лень.С уважением и большим интересом.Дрягин

      [ Ответить ]
      • Re: Интерлокинг костей предплечья
        Отправитель: Alexander Chelnokov 10 Май 2005, 20:57
        ;-)) Откровенно. А это сетевое общение, оно чем хорошо - лень отвечать, так и не отвечаешь. Никто никому ничем не обязан.

        [ Ответить ]
    • Re: Интерлокинг костей предплечья
      Отправитель: Дрягин Виталий 10 Май 2005, 20:33
      С удовольствием посмотрю при встрече снимки в динамике.К сожаления в июне не буду на сьезде у Вас, еду Португалию на конгресс с докладом. Надеюсь может Вы загляните к нам или я приеду за лето.

      [ Ответить ]
      • Re: Интерлокинг костей предплечья
        Отправитель: Alexander Chelnokov 10 Май 2005, 20:58
        ДВ> июне не буду на сьезде у Вас, еду Португалию на конгресс с докладом.

        Эххх, я бы с такой радостью поменялся с Вами... ;-)
        Впрочем, чем черт не шутит, может, на оба мероприятия успеем?

        ДВ> Надеюсь может Вы загляните к нам или я приеду за лето.

        Да, постараемся.

        [ Ответить ]
    • Re: Интерлокинг костей предплечья
      Отправитель: Виталий Дрягин 11 Май 2005, 09:08
      Уважаемый Александр! Как Вы знаете,у многих фирм имеются различные гвозди с блокированием для бедра и тд. Исключением составляют кости предплечья,т.к.синтез их требует применения фиксаторов с абсолютной стабильнстью, а это только пластины. Гвоздь дает относительную стабильность даже с блокированием. Кроме того, по мнению классиков АО к переломам предплечья необходимо относится как к внутрисуставным переломам, а это в первую очередь идеальная репозиция и абсолютная стабильность. Это не я придумал.Это Мюллер и тд. С уважением.

      [ Ответить ]
      • Re: Интерлокинг костей предплечья
        Отправитель: Alexander Chelnokov 11 Май 2005, 10:41
        Глубокоуважаемый Виталий,

        Wednesday, May 11, 2005, 9:11:31 AM, you wrote:

        ВД> гвозди с блокированием для бедра и тд.Исключением составляют кости
        ВД> предплечья,

        Есть блокируемые гвозди для предплечья - например, Foresight (Smith+Nephew), SST (Biomet), в наших краях доступны аналогичные гвозди ChM (есть в "Деосте").

        ВД> т.к.синтез их требует применения фиксаторов с абсолютной
        ВД> стабильнстью,а это только пластины.

        А отчего постулируется требование абсолютной стабильности для костей предплечья? Легко убедиться, что и с относительной стабильностью они чудно срастаются.

        ВД> Кроме того, по мнению классиков АО к переломам предплечья
        ВД> необходимо относится как к внутрисуставным переломам,

        Это всего лишь подразумевает, что на диафизе предплечья надо восстановить ось, длину и форму костей и ротацию лучевой кости. Что автоматически обеспечивает правильные взаимоотношения в межкостных сочленениях.

        ВД> а это в первую очередь идеальная репозиция и абсолютная
        ВД> стабильность. Это не я придумал.Это Мюллер и тд.

        "Мюллер и тд" насчет многого, что они придумали, за последние годы передумали... А критерий истины - практика, это не я придумал.
        ;-)

        [ Ответить ]

     

    ( Ответить )

    Powered by Zope  Squishdot Powered MedLink
    Посетитель: 0000125
      "По форме правильно, а по существу - издевательство" В.И.Ленин
    ©2001-2019Orthoforum Coordinator.
    [ Главная | Отправить сообщение | Поиск | Админ ]