ВХОД ДЛЯ ПАЦИЕНТОВ
вверх
поиск
админ
главная
исходное
|
Re: Вывих бедра - дообследование
послал Юрий Алексеевич Булахтин 21 Май 2005, 18:34
|
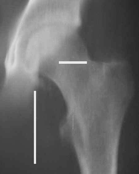
Уважаемые коллеги! Заканчивая обследование больного с переломо-вывихом бедра сделал ему обычные R-томограммы. Кажется удалось "поймать" и отломок и донорское место. Мои выводы - в скиаграмме. Считаю, что это передне-нижний фрагмент головки, образовавшийся вследствии отрывного перелома. На томограммах отломок обозначаю длинной стрелкой, а место откуда он оторвался - более короткой. Учитывая тот факт, что его размеры по КТ 25 х 15 мм считаю, что его фиксация на место необходима для профилактики артроза, что при 16-ти летнем возрасте пациента важно в плане максимального отодвигания эндопротезирования. Планирую оперировать его 24.05.05 г. Результаты представлю.
 Прямой при поступлении
|
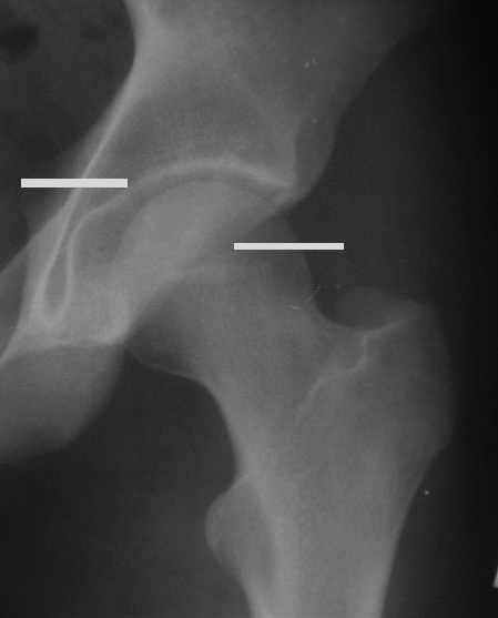
 Прямой 19.05
|

|

|

|

|

|

|

|
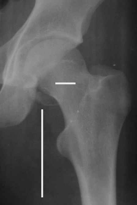
Несколько соображений к "картинкам". На прямом снимке и КТ-томограммах все типичные линии вертлужной впадины: крыша, передняя стенка, задняя стенка - сохранены. На КТ-сканах 6 и 7 появляется фрагментация головки. С учетом R-томограмм отломок расположен спереди-снизу, а не сзади-сверху от сустава, как написано в описании КТ.
Юрий Алексеевич Булахтин
|
| Послать ответ |
Обратите внимание: Поля с жирными названиями обязательны.
Старайтесь отвечать в рамках обсуждаемой темы, а не начинать новые обсуждения.
Указывайте адекватную тему сообщения, чтобы было ясно, о чем оно.
Не послайте сообщений не по теме (оффтопик), раздраженных, грубых или обидных комментариев. Здесь это неуместно.
|