AOTRAUMA.ORG Центр Илизарова  

Ортопедия и травматология Общие вопросы/General questions Help Информационные технологии в медицине
 вверх
 отправить
 поиск
 админ
 главная


Otkrity perelom (OI)
Ортопедия и травматология Отправлено Castro 29 Май 2005, 03:14
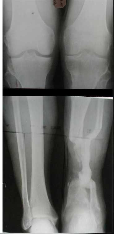
Dorogie kollegy,Have a nice day,Ja bi hotil obsuzdat' s Vami dvuh bolnih, kotorie postupili segodnjia ko mene. Pervy iz nih (OI) bolnoi s otkritoi tiazeloi mehanicheskoi travmoi Rt. leg segment v rezultate DTP, ot chego on imeet sledueshie povrezdenjia:- Otkrity perelom kostei pravoi goleny v srednei i niznoi ee trety s poteriem okolo 10 cm. kostnogo veshestva ot bolshebersovoi kosty, - Povrezdenjia a.tibialis post. s massivnim povrezdeniem zadneoi gruppy musculs goleny,- Malobersovjia kost' imeet segmentarny perelom, ee nizny fragment (kak Vi videte na foto) vistupaet na kozy okolo VNUTRENNOI Lodizky! - Traumaticheski Shock 2-3Drugih povrezdenjia net.
Nemedlenno bolnoi bil' intubirovan i provedeny vse protivoshokovie procedury, pravjia golen' bila pomeshenjia na apparat' Storm, dla reduksii kostei posle ee fiksasii k apparatu s pomoshio 2 spitsy 3mm D. Provedena Repozitsia pereloma i fiksirovana STORMOM vremenno, za tem sosudisty hirurg vypolnil 2 obhodnih anastomosa for a. Tibilis posterior, bili udaleny bolshie chasty iz musculov zadnoi gruppy goleny v predelah "vozmozno vedemih" zdorovoi tkany, oblast' pereloma promita by N. sol. 0.9% - 12 L. Zatem byla proizvedena okonchatenjia reduksia pereloma posle umerennoi traksii goleny na apparate, i fiksasiya pereloma s pomoshio apparata vneshnei fiksasii. Tak, Kakie soobrazanjia po dalneshemu vvdenjia bolnogo? On poluchaet antibiotiky i bolshie dozy LMH (Clexane 80 X 2) i vse ostalnoe......


<  |  >

 

  • Сообщения о Ортопедия и травматология
  • Также Castro
  • Связаться с автором
  • Ответить

    Re: Otkrity perelom (OI)
    Alexander Artemiev 29 Май 2005, 13:14
    Здравствуйте.
    1. Хотелось бы посмотреть рентгенограммы после фиксации в
    аппарате. Ну и основной вопрос - жизнеспособна ли стопа.
    2. Закрытие раны по задней поврехности голени обычно не
    представляет проблем. Можно использовать и расщепленный лоскут.
    3. Определитесь с функцией голеностпоного сустава.
    4. Что касается замещения дефекта б/б кости величиной 10 см, то
    я бы рассматривал три варианта:
    - замещение малоберцовой костью в аппарате (спицами с упорными
    площадками)
    - пересадка кости и лоскута на сосудистой ножке (если есть
    такая возможность).
    - постепенное сближение (но ни в коем случае не одномоментное)
    отломков до полного контакта с одновременным удлинением гоелни
    в проксимальном отделе.

    Дополнительная информация может вызвать дополнительныевопросы и
    комментарии.
    С уважением Александр Артемьев
    [ Ответить ]

    • Re: Otkrity perelom (OI)
      Отправитель: Dr. Castro 29 Май 2005, 21:36
      Zdrastvuete Dr. A. Arteimev,
      Sposibo za Vashe viskazivanie,
      1. Chto kasaetsa snimkov bolnogo to oni budut segodnjia v horoshim digital forme,
      2. segodnjia ja pereviazival bolnogo pod GA, stopa zivaja, teplaja, hot' i otekaet sylno iz za "vidimo" narushenjia venoznongo atoka,
      3. Chto menjia smushet: kak ja smogu sdelat' "bone trasport" v budeshim, esli znat', chto anatomia ochen' sylno izminilas', i kazitsa, chto a. tibialis anterior, prosto nahoditsa v prostranstve mezhdu otlomkami tibia, VOPROS: Sleduet li sdealat' reviziyu ee na dalnishih pereviazkah, chto bi transpozirovat' ee? Ili ne nuzhno ito sdelat'? Budet li promezutochny fragment otodvigat' ee peremishes' vniz ILI ona zashemitsa mezdu otlomkami?
      4. Aktivnih dvizhenjia v golenostopnom sustave NET! no poka rano ob itom sudit' okonchatrelno.
      5. Ne tolko zadnjia poverhnost' otkritajia, est' chast' kosty na protezenjii okolo 4-h cm. obnazena po peredne-vnutrennoi poverhnoste Prox. kones tibia".
      Castro



      [ Ответить ]
      • Re: Otkrity perelom (OI)
        Отправитель: Alexander Chelnokov 29 Май 2005, 22:08
        DC> kazitsa, chto a. tibialis anterior, prosto nahoditsa v prostranstve
        DC> mezhdu otlomkami tibia, VOPROS: Sleduet li sdealat' reviziyu ee na
        DC> dalnishih pereviazkah, chto bi transpozirovat' ee?

        Псоле восстановления длины голени она вряд ли ушемляется в отломках.

        DC> Ili ne nuzhno ito sdelat'? Budet li promezutochny fragment
        DC> otodvigat' ee peremishes' vniz ILI ona zashemitsa mezdu otlomkami?

        Если эти опасения серьезны, можно сделать ангиографию. Ну а при bone transport наблюдать за состоянием кровоснабжения, и при каких-то сомнениях опять сделать контрастное исследование. Вообще, куда более опасны одномоментные значительные смещения типа acute docking, что может вызвать гофрирование тканей, перегиб сосуда с последующим тромбозом, или даже прямое его ущемление.

        DC> 4. Aktivnih dvizhenjia v golenostopnom sustave NET! no poka rano ob
        DC> itom sudit' okonchatrelno.
        DC> 5. Ne tolko zadnjia poverhnost' otkritajia, est' chast' kosty na

        И все-таки тут бы еще как следует все оценить, прикинуть, что получится даже при полном успехе. Долгие труды врача и страдания больного могут дать в итоге малопригодную в функциональном плане конечность, хотя стопа будет живая. Если доступно хорошее протезирование, стоит хорошо подумать, не будет ли ампутация оптимальным выходом, прежде чем ввязываться в многомесячный "марафон".

        [ Ответить ]
      • Re: Otkrity perelom (OI)
        Отправитель: Alexander Artemiev 30 Май 2005, 08:44
        DC> mezhdu otlomkami tibia, VOPROS: Sleduet li sdealat' reviziyu ee na
        DC> dalnishih pereviazkah, chto bi transpozirovat' ee? Ili ne nuzhno ito
        DC> sdelat'?
        Не стоит. Зачем искать приключения?

        DC> Budet li promezutochny fragment otodvigat' ee peremishes'
        DC> vniz ILI ona zashemitsa mezdu otlomkami?
        Не будет.
        В приложении - моё наблюдение (возможно, уже представлял, тогда
        извините).
        Нога попала в пресс.
        Ко мне больной попал черз 1,5-2 года после травмы и нескольких
        операций с синегнойной инфекцией на всю голень. Меня пригласили на консультацию
        насчет ампутации.
        Лечил я его месяцев 8.
        Малоберцовка полностью перестроилась, нога опороспособна.
        При ходьбе на дальние расстояния пользуется тростью.
        Осталась трофическая язва, периодически закрывается.
        Клинические снимки где-то есть, но не очень качественные.
        Один из вариантов.

















        С уважением Александр Артемьев

        [ Ответить ]
    Re: Otkrity perelom (OI)
    крылов андрей 30 Май 2005, 19:13
    Уважаемый доктор Castro, не лучше ли произвести ампутацию конечности в в\3 пока не присоединились инфекционные осложнения.
    Восстановление длины и опороспособности голени может занять долгие месяцы, если не годы с большим сомнительным результатом.
    Существуют великолепные протезы, окружающие не заметят хромоты вашего пострадавшего в дальнейшем.
    С уважением Андрей Крылов
    [ Ответить ]

    Re: Otkrity perelom (OI)
    Castro 01 Июнь 2005, 01:16
    Uvazhaemy Dr. Krylov,
    Vopros ob Amputatsii uzhe tri raza obsuzdalsa s bolnim, on kategoricheski ot etogo otkazalsa, da i ja ego ponimaio, delo v tom, chto net absolutnih pokazanii k amputatsii v dannom sluchae!
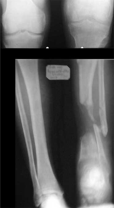
    Zdes' snimky posle poslednego montazha apparata prilagaiutsa

    Yours Castro

    Кликните для загрузки файла IMG_0501.jpg
    13KB (14124 bytes)

    [ Ответить ]

    Re: Otkrity perelom (OI)
    крылов андрей 01 Июнь 2005, 18:28
    Уважаемый доктор Castro,
    Вы абсолютно правы, что абсолютных показаний к ампутации нет. И как говорится "клиент всегда прав".
    К сожалению на первичной и последующей рентгенограммах не видно, что творится с голеностопным суставом. Если вилка суства сохранена, то есть смысл побороться за конечность. Интересно, увитеть, что твориться с голеностопным суставом.
    В любом случае желаю удачи.
    С уважением Андрей Крылов
    [ Ответить ]

    Re: Otkrity perelom (OI)
    Alexandre Sitnik 02 Июнь 2005, 01:34
    Может быть не совсем в тему, но... Скажите, а чем вызвана такая необычная компоновка аппарата: кольцевидный фиксатор и стержни? На первый взгляд так теряются преимущества монолатеральной стержневой фиксации (легкость перевязок) без достаточной компенсации достоинствами классического ВКДО Илизарова?
    [ Ответить ]

    Re: Otkrity perelom (OI)
    Андрей Крылов 02 Июнь 2005, 20:10
    "Необычная" фиксация, предполагает осуществление максимальной стабильности проксимального фрагмента б\б кости. Как ее добиться - дело лечащего врача. При всем уважении к монолатеральным фиксаторам, лучше пожертвовать неудобствами при перевязках, чем нестабильностью фрагментов. Если поставлена цель сохранения конечности, то на данном этапе стабильность это - пункт № 1.
    Крылов Андрей


    [ Ответить ]

    • Re: Otkrity perelom (OI)
      Отправитель: Ситник Александр 04 Июнь 2005, 10:59
      Стабильность между фрагментами при дефекте около 10 см? Не слишком ли натянуто?

      [ Ответить ]
      • Re: Otkrity perelom (OI)
        Отправитель: Dr. Castro 04 Июнь 2005, 20:11
        Uvazaemy Dr. Alexander,
        Ito vizvanno tem, chto, ja hotil dobitsa bistreshei stabilnoi fiksasii, chto bi dat' sosudestomu hirirgu vozmoznost' rabotat' po medialno-zadnoi poverhonoste, u menjia nibilo dostatochnoe vremjia, dla togo, chto bi provodit' spisy, ih natiagivat' i t.d. i t.p. pre itom ja ni narushal prinsepov vneshnei fikasii dla fixasii poddobnih perelomov. U manjia bili pod rukoi fixatory Hoffmana, i drugie unilateral fixatores, no ja ni stal imi polzovatsa, potomuchto, na moi vzglad', oni malo effectivnie dla dannogo vida povrezdenjia, t.k., oni sozdaiot bol'shoi richag, v rezultate- ita vliaet na stabil'nost', ossobenno v distalnih otdelah, ito kak pravilo, prevodit' k zametnomu oteku nize pereloma, a tut mi smogli provodit'sterzny v teh ploskostiah, kororie nam udobnie v udobnih mestah sobludjia prinsepov "bistro, stabilno, minimalno"
        Malo togo, Unilateral frames, ni sposobnie k dalnishemu razvetio, i rano ili pozdno predetsa perehodit' na Ring fixators, tak, chto luche iz nih i nachinat', a voprochem, u kazdego vracha est' vsai vzglady i biomechanicheskie soobrazenjia na opredelennio temu, u opredellnogo bolnogo, i ni vazno kakogo sveta koshky, i vazno chto ona lovit' mish'.
        Sposibo za Vashe Uchastie
        Castro

        [ Ответить ]

     

    ( Ответить )

    Powered by Zope  Squishdot Powered MedLink
    Посетитель: 0398893
      "По форме правильно, а по существу - издевательство" В.И.Ленин
    ©2001-2019Orthoforum Coordinator.
    [ Главная | Отправить сообщение | Поиск | Админ ]