AOTRAUMA.ORG Центр Илизарова  

Ортопедия и травматология Общие вопросы/General questions Help Информационные технологии в медицине
 вверх
 отправить
 поиск
 админ
 главная


Humeral pseudoarthrosis
Ортопедия и травматология Отправлено Josep M. Muсoz Vives 06 Июль 2005, 00:23
Dear list members:
I would like your opinion in this case.
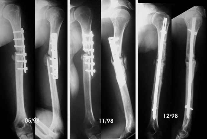
A 30 yo woman suffered 8 years ago an accident.

She was close to a tractor power take-off and her clothes caught her. She was pulled towards the tractor and suffered several rib fractures and this humeral fracture (AO-OTA 12-B2). No radial paralysis. She was fixed with Hackettal elastic nailing.
Six months later there was no signs of healing so she accepted to revise the fracture. We used compression plating and autologous iliac bone grafting on April 98.
By the end of May, she complained of sudden pain during physiotherapy, and came with the bottom left x-Ray. We advised to revise the operation, but she wanted to wait in a brace, but by November the humerus hadn't healed so we advised to remove the plate, add more bone graft and nail it. Which we did.
The patient regained full motion and used the arm almost freely till now. She has been working as waitress, postman... although the x-ray never showed healing. She has never wanted to be operated again because the limb was almost pain free.
She come again to my office about 2 months ago complaining of pain, she was carrying an X-ray in which it was visible that the nail was broken.Mysteriously those x-rays are lost, and in a new x-Ray I token, I couldn't see the fracture in the nail.
Anyway. What would be your advice? Renailing or replating, or something else.
Thanks in advance.
Dr. Josep M. Muñoz Vives
Orthopaedic Surgery Department
Hospital Universitari de Girona 'Dr. Josep Trueta'
Girona
Catalonia
Spain

<  |  >

 

  • Сообщения о Ортопедия и травматология
  • Также Josep M. Muсoz Vives
  • Связаться с автором
  • Ответить

    Re: Humeral pseudoarthrosis
    Jeffrey Anglen 06 Июль 2005, 00:29
    My vote would be for re-plating with a longer plate - about 10 holes. Of course, you only need to put 2-3 screws on each side. I would also re-bone graft or use recombinant BMP, and I also use implantable bone stimulators in patients, particularly on their third nonunion operation. If there are any systemic factors (tobacco, malnutrition, diabetes), try to correct or optimize those first. Try to get her to limit her lifting, carrying, etc. post-op until it is healed - I would allow exercise under the supervision or instruction of a therapist.



    Jeff Anglen, MD

    Professor and Chairman, Department of Orthopaedics

    Indiana University School of Medicine
    [ Ответить ]

    • Re: Humeral pseudoarthrosis
      Отправитель: Nik Wolfson 06 Июль 2005, 12:09
      Hello Jeff:

      It is great to see on russian ortho site.

      How is life in Indiana?

      Nik Wolfson

      [ Ответить ]
    Re: Humeral pseudoarthrosis
    Castro 06 Июль 2005, 19:56
    Hi Dr. Josep,
    Have a nice day,
    This hypertrophic nonunion have to be treated by Ilizarov principles of close distraction-compression osteosynthesis.
    By my opinion, if the nail is not broken, don▓t remove it, and apply Ex. Fix, with 2-3 pins in each part, then distraction for 7mm-10mm., followed by compression over nail, without any refreshment or opening of the fracture site > If the nail is broken, you can remove the proximal part of the nail only, by this way, you▓ll get a nice healing after 12 weeks approximately.
    Yours Dr. Castro
    Jordan



    [ Ответить ]

    • Re: Humeral pseudoarthrosis
      Отправитель: George Thomas 07 Июль 2005, 14:15
      I would vote for removal of the nail and reosteosynthesis with a long plate (10 holes) leaving the screw holes near the fracture site empty. I would probably use 3 screws in each fragment, but could go up to 4. I would also use cancellous bone graft.

      [ Ответить ]
      • Re: Humeral pseudoarthrosis
        Отправитель: Jeff Brooks 07 Июль 2005, 14:18
        I also vote for nail removal, ORIF with long (10-12 hole) plate - maybe a "wave plate" configuration, with autologous iliac crest graft underneath.

        Also, ultrasound or e-stim postop will be of benefit.

        There may also be a role, depending on availability and financial resources, for OP-1 (BMP 7).

        Good luck. Please let us know what you do.

        Jeff Brooks
        Stamford, CT

        [ Ответить ]
        • Re: Humeral pseudoarthrosis
          Отправитель: Bill Burman 07 Июль 2005, 14:27
          >I also vote for nail removal, ORIF with long (10-12 hole) plate - maybe a
          >"wave plate" configuration, with autologous iliac crest graft underneath.

          For "wave plate" example - see Lawrence Webb's OTA BFC Lecture

          [ Ответить ]

     

    ( Ответить )

    Powered by Zope  Squishdot Powered MedLink
    Посетитель: 0100582
      "По форме правильно, а по существу - издевательство" В.И.Ленин
    ©2001-2019Orthoforum Coordinator.
    [ Главная | Отправить сообщение | Поиск | Админ ]