AOTRAUMA.ORG Центр Илизарова  

Ортопедия и травматология Общие вопросы/General questions Help Информационные технологии в медицине
 вверх
 отправить
 поиск
 админ
 главная


консультация
Ортопедия и травматология Отправлено Сергей 17 Июль 2005, 17:41 МУЗ Гор. Больница №7 г. Комсомольск-на-Амуре
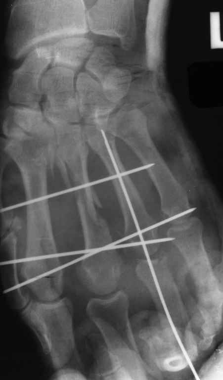
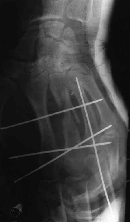
Диагноз на 15.07.05: Стойкая смешанная дермотеногенная контрактура 3,4 пальца правой кисти 3 степени.
Запрос: дальнейшая тактика лечения.МУЗ Гор. Больница №7 г. Комсомольск-на-Амуре

<  |  >

 

  • Сообщения о Ортопедия и травматология
  • Также Сергей
  • Связаться с автором
  • Ответить

    Re: консультация
    Alexander Chelnokov 18 Июль 2005, 00:25
    Чтобы получить содержательный ответ, надо бы представить побольше "информации к размышлению" - когда травма, что сделали, что сейчас на снимках, какова амплитуда движений, неплохо бы показать клинические фото, какие доступные варианты действий рассматриваются, в чем сомнения...
    А по одному диагнозу, к тому же странному (что такое смешанная контрактура?), и снимкам то ли при поступлении, то ли еще когда, вряд ли что-то конструктивное удастся подсказать. Общие советы по лечению посттравматических контрактур кисти и пальцев можно и в книжках посмотреть.



    [ Ответить ]

    Re: консультация
    Юрий Алексеевич Булахтин 18 Июль 2005, 01:02
    Хотелось-бы знать анамнез (особенно профессию),а также посмотреть фото с функцией кисти.

    --
    С уважением,
    Юрий Алексеевич Булахтин
    Главный травматолог
    Камчатского Военно-морского госпиталя
    [ Ответить ]

    Re: консультация
    Виталий Евгеньевич Казённов 18 Июль 2005, 09:09
    Рекомендуем:
    -- удалить спицы;
    -- сделать рентгенограмму;
    -- прислать выписку из медицинской карты.

    Если есть необходимость -- направляйте пациента к нам.

    С надеждой на сотрудничество,

    Виталий Евгеньевич Казённов,
    доц. кафедры травматологии-ортопедии ДВГМУ;
    Отделение микрохирургии и травмы кисти
    Краевой клинической больницы № 2
    [ Ответить ]

    Re: консультация
    С.В.Фомин 19 Июль 2005, 10:51






























































    Диагноз: Стойкая Смешанная дермотеногенная контрактура 3,4 пальца правой кисти.
    Запрос: дальнейшая тактика лечения.

    Фомин С.В.
    [ Ответить ]

    • Re: консультация
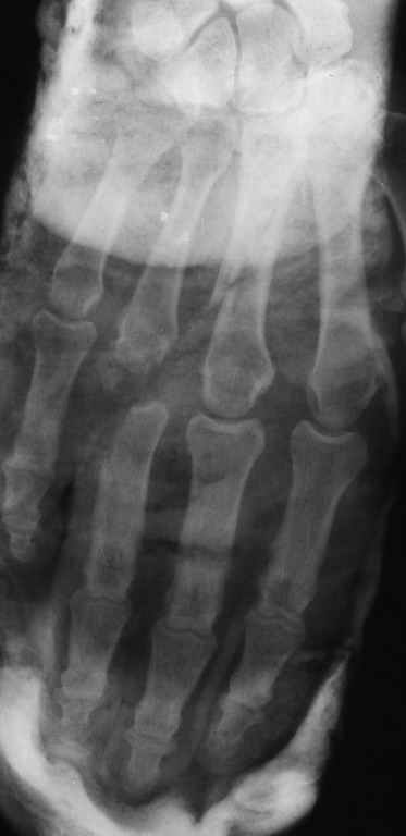
      Отправитель: Виталий Евгеньевич Казеннов 19 Июль 2005, 18:08
      Здравствуйте, уважаемый С.В.Фомин (извините, не знаю Вашего имени
      отчества)!

      Судя по выписному эпикризу, рентгенограммам и фотографиям, пациенту
      показано этапное лечение.

      К сожалению, мне непонятна локализация кадра
      (прилагаю).











      Это 3 или 4 межпальцевой промежуток? Гранулирующая рана или свищ?
      Есть ли отделяемое в зоне тенара?
      Что было с нервами?
      Каков вообще механизм травмы?
      Чем шили сухожилия?
      Каков сейчас объем активных и пассивных движений?
      Каков род занятий пациента и как он сам настроен на лечение?
      Какое лечение проводите в данный момент?

      При необходимости Вы можете направить больного в нашу клинику.

      С уважением,

      Виталий Евгеньевич Казённов,
      Отделение микрохирургии и травмы кисти
      Краевой клинической больницы № 2,
      доцент кафедры травматологии-ортопедии


      [ Ответить ]
    Re: консультация
    Александр Геннадьевич Рыков 20 Июль 2005, 13:35
    Тактически правильно больного направить по направлению в узкоспециализированное отделение для консультации, тем паче, что это просто и недорого. В Хабаровку его! В отделение кисти! и ничего не нужно придумывать Вам. С Ув. А Рыков.
    [ Ответить ]

    Re: консультация
    Ким А.П. 20 Июль 2005, 20:40
    Зачем спица в 4 Пястной кости?
    [ Ответить ]


    ( Ответить )

    Powered by Zope  Squishdot Powered MedLink
    Посетитель: 0151217
      "По форме правильно, а по существу - издевательство" В.И.Ленин
    ©2001-2019Orthoforum Coordinator.
    [ Главная | Отправить сообщение | Поиск | Админ ]