AOTRAUMA.ORG Центр Илизарова  

Ортопедия и травматология Общие вопросы/General questions Help Информационные технологии в медицине
 ВХОД ДЛЯ ПАЦИЕНТОВ
 вверх
 поиск
 админ
 главная


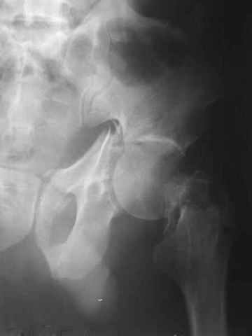
Перелом acetabulum и проксимального отдела бедра
Ортопедия и травматология Прислано Alexander Chelnokov 16 Август 2005, 21:35
из
Сегодня из области к нам переведен мужчина 45 лет, 18 суток назад попал в автоаварию. Имеется перелом лонных и седалишных костей, двухколонный перелом вертлужной впадины, перелом шейки бедра и большого вертела. Еще и перелом проксимального отдела большеберцовой кости на этой же стороне, без больших смещений и импрессии.
Пока обсуждаем два основных варианта - 1)открытая репозиция вертлужной впадины, используя то, что вертел сломан. Попутно остеосинтез шейки винтами, а после и вертела. 2)А исходя из того, что в таком смещении головка бедра уже более двух недель и аваскулярный некроз ожидаем, возможно, первичное эндопротезирование было бы более оправдано. Но и оно проблематично из-за перелома впадины, при котором и крыло сломано.

Какие будут предложения, советы? На какие грабли особенно вероятно наступить при эндопротезировании в такой ситуации? Или оставить впадину как есть, уповая на вторичную конгруэнтность, а сосредоточиться на остеосинтезе проксимального отдела бедра - как и чем лучше? Есть ли еще какие-то варианты для осбуждения? Заранее спасибо.

A male 45 y.o. referred to our unit today. 18 days ago in a car accident sustained a fracture of pelvis, both column acetabular fracture, femoral neck and trochanteric fracture. There is also ipsilateral fracture of the proximal tibia but relatively not severe.

Two options are now discussing - 1)open reduction of the acetabulum through the broken trochanter, with ORIF of the neck at the same time. 2)Since the head is detached for more than 2 weeks and avascular necrosis is very likely, probably primary total hip replacement would be more reasonble. But it is also problematic in two column acetabular fracture and broken proximal femur.

Seeking your advice. What are most likely problems with THR in the situation? Or maybe leave the acetabulum as is and set hopes on secondary congruity, and concentrate at the proximal femur - what method of fixation would be most suitable? Any more option to discuss? THX in advance.

Послать ответ

Имя
Email
Уведомление Сообщить мне по e-mail об ответах на это сообщение
Название
Комментарий
(Проверьте URL! Не забудьте написать http://!)
Кодировка
Если не знаете, что выбрать, выберите "Просто текст"!
Приложение
Можно приложить к сообщению файл c изображением, который затем будет доступен увидевшим сообщение.
Подготовка иллюстраций:
  • Рентгенограммы: черно-белые полутоновые изображения в формате JPEG (8 bit, greyscale) с разрешением от 300х200 до 1024х768 пикселов;
  • Клинические фотографии: полноцветные изображения в формате JPEG (24 bit, truecolor) с разрешением от 300х200 до 1024х768 пикселов;
  • Схемы и рисунки: черно-белые (2 bit) штриховые (line-art) изображения в формате GIF или compressed TIFF
  • Подберите степень сжатия файла JPEG и размер изображения таким образом, чтобы необходимые детали были различимы, но размер файла не превышал 75 кб.
  • Учтите, что текущая версия программного обеспечения Форума позволяет приложить к одному сообщению лишь один файл-вложение. Поэтому, если необходимо отправить несколько изображений, можно либо послать каждое как отдельное сообщение, либо в графическом редакторе объединить изображения в одно (сделать коллаж).
  • Если при подготовке изображений встречаются трудности, не стесняйтесь обратиться к координатору Форума.

  • Введите видимые символы в обратном порядке. Enter the above characters in reverse order (*Обязательно)
    В тексте сообщения можно использовать теги HTML <B> <I> <P> <A> <LI> <OL> <UL> <EM> <BR> <TT> <HR> <STRONG> <BLOCKQUOTE> <DIV .*> <DIV> <P .*>
  • Обратите внимание: Поля с жирными названиями обязательны.
  • Старайтесь отвечать в рамках обсуждаемой темы, а не начинать новые обсуждения.
  • Указывайте адекватную тему сообщения, чтобы было ясно, о чем оно.
  • Не послайте сообщений не по теме (оффтопик), раздраженных, грубых или обидных комментариев. Здесь это неуместно.
  • Powered by Zope  Squishdot Powered MedLink
    Посетитель: 0168922
      "По форме правильно, а по существу - издевательство" В.И.Ленин
    ©2001-2019Orthoforum Coordinator.
    [ Главная | Отправить сообщение | Поиск | Админ ]