AOTRAUMA.ORG Центр Илизарова  

Ортопедия и травматология Общие вопросы/General questions Help Информационные технологии в медицине
 вверх
 отправить
 поиск
 админ
 главная


чрезмыщелковый перелом
Ортопедия и травматология Отправлено Anton Vladzymyrskyy 07 Сентябрь 2005, 22:13
Уважаемые коллеги! Мужчина, 28 лет. 1 сутки назад получил бытовую травму - закрытый чрезмыщелковый перелом правой плечевой кости со смещением. По месту жительства в ЦРБ - репозиция, иммобилизация. Направлен к нам.
Место болезни без особенностей, неврологических и сосудистых расстройств нет. Принято решение об оперативном лечении - чрескостный остеосинтез.Предложения по конструкции АВФ (т.к. мнения расходятся)? Заранее благодарю! С уважением,А.В.ВладзимирскийДонецкий НИИ травматологии и ортопедииДонецк, Украина

<  |  >

 

  • Сообщения о Ортопедия и травматология
  • Также Anton Vladzymyrskyy
  • Связаться с автором
  • Ответить

    Re: чрезмыщелковый перелом
    Alexander Chelnokov 07 Сентябрь 2005, 22:16
    AV> Предложения по конструкции АВФ (т.к. мнения расходятся)?

    А какие были мнения?

    Закрыто сопоставить суставную поверхность тут даже с усилителем рентгеновского изображения крайне проблематично. А уже если открывать -
    аппарат вряд ли самый практичный вариант окончательной фиксации. Надо бы две пластиночки - по медиальной и задне-латеральной поврехностям...

    Но уж если "пистолет куплен и придется застрелиться", то через мыщелки во фронтальной плоскости 3-4 спицы с упором встречно, опору на этом уровне 3/4 кольца, на диафизе - непринципиально, можно со спицами полукольцо вверху и кольцо над переломом, можно со стержнями
    линейную.
    [ Ответить ]

    Re: чрезмыщелковый перелом
    Alexander Rykov 07 Сентябрь 2005, 22:17
    В\суставной перелом - идеальная репозиция (возможно только открыто и оперативно) - жесткая фиксация - можно и апппаратом (или комбинация) - ранняя функция - можно и в аппарате!
    Остальное не принципиально. Только скорейше! С уважением А Рыков. Хабаровка. Д-а-а-аальний
    Восток. .
    [ Ответить ]

    • Re: чрезмыщелковый перелом
      Отправитель: Alexander Artemiev 08 Сентябрь 2005, 09:08
      Здравствуйте, коллеги.
      РАГ> В\суставной перелом - идеальная репозиция (возможно только открыто и оперативно)

      Не соглашусь. Можно и аппаратом.

      РАГ> . Только скорейше!
      Подписываюсь. Тянуть не надо.

      А если по делу, то даже не знаю как подробно и доступно написать. Буквально на днях сделал почти такой же - но как научить заочно не представляю.
      Действительно не смогу донести...
      Жаль. Надо рисовать, а некогда...

      Удачи.
      С уважением Александр Артемьев

      [ Ответить ]
      • Re: чрезмыщелковый перелом
        Отправитель: Alexander Chelnokov 08 Сентябрь 2005, 11:31
        a> Буквально на днях сделал почти такой же - но как научить заочно не
        a> представляю.

        Как делали репозицию?

        a> Действительно не смогу донести...
        a> Жаль. Надо рисовать, а некогда...

        А фотографий в операционной не делаете?

        [ Ответить ]
    Re: чрезмыщелковый перелом
    Alexander Zolotov 09 Сентябрь 2005, 14:10
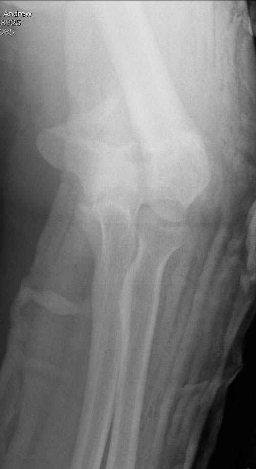
    Солидарен с мнением обоих Александров (Челнокова и Рыкова): точную репозицию такого перелома вряд ли удастся выполнить закрыто. Даже во время открытого вмешательства это сделать непросто. Неслучайно предложен костно-пластический доступ с временным отсечением локтевого отростка. И по методу фиксации согласен с Александром Челноковым: 2 пластины. В качестве примера привожу рентгенограммы одного из наших пациентов с аналогичным повреждением.






















    С уважением, А. Золотов, Приморский край.


    [ Ответить ]

    Re: чрезмыщелковый перелом
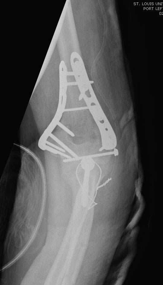
    Djoldas Kuldjanov, M.D. 09 Сентябрь 2005, 20:07
    Примерный случай, только перелом был открытый, в задне-медиальной стороне рана около 2 см по характеру "изнутри кнаружи", неврологический статус со слабостью сгибания мизинца, также слабая абдукция и аддукция указательного пальца и сгибания в кисти.
    Больному сделали обработку и наложили временный аппарат внешной фиксации плечо-предплечье.
    На шестой день сделали открытую репозицию чрезлоктевым доступом двумя locking plate, локтевой нерв был ушибленным, после операции положительная динамика в Flexor Carpi Ulnaris. Фиксацию локтевого отростка произвели tension band technique с дополнительным шурупом.
    Этапы операции на снимках....




















































    Джолдас Кульджанов


    Djoldas Kuldjanov, MD
    Department of Orthopedic Surgery
    St. Louis University Medical Center


    [ Ответить ]

    Re: чрезмыщелковый перелом
    Anton Vladzymyrskyy 10 Сентябрь 2005, 17:38
    Коллеги!
    Всем большое спасибо за комментарии и, особенно, за иллюстрации аналогичных случаев. Снимки из операционной очень низкого качества :( В течение ближайших дней их повторят, и я пришлю их.
    Спасибо!

    С уважением,
    А.В.Владзимирский
    [ Ответить ]

    Re: чрезмыщелковый перелом
    Мыльников Алексей 10 Сентябрь 2005, 17:38
    Трудно не согласиться с коллегами - только открыто и только пластинами - одной или двумя не суть важно, но задним доступом с временной резекцией олекранона! Снимки отсылать не буду итак много примеров

    [ Ответить ]

    Re: чрезмыщелковый перелом
    Абдукахар 14 Сентябрь 2005, 02:31
    Уважаемый Anton Vladzymyrskyy!
    При внутрисуставном переломе-идеальная репозиция приветствуется,по необязательно.Необходимо закрытая репозиция аппаратом Илизарова и создать условия для раннего о восстановления функции локтевого сустава.
    Красиво репонированный перелом без функции кому нужен!
    Ташкент Бабакулов Абдукахар
    [ Ответить ]

    • Re: чрезмыщелковый перелом
      Отправитель: Alexander Chelnokov 14 Сентябрь 2005, 20:27
      А> При внутрисуставном переломе-идеальная репозиция
      А> приветствуется,по необязательно.

      А на чем основано мнение, что необязательно?

      А> Необходимо закрытая репозиция аппаратом Илизарова и создать условия
      А> для раннего о восстановления функции локтевого сустава.

      Сквозное прошивание спицами и стержнями околосуставных тканей вряд ли можно считать способствующим функции сустава...


      А> Красиво репонированный перелом без функции кому нужен!

      Не раз доводилось видеть - и некрасиво, и без функции.

      [ Ответить ]
    Re: чрезмыщелковый перелом
    Alexander Artemiev 14 Сентябрь 2005, 16:19
    Здравствуйте, коллеги.
    Спровоцировали вы меня...
    МА> Трудно не согласиться с коллегами - только открыто и только пластинами
    С коллегами не согласиться легко. Не обязательно открыто и не
    обязательно пластинами или чем там ещё...

    МА> Снимки отсылать не буду итак много примеров
    Снимки - во вложении.


















    Женщина 42 лет, операция через неделю после перелома.
    Д-з - открытый перелом мыщелков со смещзением и локтевой кости
    без смещения - падение с лошади.
    До операции снимки не очень, тем более в гипсе.
    Остеосинтез закрытый (если так можно выразиться), т.е. без
    разрезов. Длительность операции - около 1,5 часа со студентом.
    6 щелчков ЭОПом.

    Кстати, Аршак Мирзоян. Если читаешь - это та тётенька, по
    поводу которой ты хлопотал.

    Есть и более сложные (на мой взгляд) случаи, которые мне
    довелось успешно вылечить закрыто.
    Я так понимаю, не последний раз возвращаемся к этой теме.
    Подготовлюсь - напишу подробнее и обстоятельнее.



    Удачи всем
    Александр Артемьев
    [ Ответить ]

    • Re: чрезмыщелковый перелом
      Отправитель: Максим Агалаков 14 Сентябрь 2005, 18:11
      И как часто вам удается получить такую симпатичную рентгенологическую картинку при Т-образных переломах, особенно с импрессией суставной поверхности? А без ЭОПа? Какого обьема движений достигаете в итоге?


      [ Ответить ]
      • Re: чрезмыщелковый перелом
        Отправитель: Alexander Artemiev 15 Сентябрь 2005, 19:53
        Здравствуйте.
        МА> И как часто вам удается получить такую симпатичную рентгенологическую
        МА> картинку при Т-образных переломах ,
        Мой опыт не могу назвать исчерпывающим - где-то 7-8 наблюдений.
        Всегда получалось хорошо. У меня сохранились несколько прослеженных "от и до" случаев - отцифрую и вышлю.
        Примерно столько же случаев и открытой репозиции с внутренним остеосинтезом.
        Результаты сравнимы по качеству - и в-основном хорошие в обеих группах, хотя специально этой темой я не занимался.

        МА> особенно с импрессией суставной
        МА> поверхности?

        С импрессией невозможно сделать репозицию закрыто, хотя это встречается не очень часто. Но открытая репозиция не исключает внешнюю фиксацию.

        МА> А без ЭОПа?
        Вот с ЭОП-ом как раз делал впервые. Раньше работал в больнице, где его просто не было.
        А без ЭОПа стараюсь обходиться четырьмя снимками:
        - два - прямая и боковая проекция с маркерами после вытяжения на ортопедической приставке (в данном случае - модель, предложенная Павлом Ивановым из Склифа);
        - ещё два - также прямая и боковая проекция после проведения впиц и монтажа аппарата (фактически в конце операции). Больше, как Вы понимате, рентгенлаборантки не очень приветствуют.



        МА> Какого обЪема движений достигаете в итоге?

        Разные переломы бывают, и это отроажается на результате.
        Как правило в пределах 90-110 градусов (бывает и полное).
        Давайте я прослежу данный случай и доложу резельтат.
        А также подробно опишу методику и принципы.

        С уважением Александр Артемьев

        [ Ответить ]
        • Re: чрезмыщелковый перелом
          Отправитель: Максим Агалаков 16 Сентябрь 2005, 12:19
          Огромное спасибо за столь подробный коментарий. Согласен, что открытая репозиция не исключает внешнюю фиксацию (я так понял, что АВФ имеются ввиду), однако в чем здесь плюсы? Зато есть сложности при оценке качства репозиции - "закрывает железо", что, в общем, бывает нередко.
          Кроме того, даже Вы затрудняетесь в описании репозиции, это, конечно, процесс творческий, а методики открытой репозиции и внутренней фиксации доступно описаны в современных руководствах, доступ очень удобен.
          Я тоже работал в обычной больнице, без ЭОЛа и после перехода на внутреннюю фиксацию общее впечатление было очень восторженным.
          Функциональные результаты были лучше, раньше, понятно, лечили аппаратами. Хотя, конечно, четкой статистики не велось, результаты особо никто не сравнивал - обычная больница. Да и пациентам комфортнее без аппаратов.

          С уважением Максим Агалаков.


          [ Ответить ]
    • Re: чрезмыщелковый перелом
      Отправитель: Arshak E. Mirzoyan 14 Сентябрь 2005, 18:14
      Все грамотно Саныч, не зря я хлопотал
      АМ

      [ Ответить ]

     

    ( Ответить )

    Powered by Zope  Squishdot Powered MedLink
    Посетитель: 0203591
      "По форме правильно, а по существу - издевательство" В.И.Ленин
    ©2001-2019Orthoforum Coordinator.
    [ Главная | Отправить сообщение | Поиск | Админ ]