AOTRAUMA.ORG Центр Илизарова  

Ортопедия и травматология Общие вопросы/General questions Help Информационные технологии в медицине
 вверх
 отправить
 поиск
 админ
 главная
 Предыдущее
 Весь тред


Re: Деформация голеней
T. Derek V. Cooke 13 Сентябрь 2005, 23:51
Hello Alex:
Thanks for the clinical photo.
Your patient appears to have "Insquinting Knees"?
I am attaching a word doc with a 'print screen' of the program in use, showing the images being viewed and analysed








. On the right leg you can see some of the tools (from the tool bar above) applied to demonstrate a mild mech-axis varus of about 5 degrees.
On the left the bone landmarks used in the anlaysis are shown.
The data for the analysis are in the XLs sheet below, exported from the program automatically.
I have given a label of the abreviations and some normative values.
In essence she has a mild mech-axis varus of 7 degrees with some contribution from the femur (2) degrees and more from the tibia (6 degrees), none from the joint.
The analysis took about 6 mins.
Regards
Derek
  • Сообщения о Ортопедия и травматология
  • Также T. Derek V. Cooke
  • Связаться с автором
  • Ответить

    Re: Деформация голеней
    Alexander Chelnokov 14 Сентябрь 2005, 00:00
    TDVC> Your patient appears to have "Insquinting Knees"?

    Exactly.

    TDVC> In essence she has a mild mech-axis varus of 7 degrees
    TDVC> with some contribution from the femur (2) degrees and more from
    TDVC> the tibia (6 degrees), none from the joint.

    And what is conclusion? Should it be corrected, by what means, at what level, to what axis, with what lateral/medial translation?

    TDVC> The analysis took about 6 mins.

    THX to all people discussed the case.

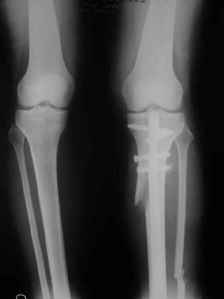
    Yesterday i performed correction of one leg (the plan to make both in one session was cancelled because of some external reasons). Suggestions of Nuno Lopes were most close to my view. A small wire distractor was used intraoperatively. Derotation ~6-7 degrees was performed also. CT scans evaluating rotation will be available only
    tomorrow. No problem to change rotation of the operated limb in the moment of the second surgery. Comments/critics are welcome.













    Can the attached result be analyzed by the software?
    [ Ответить ]


    ( Ответить )

    Powered by Zope  Squishdot Powered MedLink
    Посетитель: 0180421
      "По форме правильно, а по существу - издевательство" В.И.Ленин
    ©2001-2019Orthoforum Coordinator.
    [ Главная | Отправить сообщение | Поиск | Админ ]