AOTRAUMA.ORG Центр Илизарова  

Ортопедия и травматология Общие вопросы/General questions Help Информационные технологии в медицине
 вверх
 отправить
 поиск
 админ
 главная
 Предыдущее


Re: Деформация голеней
Alexander Chelnokov 13 Сентябрь 2005, 23:23
a> Совершщенно беспредметный спор. Лучше бы спорили как менее травматично
a> делать остеотомию большеберцовой.

Как уже писал, вчера сделал одну ногу (может, свой плюс будет что не обе- вдвое меньше травма, сразу на костыли встанет, оперированную ножку немного разомнет, тут и вторую заделаем).
Операция была интересной, много полезного опыта приобрел.
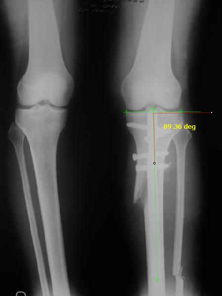
Снимки в приложении - фас сравнительный с неоперированной ногой. Жду критики.













Впрос про остеотомию большеберцовой непраздный. Эта получилась при надломе несколько более наклонно, чем я делал (сейчас проблема,
как на второй ноге сделать так же). Вот этот высоящий "зуб" центрального отломка не заменит ли в плане косметики то, что получается при медиализации дистального?
  • Сообщения о Ортопедия и травматология
  • Также Alexander Chelnokov
  • Связаться с автором
  • Ответить

    Re: Деформация голеней
    T. Derek V. Cooke 14 Сентябрь 2005, 18:23
    Hi Alex:

    Nice job!
    It is very interesting to me that as you have derotated the tibia you have centred the patella, I think and the prox tibia looks much more anatomic.
    The analysis in the attached images is direct, just using the tools.













    Tibial tilt is perhaps more than you want but the tibial correction is to 90 (very slight over
    correction.
    Will need full length views to tell us about the hka but it appears neutral.
    Measurements took 4 mins
    Derek
    [ Ответить ]

    • Re: Деформация голеней
      Отправитель: Alexander Chelnokov 15 Сентябрь 2005, 19:46
      TDVC> Nice job!

      Thx.

      TDVC> It is very interesting to me that as you have derotated
      TDVC> the tibia you have centred the patella, I think and the prox
      TDVC> tibia looks much more anatomic.

      But it results with approproiate external rotation of the hip. What problems does it solve and generate?

      TDVC> Tibial tilt is perhaps more than you want

      Tibial tilt remains unchanged. According to Paley's "Principles of deformity correction" normal range of proximal posterior tibial angle is 80+/-3.5 degrees.

      TDVC> but the tibial correction is to 90 (very slight over
      TDVC> correction.

      Or just in upper part of normal range?

      [ Ответить ]
      • Re: Деформация голеней
        Отправитель: T. Derek V. Cooke 15 Сентябрь 2005, 19:49
        Hello Alex:

        The 'insquint', Patella 'looking in' with feet ahead, is a due to tibail Ext malrotation.

        Cooke, T.D.V., Price, N., Fischer, B., Hedden, D. (1990): The inwardly pointing knee. An unrecognized problem of external rotational mal-alignment. Clin. Orthop., 260:56-60.

        Whether by intention or design I think you derotated this with your osteotomy.

        Did you show us the preop tibial alignment? Our data for posterior tibial tilt is a mean of closer
        to 10 degrees (Yoshioka, Y., Siu, D., Scudamore, R.A., Cooke, T.D.V. (1989) Tibial anatomy and functional axes. J. Orthop. Res., 7:132-137.)

        Regards
        Derek

        [ Ответить ]

     

    ( Ответить )

    Powered by Zope  Squishdot Powered MedLink
    Посетитель: 0174310
      "По форме правильно, а по существу - издевательство" В.И.Ленин
    ©2001-2019Orthoforum Coordinator.
    [ Главная | Отправить сообщение | Поиск | Админ ]