AOTRAUMA.ORG Центр Илизарова  

Ортопедия и травматология Общие вопросы/General questions Help Информационные технологии в медицине
 вверх
 отправить
 поиск
 админ
 главная
 Предыдущее


Re: Деформация голеней
Bagrat Grygoryan 20 Сентябрь 2005, 07:02
>Болезнь Блаунта например?
>Варус?
>Варус...
>Эстетика?
>Эстетика...
>А потому любой детский ортопед должен (!!!) при коррекции варуса думать и об эстетике...


Уважаемые коллеги, много работ посвящено коррекции деформаций конечностей (варусной, вальгусной, торсионной), НЕ ВАЖЕН способ фиксации, важен подход – правильная биомеханическая коррекция, что достигается правильным определением уровня деформации (бедро, голень) и соответственно, правильным определением уровня коррекции.
Аппаратная коррекция очень грамотно изложена в диссертации Белокрылова Николая Михайловича «Хирургическая тактика лечения деформирующего гонартроза» Пермь 1998г. В моей работе описаны методы коррекции с накостным остеосинтезом. «Корригирующие операции в лечении гонартроза» Москва 2003г.
С уважением Баграт Степанович.

























  • Сообщения о Ортопедия и травматология
  • Также Bagrat Grygoryan
  • Связаться с автором
  • Ответить

    Re: Деформация голеней
    Alexander Chelnokov 20 Сентябрь 2005, 07:10
    GBS> ВАЖЕН способ фиксации, важен подход – правильная биомеханическая
    GBS> коррекция, что достигается правильным определением уровня
    GBS> деформации (бедро, голень) и соответственно, правильным
    GBS> определением уровня коррекции.

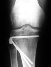
    Большая просьба прокомментировать прилагавшиеся снимки. Видно, что сделано что-то красивое, но не совсем понятно, по какому поводу, как рассчитывалась коррекция, и что именно сделано.

    GBS> методы коррекции с накостным остеосинтезом. «Корригирующие
    GBS> операции в лечении гонартроза» Москва 2003г.

    А как это почитать? Заранее спасибо.
    [ Ответить ]

    • Re: Деформация голеней
      Отправитель: Bagrat Grygoryan 20 Сентябрь 2005, 07:17
      Уважаемый Александр,
      Поводом для проведения всех корригирующих остеотомий у исследуемых пациентов служил гонартроз 1-3 стадии, косметическая коррекция в большинстве случаев являлась вторичной.
      Хотя любого больного она не в меньшей степени интересовала. При всех видах остеотомий обязательным требованием являлась восстановление баланса пассивных и динамических сил путем восстановления оси конечности, стабильности связочного аппарата и контроля над мышечной активностью при осевой нагрузке. Как правило, учитывалась сохранность гиалинового хряща на компенсирующем нагрузку мыщелке бедра или большеберцовой кости. Предоперационное планирование осуществляли с поднагрузочных рентгенограмм обоих конечностей.
      Дополнительными методами диагностики являлось измерение внутрикостного давления в зоне гипернагрузки и радионуклидные исследования нуклидами технеция. Применялись различные варианты остеотомий на различных сегментах. Для коррекции варусной-торсионной деформации:
      высокие плюс, минус остеотомии большеберцовой кости,косая остеотомия малоберцовой. Для коррекции вальгусной деформации применялась плюс, минус надмыщелковая остеотомия бедренной кости. Фиксацию при высокой подмыщелковой остеотомии производили уникальной клинковой пластиной и тяговыми кортикальными винтами. Угол коррекции выставлялся
      специальным угломером и направителем.





























      Подробно с работой можно ознакомится в ЦМБ. Пособие для врачей могу выслать на Ваш адрес.
      С уважением Баграт Степанович.

      [ Ответить ]
      • Re: Деформация голеней
        Отправитель: Alexander Chelnokov 20 Сентябрь 2005, 07:58
        Глубокоуважаемый Баграт,

        Tuesday, September 20, 2005, 12:32:39 AM, you wrote:

        GBS> варусной-торсионной деформации: высокие плюс, минус остеотомии
        GBS> большеберцовой кости,косая остеотомия малоберцовой.

        Плюс, минус - это при одной операции? В смысле, и иссекали небольшой клин, и оставляли открытый с другой стороны?

        GBS> остеотомии производили уникальной клинковой пластиной и тяговыми
        GBS> кортикальными винтами. Угол коррекции выставлялся специальным
        GBS> угломером и направителем.

        Очень интересно. Эти инструменты тиражируются?

        GBS> Подробно с работой можно ознакомится в ЦМБ.

        Ну, это для многих из нас как на Луне ;-) А в виде файла его не существует? Можно было бы разместить на http://weborto.net.

        GBS> Пособие для врачей могу выслать на Ваш адрес.

        Буду признателен, адрес в подписи указан.

        --
        Best regards,
        Alexander N. Chelnokov
        Ural Scientific Research Institute
        of Traumatology and Orthopaedics
        7, Bankovsky str. Ekaterinburg 620014 Russia

        [ Ответить ]
        • Re: Деформация голеней
          Отправитель: Bagrat Grygoryan 20 Сентябрь 2005, 21:19
          Глубокоуважаемый Александр,

          >Плюс, минус - это при одной операции? В смысле, и иссекали небольшой
          >клин, и оставляли открытый с другой стороны?

          В зависимости от баланса связок, комбинировали (+-)остеотомии или производили полную
          минус или плюс остеотомию









          Оригинальные инструменты фирмы Вальдемар Линк в 1997 году стоили около 3000 М, ничего сложного, есть предварительная договоренность о тиражировании с НПО "Остеомед", пластины уже есть в наличии.

          Файлы большие, более 10мб, если получите, отправлю! Могу скатать на диск и передать в ближайшее время. С уважением Баграт.



          [ Ответить ]
          • Re: Деформация голеней
            Отправитель: Alexander Zolotov 22 Сентябрь 2005, 05:59
            Глубокоуважаемый Баграт,

            Поделитесь, пожалуйста, опытом, как Вам удается выполнять такие качественные рентгеновские снимки всей ноги полностью? На трех кассетах одновременно? Стыки кассет обычно <крадут> 1-2 см изображения. На снимке Вашего пациента <украденных> участков нет!

            Не могли бы Вы выслать Ваше пособие для врачей и на мой адрес: 692 245 Приморский край, г. Спасск-Дальний, Больничный переулок 2, городская больница, травматологическое отделение, Золотову А. С.

            В свою очередь могу предложить собственную статью из американского журнала на родственную тему (устранение угловой деформации) с описанием ?little trick": Zolotov A. S. Reduction of an Angled Displacement Using the Ilizarov Apparatus // Orthopedics. - 2002. - Vol. 25, # 8. - P. 805-808. (303 kb)

            Best regards,
            Alexander
            www.drzolotov.narod.ru


            [ Ответить ]
            • Re: Деформация голеней
              Отправитель: Bagrat Grigoryan 23 Сентябрь 2005, 17:59
              Уважаемый Александр Сергеевич,
              Качественные под нагрузочные рентгеновские снимки, получаются благодаря современному рентгеновскому оборудованию фирмы SIEMENS, (подробности могу уточнить у рентгенологов), а качественно стыковать (прозрачный скотч) научились с годами, но это для публикаций, для работы достаточно скрепить степлером по анатомическим осям с учетом толщины диафизов и грамотно расчертить. Пособие с удовольствием отправлю.
              С интересом жду Вашей статьи

              С уважением Баграт Степанович.

              [ Ответить ]

     

    ( Ответить )

    Powered by Zope  Squishdot Powered MedLink
    Посетитель: 0174420
      "По форме правильно, а по существу - издевательство" В.И.Ленин
    ©2001-2019Orthoforum Coordinator.
    [ Главная | Отправить сообщение | Поиск | Админ ]