AOTRAUMA.ORG Центр Илизарова  

Ортопедия и травматология Общие вопросы/General questions Help Информационные технологии в медицине
 ВХОД ДЛЯ ПАЦИЕНТОВ
 вверх
 поиск
 админ
 главная


Обострение остeомиелита
Ортопедия и травматология Прислано Arshak Mirzoyan 21 Сентябрь 2005, 18:31
из
Больной 27 лет. Год назад ДТП, открытый перелом обеих голеней.
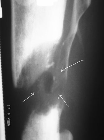
С места аварии в районную больницу, где произвели ампутацию правой голени. Дальше в клинику спец. помощи, где на левой голени были удалены нежизнеспосбные инфицированные отломки, (дефект 13 см) и наложен аппарат Гофмана. Детали неизвестны. Со слов больного, инфекционный процесс левой голени купирован не был. В феврале аппарат был снят и произведен остеосинтез гвоздем (before1;2). В мае, объективно: В нижней трети голени функционирует свищ, отделяемое гнойное: золотистый стафилокок, чувствительный к большинству антибиотиков.
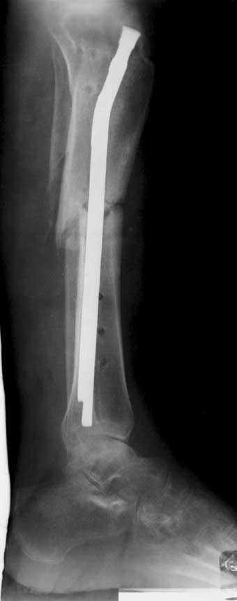
1 июня произведено удаление гвоздя, дренаж костномозгового канала, остеосинтез аппаратом Илизарова ( after 1; 2).
Ввиду относительной тугоподвижности ложного сустава и наличия признаков репаративной активности костной ткани рентгенологически, после 10 дней компрессии на стыке отломков, начали дистракцию по 1мм в день. Выписан на амбулаторное лечение. Отделяемое в нижней трети голени прекратилось, ранка закрылась. Интраоперационно и 5 дней после операции получал ципроксациллин. В июле по передней поверхности голени в зоне регенерата открылась ранка с обильным гнойным отделяемым. После локального лечения, ранка в течении двух недель эпителизировалась и полностью закрылась. Дистракцию не прекращали. (during 1, 2)
10 дней назад ранка на передней поверхности средней трети голени и по внутренней поверхности нижней трети голени, (по проекции стержня апп. Гофмана) открылись вновь. В настоящий момент отделяемого из обеих ран нет (wound1;2).
Рентгенологически определяется дистракционный регенерат удовлетворительной плотности и наличие в нем полости (now 1;2;3).
После последнего R- снимка 4 дня назад, аппарат переведен в режим фиксации.
Вопрос дальнейшей тактики.
1. Фиксировать?
2. Сбрасывать дистракцию?
3. Продолжать дистракцию по принципу Г.А. Илизарова <Инфекция сгорает в огне регенерации>?
Хотелось бы узнать мнение специалистов, имеющих соответствующий опыт.
Приму все соображения с благодарностью
Аршак Мирзоян
Ереванский Центр Реконструкции и Удлинения Конечностей

Послать ответ

Имя
Email
Уведомление Сообщить мне по e-mail об ответах на это сообщение
Название
Комментарий
(Проверьте URL! Не забудьте написать http://!)
Кодировка
Если не знаете, что выбрать, выберите "Просто текст"!
Приложение
Можно приложить к сообщению файл c изображением, который затем будет доступен увидевшим сообщение.
Подготовка иллюстраций:
  • Рентгенограммы: черно-белые полутоновые изображения в формате JPEG (8 bit, greyscale) с разрешением от 300х200 до 1024х768 пикселов;
  • Клинические фотографии: полноцветные изображения в формате JPEG (24 bit, truecolor) с разрешением от 300х200 до 1024х768 пикселов;
  • Схемы и рисунки: черно-белые (2 bit) штриховые (line-art) изображения в формате GIF или compressed TIFF
  • Подберите степень сжатия файла JPEG и размер изображения таким образом, чтобы необходимые детали были различимы, но размер файла не превышал 75 кб.
  • Учтите, что текущая версия программного обеспечения Форума позволяет приложить к одному сообщению лишь один файл-вложение. Поэтому, если необходимо отправить несколько изображений, можно либо послать каждое как отдельное сообщение, либо в графическом редакторе объединить изображения в одно (сделать коллаж).
  • Если при подготовке изображений встречаются трудности, не стесняйтесь обратиться к координатору Форума.

  • Введите видимые символы в обратном порядке. Enter the above characters in reverse order (*Обязательно)
    В тексте сообщения можно использовать теги HTML <B> <I> <P> <A> <LI> <OL> <UL> <EM> <BR> <TT> <HR> <STRONG> <BLOCKQUOTE> <DIV .*> <DIV> <P .*>
  • Обратите внимание: Поля с жирными названиями обязательны.
  • Старайтесь отвечать в рамках обсуждаемой темы, а не начинать новые обсуждения.
  • Указывайте адекватную тему сообщения, чтобы было ясно, о чем оно.
  • Не послайте сообщений не по теме (оффтопик), раздраженных, грубых или обидных комментариев. Здесь это неуместно.
  • Powered by Zope  Squishdot Powered MedLink
    Посетитель: 0010340
      "По форме правильно, а по существу - издевательство" В.И.Ленин
    ©2001-2019Orthoforum Coordinator.
    [ Главная | Отправить сообщение | Поиск | Админ ]