ВХОД ДЛЯ ПАЦИЕНТОВ
вверх
поиск
админ
главная
|
Застарелый переломо-вывих в голеностопном суставе |
 |
 |
 |
Прислано Ерохин Александр 27 Сентябрь 2005, 00:00
из госпиталь ВСРФ (в\ч41561) г.Тирасполь
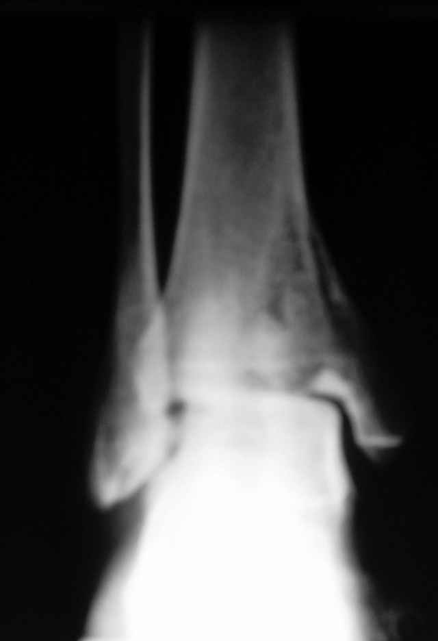
Уважаемые коллеги, помогите определиться с тактическим решением оперативного вмешательства: сегодня госпитализировал молодого человека 23 лет с застарелым переломо-вывихом в голеностопе.
Травма 9-ого сентября - неудачно спрыгнул с дерева. Через час обратился в травмпункт, где были сделаны снимки в прямой проекции, выставлен диагноз: разрыв связок. Больной отправлен для дальнейшего лечения в поликлинику, наложена гипсовая лангета. Врачом поликлиники разрезана гипсовая повязка (диагноз остался тем же). Сегодня обратился ко мне. Сделаны рентгенограммы в 2-х проекциях, установлен диагноз: застарелый оскольчатый перелом переднего края левой большеберцовой кости с подвывихом стопы вперёд.
Операция планируется на 28.09.05 предполагается закрытое аппаратное вправление вывиха, с незначительной перерепозицией, с последующей заменой ригидных стержней роликовыми на пружинном демпфере (через 6-7 недель). Нужно ли идти открыто и пытаться вправить смещённые отломки? Если пытаться то когда (при первичной операции или после вправления вывиха)?
В литературе я что-то не встречал точной тактики при данном повреждении (застарелом). Советуют от первичного артродеза (Уотсон-Джонс) до артропластики. Я имею опыт операций синтеза переднего края с вывихом стопы, но в "свежих" случаях, оперировал открыто и требовался синтез лишь одного крупного осколка.
Буду благодарен всем, кто имеет опыт подобных операций. Когда прооперирую, вышлю снимки, что получилось.
С УВ. Ерохин А.В.
госпиталь ВСРФ (в\ч41561) г.Тирасполь
Обратите внимание: Поля с жирными названиями обязательны.
Старайтесь отвечать в рамках обсуждаемой темы, а не начинать новые обсуждения.
Указывайте адекватную тему сообщения, чтобы было ясно, о чем оно.
Не послайте сообщений не по теме (оффтопик), раздраженных, грубых или обидных комментариев. Здесь это неуместно.
|