ВХОД ДЛЯ ПАЦИЕНТОВ
вверх
поиск
админ
главная
|
Застарелое повреждение таза |
 |
 |
 |
Прислано Максим Агалаков 05 Октябрь 2005, 18:43
из УНИИТО
Коллеги, помогите определиться с тактикой лечения пациента.
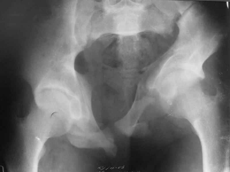
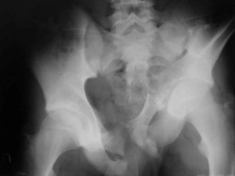
Ув. коллеги, к нам поступил молодой человек 17 лет. Травма в июле 2005- ДТП, т.е. 3 мес назад. Лечился консервативно в "гамаке" 1,5 мес., затем ходьба с костылями без опоры на левую нижнюю конечность, начал на нее опираться 1 нед назад.
В настоящее время имеется укорочение порядка 4-5 см, выраженная хромота, передвигается с одним костылем. Кроме того беспокоят боли в пояснично-крестцовой области при ходьбе, неудобство при сидении, невозможность лежать на спине "на жестком", а также на левом боку (субъект худощавый, боль в области крыла) хромота, длительное пребывание на ногах невозможно.
На функциональных снимках большой подвижности нет (не привожу из-за плохого качества).
Учитывя наличие участков сращений, помогите опредилиться с тактикой.
Наш план пока такой: 1. выполнить остеотомии в участках сращений 2.постепенно аппаратом низвести смещенную половину таза. 3.выполнить внутренний остеосинтез передних и задних отделов.
Будем признательны за ваш взгляд на тактику леченияэтого больного, а так же на такие проблемы как: места остеотомий, возможные варианты компоновки аппарата, выбор имплантатов для последующего вмешательства.
Обратите внимание: Поля с жирными названиями обязательны.
Старайтесь отвечать в рамках обсуждаемой темы, а не начинать новые обсуждения.
Указывайте адекватную тему сообщения, чтобы было ясно, о чем оно.
Не послайте сообщений не по теме (оффтопик), раздраженных, грубых или обидных комментариев. Здесь это неуместно.
|