AOTRAUMA.ORG Центр Илизарова  

Ортопедия и травматология Общие вопросы/General questions Help Информационные технологии в медицине
 вверх
 отправить
 поиск
 админ
 главная
 Предыдущее


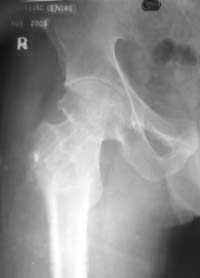
Re: Нелеченный перелом шейки бедра / Neglected fem
V. M. Iyer 16 Октябрь 2005, 00:14
Dynamic hip screw with abduction osteotomy with an additional cancellous screw

















Vishu
Dr V M Iyer
  • Сообщения о Ортопедия и травматология
  • Также V. M. Iyer
  • Связаться с автором
  • Ответить

    Re: Нелеченный перелом шейки бедра / Neglected fem
    Vitaly Kazennov 16 Октябрь 2005, 11:18
    > Dynamic hip screw with abduction osteotomy with an additional cancellous
    > screw

    Put attention at the joint condition, please.
    And what about pain and function?

    Vitaly Kazennov
    Kahabarovsk, Russia
    [ Ответить ]


    ( Ответить )

    Powered by Zope  Squishdot Powered MedLink
    Посетитель: 0407038
      "По форме правильно, а по существу - издевательство" В.И.Ленин
    ©2001-2019Orthoforum Coordinator.
    [ Главная | Отправить сообщение | Поиск | Админ ]