Ответить
|
Re: Несросшийся перелом ключицы
Alexander Chelnokov 10 Ноябрь 2005, 01:06
|
IZ> Крайне удивлен применением АВФ на первом
IZ> этапе(если не было открытого перелома).
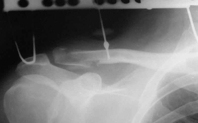
Здесь надо прежние снимки поглядеть, чтобы разобраться, почему так случилось. Обычно при закрытых переломах при фиксации аппаратиком прекрасно все залечивается за 4-6 недель. Презентация, где есть про такие переломы тут. (~4,5Мб)
|
[
Ответить ]
|
Re: Несросшийся перелом ключицы
А.П.Ким 10 Ноябрь 2005, 11:06
|
При данных повреждениях возможно применение как АВФ, так и открытые способы лечения. Выбор в основном определяется давностью травмы, требованиями больного и отношением хирурга к тому-или иному способу лечения. В данном случае, учитывая смещение фрагмента с прикреплением кл-кл связки каудально, необходимо было "утопить" проксимальный отломок, что и сделано АВФ.

|
[
Ответить ]
|
( Ответить )
|
|