Ответить
|
Re: bone defect
Castro 03 Декабрь 2005, 19:49
|
Hi Dr. Firas Berro
This Patient have to be treated by using Ilizarov bifocal bone transport, aproximatly as showen here.

Your Dr. Castro
|
[
Ответить ]
|
Re: bone defect
Отправитель: Firas Berro 04 Декабрь 2005, 11:57
|
Thanks for your response
One more question:
If im going to do ilizarov trans osseous osteo synthesis with distraction
at two metaphyseal corticotomies, some suggest to take only half of each
metaphysis\to make faster bone bridge?\
Should here do this or just do it by classic way\the whole bone\
Thx in advance
Regards
Dr.Firas Berro
|
[
Ответить ]
|
Re: bone defect
Отправитель: Alexander Chelnokov 04 Декабрь 2005, 13:04
|
DFB> If im going to do ilizarov trans osseous osteo synthesis with distraction
DFB> at two metaphyseal corticotomies, some suggest to take only half of each
DFB> metaphysis\to make faster bone bridge?\
I am not sure what exactly do you mean about "to take only half of each metaphysis". It is reasonable to perform transport from both ends.
Levels and direction of osteo/corticotomy lines can be discussed - but more detailed images are necessary (loks like initial ones were taken with a mobile phone).
In general all techniques you listed in the initial message like fibula latero-medial transport, fibula splitting also can do the job and i don't have evidence which approach is more quick/effective/comlicated.
DFB> Should here do this or just do it by classic way\the whole bone\
I would insert a solid titanium locked nail immedialtely after docking. So i would plan previous steps to be done that way not to make additional difficulties for nail insertion, particularly to provide medullary canal in transported fragments. So my choice would be to forget the fibula and do metaphyseal perQ osteotomy of the tibia, transverse or close to, and bone transport. Frame assembly can be discussed if necessary.
|
[
Ответить ]
|
|
Re: bone defect
Prashant Pervatikar 04 Декабрь 2005, 01:10
|
Hi Firas,
I would treat this patient with ilizarov trans osseous osteo synthesis with
distraction at two metaphyseal corticotomies.the reasons being
1.the patient can start to weight bear fully straightaway!
2.the transport can be completed in 90 days or even less.
3.any equinus can be corrected simultaneously
4.hospital stay can be minimised
5.no need to protect the limb until tibialisation.
thanks fur sharing this case,all the best.kindly let us know how you proceed.
DR PRASHANT PERVATIKAR
ASST PROF D. O. ORTHOPAEDICS
SDMCMSH
DHARWAD,INDIA.
|
[
Ответить ]
|
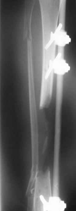
Re: bone defect
Castro 04 Декабрь 2005, 16:02
|
Dear Dr. Firas
You can do it like this also...

|
[
Ответить ]
|
Re: bone defect
Leonid N. Solomin 05 Декабрь 2005, 00:29
|
Dear Dr.Firas Berro
In this situations I would prefered the gradual moving the fragment of fibula in tibia defect.
Best regards,
Leonid N.Solomin, MD, PhD
Head of ExFix Department
R.R.Vreden Russian Research Institute of Traumatology and Orthopedics
8 Baykova Str., St.Petersburg, 195427, Russia
Phones: +7(812)556-3971, 550-9579
|
[
Ответить ]
|
Re: bone defect
Nuno Craveiro Lopes 05 Декабрь 2005, 00:49
|
Firas,
It is difficult to see on the xr you sent, but it seems that proximal and distal metaphysis are also involved and the bone there is not of good quality too do a bifocal convergent transport.
Alternative will be to do a medial transport of half or of the all fibula after ressection of all bad quality bone as on the attached scketch.
Best regards

|
[
Ответить ]
|
Re: bone defect
Prashant Pervatikar 05 Декабрь 2005, 01:16
|
Hello Firas,
I understand what you have tried to explain (in so few words!!)
Theoretically ,distracting one quarter of the metaphysis (thru a reversed L shaped corticotomy) rather than one half(classical) will decrease the amt of transport required ,but the osteogenic potential of this smaller bone would be doubtful. I would proceed with the tried and tested classical corticotomy.
DR PRASHANT PERVATIKAR
D. O .ORTHOPAEDICS
SDMCMSH
DHARWAD,INDIA.
|
[
Ответить ]
|
( Ответить )
|