AOTRAUMA.ORG Центр Илизарова  

Ортопедия и травматология Общие вопросы/General questions Help Информационные технологии в медицине
 вверх
 отправить
 поиск
 админ
 главная


травма локтевого сустава - ургентно!
Ортопедия и травматология Отправлено Anton Vladzimirsky 14 Декабрь 2005, 15:56
Уважаемые коллеги! Мужчина, 30 лет. В состоянии алкогольного опьянения заснул на рельсах и, по собственным словами, <слегка зацепился за трамвай>.
Обширная почти циркулярная (3/4 рана), в которую выстоят осколки костей с фрагментами суставной поверхности. Обширные ушибы и размозжения мягких тканей вокруг раны. Пульсация на лучевой артерии удовлетворительная, на локтевой слегка ослабленная. Снижение чувствительности в пальцах.Предложения по тактике лечения? Заранее благодарю!!! С уважением,А.В.ВладзимирскийДонецкий НИИ травматологии и ортопедииДонецк, Украина

<  |  >

 

  • Сообщения о Ортопедия и травматология
  • Также Anton Vladzimirsky
  • Связаться с автором
  • Ответить

    Re: травма локтевого сустава - ургентно!
    Alexander Chelnokov 14 Декабрь 2005, 16:06
    Обработка раны и spanning аппарат. То есть по секции на плече и предплечье, сгибание в локте 90 градусов. Потом повторные обработки. По заживлении ран - переоценить ситуацию "с чистого листа".
    [ Ответить ]

    Re: травма локтевого сустава - ургентно!
    Leonid Solomin 14 Декабрь 2005, 20:05
    Уважаемый А.В.Владзимирский!
    В целом согласен с мнением А.Н.Челнокова.
    Но в аналогичной ситуации мы бы во время выполнения ПХО выполнили максимально возможную репозицию костных фрагментов.

    Удачи!
    Л.Соломин

    195427, С.-Петербург,
    ул. акад. Байкова, 8,
    ФГУ <РНИИТО им. Р.Р.Вредена Росздрава>
    Соломин Леонид Николаевич, д.м.н.
    [ Ответить ]

    • Re: травма локтевого сустава - ургентно!
      Отправитель: Maxim Agalakov 14 Декабрь 2005, 20:07
      А с какой целью МАКСИМАЛЬНО стараться восстановить сустаную поврехность? Представляется, что скорее логичнее думать о максимально возможном сохранении костной массы, для повторных операций. АВФ в компоновке "для максимальной репозиции", вероятно, будет достаточно громоздким и может осложнить лечение мягкотканных повреждений.

      [ Ответить ]
    Re: травма локтевого сустава - ургентно!
    Ангельский Александр 15 Декабрь 2005, 09:06
    Думаю, в этой ситуации действительно лучшим выбором будет аппарат внешней фиксации, но при ПХО его повсей видимости придется дополнять фиксацией отдельными спицами. Репозиция позволит по всей видимости сохранить основной массив локтевого отростка и блока плечевой кости. Я бы дополнил обработку катетеризацией плечевой артерии для регионарной химиотерапии. В послеоперационном периоде возможно вторичное заживление ран. Абсолютно согласен с тем что после заживления ран необходимо будет повторно преоценить ортопедическую ситуацию исходя из оставшихся приживших фрагментов кости и повторно разрабатывать тактику восстановительного лечения.

    [ Ответить ]

    Re: травма локтевого сустава - ургентно!
    Anton Vladzymyrskyy 16 Декабрь 2005, 07:58
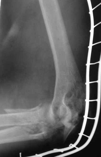
    Операция - ПХО, ЧКО АВФ (см.приложение).









    Репонировать фрагменты локтевой и плечевой кости не представилось возможным (по сути <каша> из мелких осколков сомнительной жизнеспособности), резекция головки лучевой кости, иссекли мягкие ткани, кожа зашита почти без натяжения, дренажи, АВФ.
    Мнения? Рекомендации? Сформировать ложный сустав?


    С уважением,
    А.В.Владзимирский

    [ Ответить ]

    Re: травма локтевого сустава - ургентно!
    Игорь Кучерявый 16 Декабрь 2005, 08:00
    Иногда на Rg-граммах - "суповой набор", а объем движений очень приличный...
    Лечение, видимо - оперативное пособие по необходимости и раняя разработка сустава.

    Кучерявый И.В.
    [ Ответить ]


    ( Ответить )

    Powered by Zope  Squishdot Powered MedLink
    Посетитель: 0148141
      "По форме правильно, а по существу - издевательство" В.И.Ленин
    ©2001-2019Orthoforum Coordinator.
    [ Главная | Отправить сообщение | Поиск | Админ ]