ВХОД ДЛЯ ПАЦИЕНТОВ
вверх
поиск
админ
главная
|
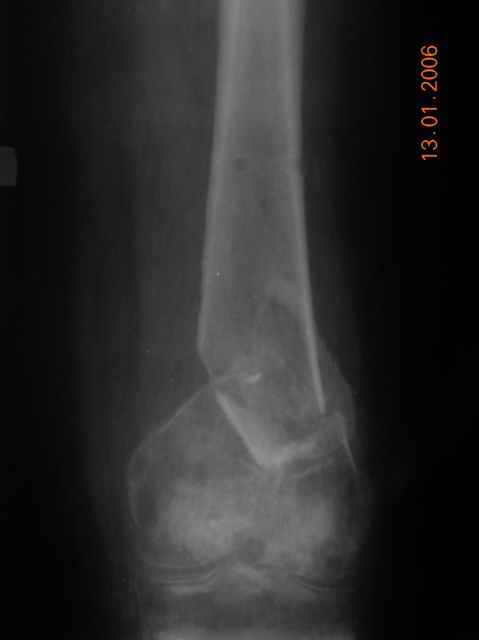
Несросшийся перелом дистального эпиметафиза бедра |
 |
 |
 |
Прислано Коваленко А.Н. 14 Январь 2006, 10:54
из
Уважаемые коллеги! Просим совета. Больная 50л лечилась АВФ по поводу оскольчатого перелома дистального эипметафиза левого бедра, по снятии приступила к разработке коленного сустава.
Через 6 месяцев в области перелома отмечается патологическая подвижность н/3 бедра. Задачи:1)добиться сращения;2)мобилизовать коленный сустав. При остеосинтезе планируется удлинить сухожилие четырехглавой мышцы. Можно ли решить поставленные задачи ретроградным ЗИО Chm? Сторонники пластины DCS считают, что при таком остеопорозе стабильности с ЗИО не будет,что не позволить приступить к ранней мобилизации, + необходима костная пластика, т.к. рассверливание метафиза должного эффекта не принесет.
Обратите внимание: Поля с жирными названиями обязательны.
Старайтесь отвечать в рамках обсуждаемой темы, а не начинать новые обсуждения.
Указывайте адекватную тему сообщения, чтобы было ясно, о чем оно.
Не послайте сообщений не по теме (оффтопик), раздраженных, грубых или обидных комментариев. Здесь это неуместно.
|