Ответить
|
Re: Severely comminuted Trochenteric #
Alexander Chelnokov 23 Январь 2006, 02:23
|
I would prefer Gamma because of its features preventing migration of the neck screw.
|
[
Ответить ]
|
Re: Severely comminuted Trochenteric #
Отправитель: Amal Basak 28 Январь 2006, 23:57
|
Thank you very much sir,
Can you give some tips for reduction of the comminuted subtrochenteric part.
Amal
|
[
Ответить ]
|
Re: Severely comminuted Trochenteric #
Отправитель: Alexander Chelnokov 29 Январь 2006, 00:05
|
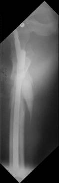
I would use a small wire distractor mentioned in the list some times. Proximal wire is in the iliac crest in AP direction. The leg is adducted. I attached some images. At the AP view under image intensifier you can see adduction but even slight valgus reduction.
|
[
Ответить ]
|
XRumer 4.0 Platinum Edition
Отправитель: impudiops 22 Февраль 2008, 01:14
|
Продаётся XRumer 4.0 Platinum Edition(+ базы 2 100 000 ру форумов,блогов,гостевых и много заграничных!!!),Allsubmitter4.7(+9547 каталогов для автоматической регистрации), ICQ спамер, Mail Agent Spamer,Skype спамер(отправляет на все онлайн контакты сообщение,так же можно и не на онлайн а просто по параметрам определённым), Спамер по личкам под форумы(отправляется личное сообщение каждому пользователю форума очень хороший отклик!), спамер по почтовым ящикам(e-mail spamer)+скрипт авто сборки и проверки майлов.+Подарок!Флудер телефонных номеров звонками!
XRumer 4.0 Platinum Edition - программа, в автоматическом режиме размещающая Ваши обьявления на форумах, гостевых книгах, досках обьявлений и каталогах ссылок (а также блогах и wiki). Одним словом - автосабмиттер. На данный момент доступна версия 4.0 Platinum Edition
--------------------------------------------------------------------------------
Вот основные технические характеристики и возможности программы:
Возможность работы в многопоточном режиме: до 100 потоков и более (для скорости соединения 128Кб оптимально 20 потоков)
Программа способна при необходимости регистрироваться на форуме (если это нужно для создания нового сообщения) и заполнять при этом все нужные поля. После регистрации программа автоматически производит логин на сайт и размещает Ваш текст и/или ссылку
Встроена мощная система поиска и проверки прокси-серверов. Это обеспечивает Вашу анонимность и исключает бан на форумах по IP. Возможно использование как HTTP- так и SOCKS-прокси.
Программа умеет работать с огромным количеством различных типов форумов и гостевых: phpBB и PHP-Nuke любых модификаций, yaBB, VBulletin, Invision Power Board, IconBoard, UltimateBB, exBB, phorum.org, wiki, livejournal.com, AkoBook, разнообразными видами досок обьявлений а также "самописными" движками
ВНИМАНИЕ: эксклюзивная возможность - программа обходит ЛЮБЫЕ виды защиты от автоматической регистрации и автосабмита! Такие, как:
- Защита при помощи пиктокода (тикетов) типа "Введите число, которое видите".
- Защита при помощи активации по e-mail.
- Защита при помощи некоторых Java-скриптов.
В процессе рассылки автоматически создаётся подробный отчёт с точными ссылками на размещенные обьявления и можно проверить на наличие каждую ссылку.
Встроена система "Вопрос-ответ"
Есть система вариаций, с помощью которой можно сделать так, чтобы из 10000 размещенных обьявлений не было ни одного похожего, но смысл оставался одним и тем же. Это помогает сделать значительный разброс по ключевым запросам (для поисковой оптимизации) и исключить фильтрацию поисковиками одинаковых вариантов
Если на форуме несколько разделов, программа выбирает наиболее подходящий по теме, а если такого нет - то в оффтопик, флейм и т.п, если и таковых нет то в наиболее посещаемый раздел.
Есть возможность использования и редактирования BB-кода
Включены инструменты для обработки баз форумов: удаление повторных ссылок, сортировка по убыванию посещаемости, удаление по блэк-листу, различные фильтры
Программа сама сообщает о появлении новых версий
Есть возможность использования подключаемых модулей (плагинов). На данный момент в комплект входят плагины AutoMAMBA, AutoLovePlanet и Wordtracker Parser + Bids Checker
Встроена система расписаний, система самообучения, пост-редактирования, Масс-ПМ, и многое, многое другое
Система полностью автономна и требует минимальных навыков: достаточно просто выбрать нужную базу ссылок (анголоязычную или русскоязычную), набрать текст объявления со ссылкой или ссылками и ВСЁ.
В состав программного комплекса входит Hrefer и базы ссылок на форумы, гостевые и блоги
Не является ли ваш софт спамерским? Не люблю спам!
Нет, данный софт спамерским не является, т.к. программа размещает сообщения прежде всего только в те разделы, где разрешена разного рода реклама: "Флуд", "Оффтопик", "Флейм", "Реклама" и т.п. Спамом считается рассылка незапрошенной корреспонденции по ПОЧТЕ. И в Законодательстве РФ и других стран запрещена исключительно почтовая рассылка сообщений.
Чем же эффективнее размещение ссылок на форумах, чем рассылка по почте?!
Посудите сами. Получаемый спам по почте уже давно всем надоел, с ним борются всеми возможными методами и эти методы прекрасно отлажены. Если даже 1 из 1000 разосланных писем прочитают - уже повезло!
С форумами и гостевыми книгами дело обстоит иначе. Разместив одно обьявление, уже есть гарантия что его прочтут как минимум 1 раз - это администратор сайта. Но если составить обьявление грамотно и корректно поместить рекламируемую ссылку, то скорее всего разовьется обсуждение созданного вами топика, обьявление за сутки прочтут и нажмут на ссылку сотни пользователей!
Эффективность очевидна.
Цена 59$(с базой на 2 100 000 линков на форумы,гесты,блоки)! Стучать за покупкой в ICQ 274693
|
[
Ответить ]
|
|
Re: Severely comminuted Trochenteric #
katsevman h. 26 Январь 2006, 21:17
|
if you have PFN - the best treatment , if dont have or not enagh expierence, you may use DHS but 90 degree plate. see Rockwood . goodluck.
|
[
Ответить ]
|
Re: Severely comminuted Trochenteric #
George Thomas 28 Январь 2006, 23:55
|
I think the essential problem in this case is that there is a coronal plane fracture in the proximal segment. The proximal segment is also very short.
This means that if one uses a DCS you will not be able to get firm fixation with two additional screws in the proximal fragment. Whether one uses the DCS or a proximal femoral nail, the entry site for the lag screw is fractured so the lateral side hold of the screw is poor. I would still use the DCS. Reason: familiarity with the device! But certainly the nail would be equally good (or bad!)
|
[
Ответить ]
|
Re: Severely comminuted Trochenteric #
Отправитель: Alexander Chelnokov 29 Январь 2006, 00:18
|
GT> Whether one uses the DCS or a proximal femoral nail, the entry site for the
GT> lag screw is fractured so the lateral side hold of the screw is poor.
For Gamma it means nothing.
GT> I would still use the DCS.
It is much more demanding surgery than closed nailing through 1-2 cm incisions.
GT> Reason: familiarity with the device! But certainly the nail would
GT> be equally good (or bad!)
Nail would be definitely better - small wound, safe immediate weight-bearing...
|
[
Ответить ]
|
Re: Severely comminuted Trochenteric #
Отправитель: George Thomas 29 Январь 2006, 00:23
|
Where is the proof that the nail permits earlier weight bearing. About the small incision, I agree.
|
[
Ответить ]
|
Re: Severely comminuted Trochenteric #
Отправитель: Alexander Chelnokov 29 Январь 2006, 00:24
|
Gamma, PFN and relative nails were developed for that, i.e. immediate weight-bearing in fractures of proximal femur in elderly with osteoporosis.
|
[
Ответить ]
|
Re: Severely comminuted Trochenteric #
Отправитель: George Thomas 29 Январь 2006, 00:30
|
That is what the manufacturers say, but is it the fact? No offence intended, but are there any studies to show that this is really true?
|
[
Ответить ]
|
Re: Severely comminuted Trochenteric #
Отправитель: Alexander Chelnokov 29 Январь 2006, 00:35
|
GT> That is what the manufacturers say, but is it the fact? No offence
GT> intended, but are there any studies to show that this is really true?
Our current practice daily confirms that. Though of course many studies do. Some citations:
=========================
Pelet S, Arlettaz Y, Chevalley F. Osteosynthesis of per- and subtrochanteric fractures by blade plate versus gamma nail. A randomized prospective study. Swiss Surg. 2001;7(3):126-33
[...]
CONCLUSION: We prefer Gamma nail in per- and subtrochanteric femoral fractures management, it allows early and fast weight-bearing and fracture healing is acquired in all cases.
=========================
=========================
Sehat K, Baker RP, Pattison G, Price R, Harries WJ, Chesser TJ. The use of the long gamma nail in proximal femoral fractures. Injury. 2005
Nov;36(11):1350-4.
[...] The long gamma nail allowed early weight bearing...
=========================
=========================
Moholkar K, Mohan R, Grigoris P. The Long Gamma Nail for stabilisation of existing and impending pathological fractures of the femur: an analysis of 48 cases. Acta Orthop Belg. 2004 Oct;70(5):429-34.
[...]
The Long Gamma nail offers the advantage of a technically less demanding percutaneous insertion through the tip of the greater trochanter, secure proximal femoral fixation and the ability to allow immediate or early weight-bearing ambulation...
=========================
|
[
Ответить ]
|
|
Re: Severely comminuted Trochenteric #
Amal Basak 29 Январь 2006, 00:49
|
Dear Members,
Few days ago I have posted an x-ray of severely comminuted Trochenteric # of Lt. Femur with sub-trochenteric extension of a male patient aged 65 years for opinion of fixation. Eight of you have kindly replied........
Dr. Alexander Chelnolov of Russia was in favor of Gamma Nailing.
Dr. George Thomas of Chennai............................ DCS.
Dr. Sanjeev M. Bhandari of Solapur........................Biological plating with 95* DHS.
Dr. Indrajit Sardar of Kolkata.................................DCS
Dr. Thakkar Navin of Ahmedabad..........................Smaller diameter nail + 2 hip pin or
screws + buttress plate
Dr. Ved Middha of Gwalior...................................DCS
Dr. Kanabar of Ahemedabad................................Ender Nailing
Dr. Pradip Kothadia.............................................Biological plates with DCS
I choose Long Gamma Nailing and did it on 24.1.2006.
Now posting the post op x-rays for all of yours comments please. Don't hesitate to criticize me.

Thanking you,
DR. AMAL BASAK
CONSULTANT ORTHOPAEDIC SURGEON
PARAMOUNT HOSPITAL PVT. LTD., MANGAL PANDEY ROAD., SILIGURI - 734405 : WEST BENGAL : INDIA
|
[
Ответить ]
|
Re: Severely comminuted Trochenteric #
Отправитель: Alexander Chelnokov 29 Январь 2006, 01:18
|
DAB> ............Biological plates with DCS
So 2 people voted for nailing, 5 for plating, and one either. Among all of them only one voice for Gamma/PFN. Why did you decide in favor of the technique?
DAB> I choose Long Gamma Nailing and did it on 24.1.2006.
DAB> Now posting the post op x-rays for all of yours comments
Congratulations. Virtually perfect. What reduction technique did you use? Looks like still traction table? To cavil to at least something looks like reduction is in microscopic varus - comparative x-rays can clear this - though only for academic interest with no clinical significance. Did you insert distal screws?
To obtain clear lateral view - with x-ray tube set to AP view perform hip and knee flexion 90/90 and some abduction, with no rotation.
|
[
Ответить ]
|
|
( Ответить )
|
|