вверх
отправить
поиск
админ
главная
|
первичная костная лимфома |
 |
 |
 |
Отправлено Виталий Тазалов 23 Январь 2006, 01:55
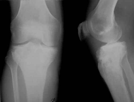
Всем привет!Кому интересно - может лицезреть мое личное наблюдение первичной костной лимфомы с поражением правой большеберцовой кости (см. аттач). Пациент: мужчина, 46 лет. Анамнез прослеживается в течение 1,5 лет - начало заболевания с появления болей.С уважением, Виталий Тазалов.
<
|
>
|
|
Ответить
|
Re: первичная костная лимфома
Василий Евгеньевич Мамонов 24 Январь 2006, 01:57
|

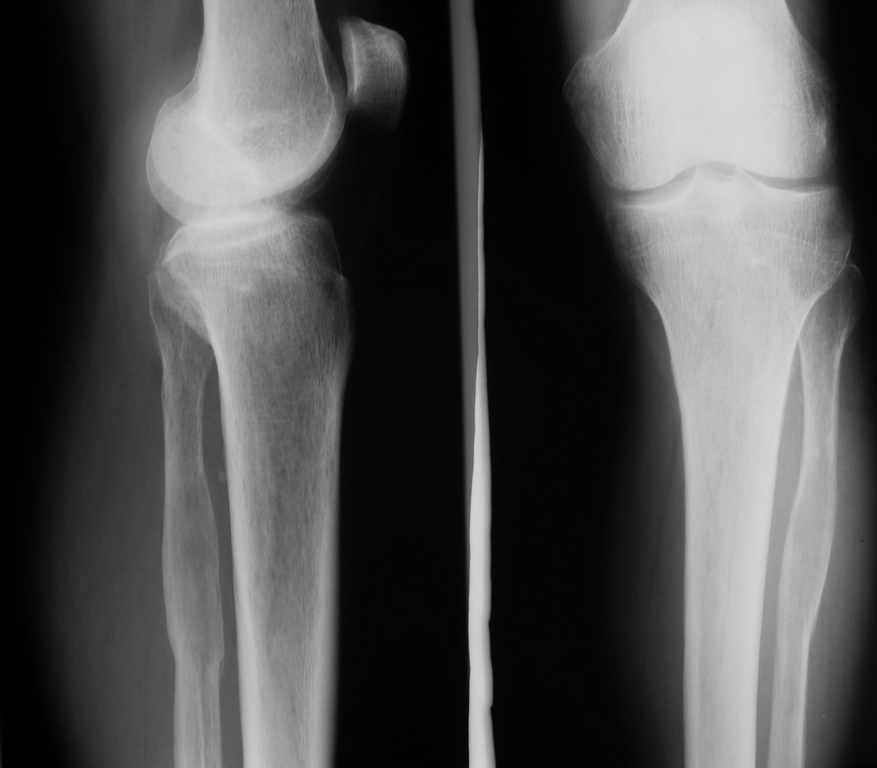
Ещё одно клиническое наблюдение - лимфома кости, до и после ПХТ и лучевой терапии.
Мамонов Василий Евгеньевич, ГНЦ РАМН
|
[
Ответить ]
|
Re: первичная костная лимфома
Юрий Алексеевич Булахтин 24 Январь 2006, 08:32
|
Уважаемый коллега!
Извините, но впечатление какое-то агрессивное! Вот Вам моя лимфома!
И продолжение - Вам под стать: а вот моя!
На мой взгляд, странная экспрессия. Вы хотели совета по лечению?
поделиться интерессным наблюдением? Впечатление - пренебрежительное, а, собственно, почему? Ведь это ФОРУМ!
Юрий Алексеевич Булахтин,
главный травматолог Камчатского Военно-морского госпиталя
|
[
Ответить ]
|
Re: первичная костная лимфома
Отправитель: Грицюк Андрей Анатольевич 24 Январь 2006, 23:26
|
Уважаемый Юрий Алексеевич! Вам привет от Грицюка Андрея Анатольевича (32 ЦВМКГ)
|
[
Ответить ]
|
Re: первичная костная лимфома
Отправитель: Василий Евгеньевич Мамонов 25 Январь 2006, 02:57
|
Уважаемый Юрий Алексеевич!
Примите мои извенения, если я Вас чем-либо обидел. Никакого пренебрежения, просто хотел поделиться наблюдением, а главное, результатом консервативного (ПХТ и лучевая терапия) лечения.
Кстати, был бы очень Вам признателен, если бы Вы выслали микрофотограммы гистологических препаратов. Поражение костей лимфатическими опухолями - достаточно редкое явление и мы собираем самые различные клинические случаи.
Если вашим гематологам нужны консультации наших специалистов, то сочёл бы за честь оказать такую помощь.
Мамонов Василий Евгеньевич,
Гематологический Научный Центр РАМН, руководитель отделения ортопедии
|
[
Ответить ]
|
|
Re: первичная костная лимфома
Igor Kouzmine 26 Январь 2006, 22:17
|
Уважаемые киберколлеги!
>Кстати в ПАБМЕДЕ всего 156 ссылок на Primary bone lymphoma (PBL), из которых
>77 имеют прямоеотношение к приведенному случаю.
Лимфома кости - это ретикулосаркома. Отечественная литература - богатая.
Первыми злокачественную лимфому кости впервые выделили из нозологической формы «опухоль Юинга» F. Parker и H. Jackson в 1939 г. Она отличается значительно более благоприятным прогнозом.
Термин «ретикулосаркома» вышел из употребления. В большинстве подобных очагов поражения обнаруживаютсясмесь разных клеток, а не только «ретикулоцитов». Таким образом лимфомы включают все лимфопролиферативные нелейкозные поражения костей.
Клинически выделяют три группы таких новообразований. Первичные локализованные поражения кости без признаков отдаленных очагов поражения вне кости. Для уточнения стадии необходимо рентгенологическое исследование всего скелета, тотальная сцинтиграфия, исследование костного мозга и КТ грудной и брюшной полостей.
Хирургическое лечение не показано. Эффективна лучевая терапия. При распространенных формах -
химиотерапия.
Прогноз при лимфоме кости более благоприятный, чем других злокачественных поражениях костей. 5 лет живут 50% больных. При локализованных формах - 58%, пр диссеминированных – 22%. По данным некоторых авторов при гистологическом выявлении крупных расщепленных клеток опухоли – наиболее благоприятный прогноз. Некоторые выделяют иммуногистохимические формы с хорошим и плохим прогнозом. По результатам клиник Мэйо таких различий не выявили.
--
И.Кузьмин
Деревня Степановское
|
[
Ответить ]
|
Re: первичная костная лимфома
Отправитель: Виталий Тазалов 29 Январь 2006, 12:32
|
Здравствуйте, Игорь Викторович!
> Лимфома кости - это ретикулосаркома. Отечественная литература - богатая.
> Первыми злокачественную лимфому кости впервые выделили из
> нозологической формы «опухоль Юинга» F. Parker и H. Jackson в 1939 г.
Вот видите - все началось не с отечественной литературы.
> Она отличается значительно более благоприятным прогнозом.
Да как сказать, как сказать. Мне кажется Юинга может и поконкурировать. 80% первичных костных лимфом относятся к диффузной В-клеточной крупноклеточной лимфоме, а она, как известно, - лимфома высокой степени злокачественности.
Саркома Юинга - опухоль из группы PNET (примитивные нейроэктодермальные опухоли).
> Хирургическое лечение не показано. Эффективна лучевая терапия. При
> распространенных формах - химиотерапия.
Если не будет эффекта от ПХТ или ЛТ, то оперировать все-равно не надо?
> Прогноз при лимфоме кости более благоприятный, чем других злокачественных
поражениях костей. > 5 лет живут 50% больных. При локализованных
поражениях костей. > формах - 58%, пр диссеминированных – 22%. По
> данным некоторых авторов при гистологическом выявлении крупных
> расщепленных клеток опухоли – наиболее благоприятный прогноз.
> Некоторые выделяют иммуногистохимические формы с > хорошим и плохим
> прогнозом. По результатам клиник Мэйо таких различий не выявили.
Гммм. Современные данные говорят, что в большей степени прогноз при данной нозологии зависит от ответа на первичное лечение (достижение полной
ремиссии).
С уважением, Виталий Тазалов.
|
[
Ответить ]
|
|
Cheapest drugs online
StalonneX77 19 Сентябрь 2006, 02:36
|
Hello friends!
Welcome to our online pharmacy shop .
Please check our prices.
|
[
Ответить ]
|
элитные обои на рабочий стол
OboiNastol 16 Март 2007, 15:02
|
Красивые обои на рабочий стол.
элитные обои на рабочий стол
|
[
Ответить ]
|
Успешные знакомства. Советы.
ggwwqqsa 05 Апрель 2007, 15:22
|
Интересный сайт знакомств, оригинальный дизайн и красиво оформленные фотографии желающих познакомиться,
есть много сервисов способствующих успешному знакомству,
шанс встретить свою половину велик, т.к. анкет пользователей уже 50000 тыс.
Но все равно советую зарегистрироваться и попробовать!
|
[
Ответить ]
|
( Ответить )
|
|